• 文献检索
  • 文档翻译
  • 深度研究
  • 学术资讯
  • Suppr Zotero 插件Zotero 插件
  • 邀请有礼
  • 套餐&价格
  • 历史记录
应用&插件
Suppr Zotero 插件Zotero 插件浏览器插件Mac 客户端Windows 客户端微信小程序
定价
高级版会员购买积分包购买API积分包
服务
文献检索文档翻译深度研究API 文档MCP 服务
关于我们
关于 Suppr公司介绍联系我们用户协议隐私条款
关注我们

Suppr 超能文献

核心技术专利:CN118964589B侵权必究
粤ICP备2023148730 号-1Suppr @ 2026

文献检索

告别复杂PubMed语法,用中文像聊天一样搜索,搜遍4000万医学文献。AI智能推荐,让科研检索更轻松。

立即免费搜索

文件翻译

保留排版,准确专业,支持PDF/Word/PPT等文件格式,支持 12+语言互译。

免费翻译文档

深度研究

AI帮你快速写综述,25分钟生成高质量综述,智能提取关键信息,辅助科研写作。

立即免费体验

肛周假性疣状丘疹和结节。

Perianal pseudoverrucous papules and nodules.

作者信息

Dandale Ameet, Dhurat Rachita, Ghate Smita

机构信息

Department of Dermatology, Lokmanya Tilak Municipal Medical College and Hospital, Mumbai, India.

出版信息

Indian J Sex Transm Dis AIDS. 2013 Jan;34(1):44-6. doi: 10.4103/0253-7184.112939.

DOI:10.4103/0253-7184.112939
PMID:23919056
原文链接:https://pmc.ncbi.nlm.nih.gov/articles/PMC3730475/
Abstract

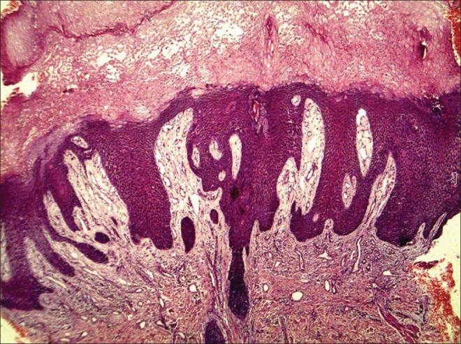
Perianal pseudoverrucous papules and nodules (PPPN) is a rare entity attributed to chronic irritation. We came across this entity in a case of spina bifida. A 14 year old girl having spina bifida at L3 presented with complaints of multiple asymptomatic whitish lesions on the inner aspect of thighs and labia majora since early childhood. She had incontinence of stool and urine since birth. Cutaneous examination revealed multiple 3-12 mm flat topped moist papules, few verrucous nodules, some of these lesions coalesced to form plaques at the perianal area extending upto the labia majora. On histology marked epidermal hyperplasia and pale keratinocytes in the epidermis was seen. This confirmed the diagnosis of PPPN. This rare condition can be mistaken with sexually transmitted diseases leading to unnecessary investigations and treatment.

摘要

肛周假性疣状丘疹和结节(PPPN)是一种罕见的因慢性刺激引起的病症。我们在一例脊柱裂病例中遇到了这种情况。一名14岁L3水平脊柱裂的女孩自幼年起就出现大腿内侧和大阴唇内侧多个无症状白色病变的主诉。她自出生以来就有大小便失禁。皮肤检查发现多个3 - 12毫米的平顶湿润丘疹、少数疣状结节,其中一些病变融合形成斑块,位于肛周区域并延伸至大阴唇。组织学检查可见表皮明显增生以及表皮内苍白的角质形成细胞。这证实了PPPN的诊断。这种罕见病症可能会被误诊为性传播疾病,从而导致不必要的检查和治疗。

https://cdn.ncbi.nlm.nih.gov/pmc/blobs/cb36/3730475/03d6ad608e34/IJSTD-34-44-g003.jpg
https://cdn.ncbi.nlm.nih.gov/pmc/blobs/cb36/3730475/5b208eb00fea/IJSTD-34-44-g001.jpg
https://cdn.ncbi.nlm.nih.gov/pmc/blobs/cb36/3730475/03d6ad608e34/IJSTD-34-44-g003.jpg
https://cdn.ncbi.nlm.nih.gov/pmc/blobs/cb36/3730475/5b208eb00fea/IJSTD-34-44-g001.jpg
https://cdn.ncbi.nlm.nih.gov/pmc/blobs/cb36/3730475/03d6ad608e34/IJSTD-34-44-g003.jpg

相似文献

1
Perianal pseudoverrucous papules and nodules.肛周假性疣状丘疹和结节。
Indian J Sex Transm Dis AIDS. 2013 Jan;34(1):44-6. doi: 10.4103/0253-7184.112939.
2
Perianal pseudoverrucous papules and nodules in children.儿童肛周假性疣状丘疹和结节
Arch Dermatol. 1992 Feb;128(2):240-2.
3
Vulvar pseudoverrucous papules and nodules secondary to a urethral--vaginal fistula.继发于尿道阴道瘘的外阴假性疣状丘疹和结节
Am J Dermatopathol. 2011 Jun;33(4):410-2. doi: 10.1097/DAD.0b013e3181ee5378.
4
Perianal Pseudoverrucous Papules and Nodules in an Elderly Patient.老年患者的肛周假性疣状丘疹和结节
Clin Cosmet Investig Dermatol. 2023 Oct 13;16:2863-2867. doi: 10.2147/CCID.S428120. eCollection 2023.
5
Perivulvar Pseudoverrucous Papules and Nodules in a 4-Year-Old Girl with Urinary and Fecal Incontinence: Case Report.外阴假性疣状丘疹和结节伴 4 岁女孩尿便失禁:病例报告。
J Pediatr Adolesc Gynecol. 2022 Dec;35(6):710-714. doi: 10.1016/j.jpag.2022.07.002. Epub 2022 Jul 9.
6
Perianal pseudoverrucous papules and nodules in Hirschsprung's disease: Rapid resolution with oral loperamide.先天性巨结肠症中的肛周假性疣状丘疹和结节:口服洛哌丁胺后迅速消退
Pediatr Dermatol. 2017 Nov;34(6):e343-e344. doi: 10.1111/pde.13275. Epub 2017 Sep 21.
7
Anogenital Papular Lesions in Children Five Year Old and Younger: Gender Differences.儿童五岁及以下肛门生殖器丘疹性病变:性别差异。
Med Arch. 2020 Feb;74(1):28-33. doi: 10.5455/medarh.2020.74.28-33.
8
A vesicular variant of pseudoverrucous papules and nodules in the genital area of an incontinent 4-year-old.生殖器部位水疱样假性疣状丘疹和结节,见于 4 岁大小便失禁患者。
Australas J Dermatol. 2013 Nov;54(4):e92-4. doi: 10.1111/j.1440-0960.2012.00952.x. Epub 2012 Oct 9.
9
Pseudoverrucous papules: an aspect of incontinence in children.假性疣状丘疹:儿童失禁的一种表现。
J Eur Acad Dermatol Venereol. 2002 Jul;16(4):409-10. doi: 10.1046/j.1468-3083.2002.00418.x.
10
Perianal pseudoverrucose papules and nodules mimicking condylomata acuminata and child sexual abuse.肛周假疣状丘疹和结节,酷似尖锐湿疣及儿童性虐待。
Cutis. 2001 Apr;67(4):335-8.

引用本文的文献

1
Pseudoverrucous Papules and Nodules in the Perianal Area: A Case Report.肛周区域的假性疣状丘疹和结节:一例报告
Cureus. 2025 Apr 9;17(4):e81945. doi: 10.7759/cureus.81945. eCollection 2025 Apr.
2
Anogenital Papular Lesions in Children Five Year Old and Younger: Gender Differences.儿童五岁及以下肛门生殖器丘疹性病变:性别差异。
Med Arch. 2020 Feb;74(1):28-33. doi: 10.5455/medarh.2020.74.28-33.
3
Pseudoverrucous Papules and Nodules in an Infant with Penoscrotal Hypospadiasis.患有阴茎阴囊型尿道下裂的婴儿出现的假性疣状丘疹和结节

本文引用的文献

1
Verrucous condyloma lata mimicking condyloma acuminata: An unusual presentation.模仿尖锐湿疣的扁平湿疣:一种不寻常的表现。
Indian J Sex Transm Dis AIDS. 2009 Jul;30(2):100-2. doi: 10.4103/0253-7184.62766.
2
Vulvar pseudoverrucous papules and nodules secondary to a urethral--vaginal fistula.继发于尿道阴道瘘的外阴假性疣状丘疹和结节
Am J Dermatopathol. 2011 Jun;33(4):410-2. doi: 10.1097/DAD.0b013e3181ee5378.
3
Erosive papulonodular dermatosis associated with topical benzocaine: a report of two cases and evidence that granuloma gluteale, pseudoverrucous papules, and Jacquet's erosive dermatitis are a disease spectrum.
Indian Dermatol Online J. 2017 Nov-Dec;8(6):503-505. doi: 10.4103/idoj.IDOJ_410_16.
4
Compendium of pseudo conditions in sexually transmitted diseases.性传播疾病中的假性病症汇编。
Indian J Sex Transm Dis AIDS. 2015 Jan-Jun;36(1):99-101. doi: 10.4103/0253-7184.156751.
与外用苯佐卡因相关的糜烂性丘疹结节性皮肤病:两例报告及证据表明臀部肉芽肿、假性疣状丘疹和雅克糜烂性皮炎是一种疾病谱。
J Am Acad Dermatol. 2006 Nov;55(5 Suppl):S74-80. doi: 10.1016/j.jaad.2005.12.025. Epub 2006 Sep 1.
4
Potato tuber proteins efficiently inhibit human faecal proteolytic activity: implications for treatment of peri-anal dermatitis.马铃薯块茎蛋白可有效抑制人粪便蛋白水解活性:对肛周皮炎治疗的启示。
Eur J Clin Invest. 2004 Apr;34(4):303-11. doi: 10.1111/j.1365-2362.2004.01330.x.
5
Pseudoverrucous papules: an aspect of incontinence in children.假性疣状丘疹:儿童失禁的一种表现。
J Eur Acad Dermatol Venereol. 2002 Jul;16(4):409-10. doi: 10.1046/j.1468-3083.2002.00418.x.
6
Perianal pseudoverrucose papules and nodules mimicking condylomata acuminata and child sexual abuse.肛周假疣状丘疹和结节,酷似尖锐湿疣及儿童性虐待。
Cutis. 2001 Apr;67(4):335-8.
7
The spectrum of skin disorders in abdominal stoma patients.腹部造口患者的皮肤疾病谱。
Br J Dermatol. 2000 Dec;143(6):1248-60. doi: 10.1046/j.1365-2133.2000.03896.x.
8
Perianal pseudoverrucous papules and nodules after surgery for Hirschsprung disease.先天性巨结肠手术后的肛周假性疣状丘疹和结节
J Pediatr. 1994 Dec;125(6 Pt 1):914-6. doi: 10.1016/s0022-3476(05)82008-6.
9
Perianal pseudoverrucous papules and nodules in children.儿童肛周假性疣状丘疹和结节
Arch Dermatol. 1992 Feb;128(2):240-2.