• 文献检索
  • 文档翻译
  • 深度研究
  • 学术资讯
  • Suppr Zotero 插件Zotero 插件
  • 邀请有礼
  • 套餐&价格
  • 历史记录
应用&插件
Suppr Zotero 插件Zotero 插件浏览器插件Mac 客户端Windows 客户端微信小程序
定价
高级版会员购买积分包购买API积分包
服务
文献检索文档翻译深度研究API 文档MCP 服务
关于我们
关于 Suppr公司介绍联系我们用户协议隐私条款
关注我们

Suppr 超能文献

核心技术专利:CN118964589B侵权必究
粤ICP备2023148730 号-1Suppr @ 2026

文献检索

告别复杂PubMed语法,用中文像聊天一样搜索,搜遍4000万医学文献。AI智能推荐,让科研检索更轻松。

立即免费搜索

文件翻译

保留排版,准确专业,支持PDF/Word/PPT等文件格式,支持 12+语言互译。

免费翻译文档

深度研究

AI帮你快速写综述,25分钟生成高质量综述,智能提取关键信息,辅助科研写作。

立即免费体验

成骨不全症的外科治疗——10年经验

Surgical treatment in Osteogenesis Imperfecta - 10 years experience.

作者信息

Georgescu I, Vlad C, Gavriliu T Ş, Dan S, Pârvan A A

机构信息

Maria Sklodowska Curie Clinical Emergency Hospital for Children, Bucharest, Romania.

出版信息

J Med Life. 2013 Jun 15;6(2):205-13. Epub 2013 Jun 25.

PMID:23904885
原文链接:https://pmc.ncbi.nlm.nih.gov/articles/PMC3725451/
Abstract

INTRODUCTION

Osteogenesis imperfecta (OI) is a very rare disease compared to other afflictions, running the risk of social isolation for children and their parents, due to the problems specific to the disease. All the social, psychological and physical disadvantages must be removed or at least mitigated, all within the society's limited resources. In Romania, this situation has led in the last couple of years to the selection of a number of extremely severe cases, which could not be solved by orthopedic and classic surgical treatment methods. These patients exhibit gracile long bones, which are distorted, often with cystic degeneration at the level of the extremities, pseudarthroses, limb length discrepancies, most of them being unable to walk, being condemned to sitting in a wheelchair.

AIM

This paper deals with the experience of the Orthopedics Department of "Maria Sklodowska Curie" Clinical Emergency Hospital for Children, in Bucharest, in the field of surgical treatment for moderate and severe forms of OI, within the time frame of May 2002-May 2012. For the first time in Romania, on May 20, 2002, the team led by Professor Gh. Burnei, MD, has implanted telescopic rods in the femur and tibia of a patient with OI. One of the most important themes, of great interest in the orthopedic surgery, is the osteoarticular regularization and reconstruction in severe forms of OI, which should allow the patients to stand and walk. These cases are a challenge for the surgeon, who is in the position of applying new, complex procedures, or perfecting, modifying and adapting techniques that have already been established. The aim of the surgical treatment is the increase of the quality of life of these children and adolescents and of their social integration.

METHODS AND RESULTS

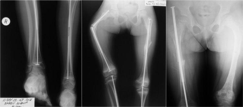
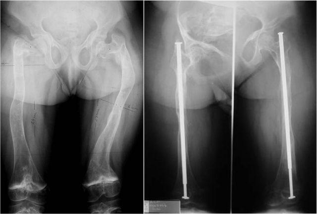
In the above-mentioned period, from the OI patients who are in the evidence of our clinic, 32 were operated on, totaling 81 surgeries. Out of these, 28 patients, aged 2-27 years, have benefited from reconstructive surgery of the pelvic limbs. Sofield-Millar osteotomies were practiced and 69 Sheffield telescopic rods were implanted in 25 patients and 43 surgeries. The coxa vara / valga correction using the Sheffield rod was applied in 6 patients and 8 hips, respectively. Circular or monoplane external fixators were used in 7 patients for the correction of deformities, lengthening and arthrodiastasis. 9 patients have benefited from various forms of bone transplant: pedicled grafts, auto- and/or allografts. An original bone reconstruction procedure is currently being studied and will be useful in the treatment of large bone defects and the thickening of the gracile diaphyses, which consists in practice of a massive contribution of free bone grafts, auto- and/or allogenic, bone substitutes and, in selected cases, periosteal substitutes, in a composite stratified construction. Postoperatively, 15 patients are able to walk while being supported by crutches or walking frames, 5 patients walk independently and 8 are still wheelchair-bound. It is important to mention that 8 children who were preoperatively dependant on the wheelchair are now walking!

DISCUSSION

The surgical treatment in severe forms of OI must be adapted to each case. No matter the surgical technique used, well known or innovative, it is convenient if it restores the ability to walk of a youngster who has been forced to use a wheelchair for almost 20 years and who has suffered dozens of unsuccessful surgeries. The current paper mainly describes the difficulties the surgeon has to deal with while treating the severe, neglected cases of OI, sometimes incorrectly cared for and labeled as inoperable.

https://cdn.ncbi.nlm.nih.gov/pmc/blobs/d434/3725451/2ee8c35a909a/JMedLife-06-205-g009.jpg
https://cdn.ncbi.nlm.nih.gov/pmc/blobs/d434/3725451/86dad15ee16c/JMedLife-06-205-g001.jpg
https://cdn.ncbi.nlm.nih.gov/pmc/blobs/d434/3725451/45a519985624/JMedLife-06-205-g002.jpg
https://cdn.ncbi.nlm.nih.gov/pmc/blobs/d434/3725451/fb1c637e3f7b/JMedLife-06-205-g003.jpg
https://cdn.ncbi.nlm.nih.gov/pmc/blobs/d434/3725451/56f138043ee1/JMedLife-06-205-g004.jpg
https://cdn.ncbi.nlm.nih.gov/pmc/blobs/d434/3725451/23e9fba8db68/JMedLife-06-205-g005.jpg
https://cdn.ncbi.nlm.nih.gov/pmc/blobs/d434/3725451/23e9fba8db68/JMedLife-06-205-g005.jpg
https://cdn.ncbi.nlm.nih.gov/pmc/blobs/d434/3725451/23e9fba8db68/JMedLife-06-205-g005.jpg
https://cdn.ncbi.nlm.nih.gov/pmc/blobs/d434/3725451/71dddbcbf053/JMedLife-06-205-g008.jpg
https://cdn.ncbi.nlm.nih.gov/pmc/blobs/d434/3725451/2ee8c35a909a/JMedLife-06-205-g009.jpg
https://cdn.ncbi.nlm.nih.gov/pmc/blobs/d434/3725451/86dad15ee16c/JMedLife-06-205-g001.jpg
https://cdn.ncbi.nlm.nih.gov/pmc/blobs/d434/3725451/45a519985624/JMedLife-06-205-g002.jpg
https://cdn.ncbi.nlm.nih.gov/pmc/blobs/d434/3725451/fb1c637e3f7b/JMedLife-06-205-g003.jpg
https://cdn.ncbi.nlm.nih.gov/pmc/blobs/d434/3725451/56f138043ee1/JMedLife-06-205-g004.jpg
https://cdn.ncbi.nlm.nih.gov/pmc/blobs/d434/3725451/23e9fba8db68/JMedLife-06-205-g005.jpg
https://cdn.ncbi.nlm.nih.gov/pmc/blobs/d434/3725451/23e9fba8db68/JMedLife-06-205-g005.jpg
https://cdn.ncbi.nlm.nih.gov/pmc/blobs/d434/3725451/23e9fba8db68/JMedLife-06-205-g005.jpg
https://cdn.ncbi.nlm.nih.gov/pmc/blobs/d434/3725451/71dddbcbf053/JMedLife-06-205-g008.jpg
https://cdn.ncbi.nlm.nih.gov/pmc/blobs/d434/3725451/2ee8c35a909a/JMedLife-06-205-g009.jpg
摘要

引言

与其他疾病相比,成骨不全症(OI)是一种非常罕见的疾病,由于该疾病的特殊问题,患病儿童及其父母有面临社会隔离的风险。所有社会、心理和身体上的不利因素都必须在社会有限的资源范围内消除或至少减轻。在罗马尼亚,这种情况在过去几年导致挑选出一些极其严重的病例,而这些病例无法通过骨科和传统手术治疗方法解决。这些患者的四肢长骨纤细、扭曲,四肢常伴有囊性退变、假关节、肢体长度差异,他们中的大多数人无法行走,只能坐在轮椅上。

目的

本文介绍了布加勒斯特“玛丽亚·斯克洛多夫斯卡·居里”儿童临床急救医院骨科在2002年5月至2012年5月期间,针对中度和重度OI进行手术治疗的经验。2002年5月20日,由医学博士Gh. Burnei教授带领的团队在罗马尼亚首次为一名OI患者的股骨和胫骨植入了伸缩杆。骨科手术中一个最重要且备受关注的主题是重度OI的骨关节矫正和重建,这应使患者能够站立和行走。这些病例对外科医生来说是一项挑战,因为他们要应用新的复杂手术程序,或完善、修改和调整已有的技术。手术治疗的目的是提高这些儿童和青少年的生活质量以及他们的社会融合度。

方法与结果

在上述期间,在我们诊所登记的OI患者中,有32人接受了手术,共计81次手术。其中,28名年龄在2至27岁的患者接受了骨盆四肢的重建手术。实施了索菲尔德 - 米勒截骨术,并在25名患者的43次手术中植入了69根谢菲尔德伸缩杆。分别对6名患者的8个髋关节应用谢菲尔德杆进行了髋内翻/髋外翻矫正。7名患者使用环形或单平面外固定器进行畸形矫正、肢体延长和关节扩张。9名患者接受了各种形式的骨移植:带蒂移植、自体和/或异体移植。目前正在研究一种原始的骨重建程序,该程序将有助于治疗大的骨缺损和纤细骨干的增厚,其实际操作是大量使用游离骨移植、自体和/或异体骨替代物,以及在特定情况下使用骨膜替代物,进行复合分层构建。术后,15名患者能够借助拐杖或助行架行走,5名患者能够独立行走,8名患者仍需依赖轮椅。需要提及的是,8名术前依赖轮椅的儿童现在能够行走了!

讨论

重度OI的手术治疗必须根据每个病例进行调整。无论使用的是知名的还是创新的手术技术,只要它能恢复一个被迫使用轮椅近20年且经历了数十次手术失败的年轻人的行走能力,那就是合适的。本文主要描述了外科医生在治疗重度、被忽视的OI病例时所面临的困难,这些病例有时未得到正确治疗,并被标记为无法手术。

相似文献

1
Surgical treatment in Osteogenesis Imperfecta - 10 years experience.成骨不全症的外科治疗——10年经验
J Med Life. 2013 Jun 15;6(2):205-13. Epub 2013 Jun 25.
2
Burnei's technique of femoral neck variation and valgisation by using the intramedullary rod in Osteogenesis imperfecta.布尔内(Burnei)在成骨不全症中使用髓内棒进行股骨颈变异和外翻的技术。
J Med Life. 2014 Oct-Dec;7(4):493-8.
3
Burnei's procedure in the treatment of long bone pseudarthrosis in patients having osteogenesis imperfecta or congenital pseudarthrosis of tibia - preliminary report.布尔内氏手术治疗成骨不全或先天性胫骨假关节患者长骨假关节——初步报告
J Med Life. 2012 Jun 12;5(2):215-21. Epub 2012 Jun 18.
4
Dual Interlocking Telescopic Rod Provides Effective Tibial Stabilization in Children With Osteogenesis Imperfecta.双锁定伸缩棒为成骨不全症儿童提供有效的胫骨稳定性。
Clin Orthop Relat Res. 2018 Nov;476(11):2238-2246. doi: 10.1097/CORR.0000000000000429.
5
Results and complications of a surgical technique for correction of coxa vara in children with osteopenic bones.骨质减少患儿髋内翻矫正手术技术的结果与并发症
J Pediatr Orthop. 2008 Dec;28(8):799-805. doi: 10.1097/BPO.0b013e31818e19b7.
6
Mid-term Results of Femoral and Tibial Osteotomies and Fassier-Duval Nailing in Children With Osteogenesis Imperfecta.成骨不全患儿股骨和胫骨截骨术及法西耶-杜瓦尔髓内钉固定的中期结果
J Pediatr Orthop. 2018 Jul;38(6):331-336. doi: 10.1097/BPO.0000000000000824.
7
Treatment of tibial deformities with the Fassier-Duval telescopic nail and minimally invasive percutaneous osteotomies in patients with osteogenesis imperfecta type III.使用法西耶 - 杜瓦尔伸缩钉及微创经皮截骨术治疗Ⅲ型成骨不全患者的胫骨畸形。
J Pediatr Orthop B. 2019 Mar;28(2):179-185. doi: 10.1097/BPB.0000000000000536.
8
Combined two-centre experience of single-entry telescopic rods identifies characteristic modes of failure.单入口伸缩杆的两中心联合经验确定了其失效的特征模式。
Bone Joint J. 2020 Aug;102-B(8):1048-1055. doi: 10.1302/0301-620X.102B8.BJJ-2020-0131.R1.
9
Intraoperative bleeding in patients with osteogenesis imperfecta type III treated by Fassier-Duval femoral rodding: analysis of risk factors.法西耶-杜瓦尔股骨内固定术治疗III型成骨不全患者的术中出血:危险因素分析
J Pediatr Orthop B. 2018 Jul;27(4):338-343. doi: 10.1097/BPB.0000000000000483.
10
Limb lengthening and correction of deformity in the lower limbs of children with osteogenesis imperfecta.成骨不全患儿下肢肢体延长与畸形矫正
J Bone Joint Surg Br. 2004 Mar;86(2):259-65. doi: 10.1302/0301-620x.86b2.14393.

引用本文的文献

1
The patient-related factors in revision procedures on tibia of patients with osteogenesis imperfecta treated with the Peter-Williams nail.成骨不全症患者经彼得·威廉斯钉治疗行胫骨翻修术中的患者相关因素。
J Orthop Surg Res. 2023 Jul 26;18(1):532. doi: 10.1186/s13018-023-03952-w.
2
Combined technique of titanium telescopic rods and external fixation in osteogenesis imperfecta patients: First 12 consecutive cases.钛质伸缩杆与外固定联合技术治疗成骨不全患者:连续12例首诊病例
J Orthop. 2020 Jun 20;22:316-325. doi: 10.1016/j.jor.2020.05.017. eCollection 2020 Nov-Dec.
3
Surgical Treatment of Bilateral Tibia Deformity in a 9-Year-Old Child Suffering from Osteogenesis Imperfecta Type III: A Case Report.

本文引用的文献

1
Burnei's procedure in the treatment of long bone pseudarthrosis in patients having osteogenesis imperfecta or congenital pseudarthrosis of tibia - preliminary report.布尔内氏手术治疗成骨不全或先天性胫骨假关节患者长骨假关节——初步报告
J Med Life. 2012 Jun 12;5(2):215-21. Epub 2012 Jun 18.
2
The use of bone grafts and bone graft substitutes in pediatric orthopaedics: an overview.骨移植和骨移植替代物在小儿骨科中的应用:综述
J Pediatr Orthop. 2012 Jan-Feb;32(1):100-5. doi: 10.1097/BPO.0b013e31823d8350.
3
Osteogenesis imperfecta: diagnosis and treatment.
一名9岁III型成骨不全患儿双侧胫骨畸形的手术治疗:病例报告
Am J Case Rep. 2019 Oct 21;20:1540-1550. doi: 10.12659/AJCR.918560.
4
Use of flexible intramedullary nailing in combination with an external fixator for a postoperative defect and pseudarthrosis of femur in a girl with osteogenesis imperfecta type VIII: a case report.八型成骨不全女童股骨术后缺损及假关节采用弹性髓内钉联合外固定架治疗:一例报告
Strategies Trauma Limb Reconstr. 2018 Nov;13(3):191-197. doi: 10.1007/s11751-018-0320-3. Epub 2018 Sep 29.
5
Effects of a telescopic intramedullary rod for treating patients with osteogenesis imperfecta of the femur.可伸缩髓内棒治疗股骨成骨不全症患者的效果
J Child Orthop. 2018 Feb 1;12(1):97-103. doi: 10.1302/1863-2548.12.170009.
成骨不全症:诊断与治疗
J Am Acad Orthop Surg. 2008 Jun;16(6):356-66. doi: 10.5435/00124635-200806000-00008.
4
Bisphosphonate use in children with bone disease.双膦酸盐在患有骨病的儿童中的应用。
J Am Acad Orthop Surg. 2006 Nov;14(12):638-44. doi: 10.5435/00124635-200611000-00006.
5
Surgery versus surgery plus pamidronate in the management of osteogenesis imperfecta patients: a comparative study.手术与手术联合帕米膦酸治疗成骨不全症患者的比较研究
J Pediatr Orthop B. 2006 May;15(3):222-8. doi: 10.1097/01.bpb.0000192058.98484.5b.
6
Osteogenesis imperfecta: anthropometric, skeletal and mineral metabolic effects of long-term intravenous pamidronate therapy.成骨不全症:长期静脉注射帕米膦酸盐治疗的人体测量学、骨骼和矿物质代谢效应
Acta Paediatr. 2006 Mar;95(3):332-9. doi: 10.1080/08035250500434785.
7
Two questions about osteogenesis imperfecta.关于成骨不全症的两个问题。
J Pediatr Orthop. 2006 Jan-Feb;26(1):148-9. doi: 10.1097/01.bpo.0000194697.21645.d3.
8
High prevalence of coxa vara in patients with severe osteogenesis imperfecta.严重成骨不全患者中髋内翻的高患病率。
J Pediatr Orthop. 2006 Jan-Feb;26(1):24-8. doi: 10.1097/01.bpo.0000189007.55174.7c.
9
Delayed osteotomy but not fracture healing in pediatric osteogenesis imperfecta patients receiving pamidronate.接受帕米膦酸盐治疗的小儿成骨不全患者存在截骨延迟但骨折愈合未受影响。
J Bone Miner Res. 2004 Nov;19(11):1779-86. doi: 10.1359/JBMR.040814. Epub 2004 Aug 23.
10
Smart intramedullary rod for correction of pediatric bone deformity: a preliminary study.用于矫正小儿骨畸形的智能髓内钉:一项初步研究。
Clin Orthop Relat Res. 2004 Jul(424):194-201. doi: 10.1097/01.blo.0000128283.05708.d3.