Suppr超能文献

乙醛衍生的晚期糖基化终产物促进酒精性肝病。

Acetaldehyde-derived advanced glycation end-products promote alcoholic liver disease.

机构信息

Department of Hepatology, Kanazawa Medical University, Uchinada, Ishikawa, Japan.

出版信息

PLoS One. 2013 Jul 26;8(7):e70034. doi: 10.1371/journal.pone.0070034. Print 2013.

Abstract

BACKGROUND

Chronic ingestion of ethanol increases acetaldehyde and leads to the production of acetaldehyde-derived advanced glycation end-products (AA-AGE). We evaluated the toxicity of AA-AGE on hepatocytes and studied the role of AA-AGE in the pathogenesis of alcoholic liver disease (ALD).

METHODS

Rat hepatocyte cultures were treated with N-ethyllysine (NEL) or AA-AGE and the cell viability was evaluated using MTT assay. Male Wistar rats were fed with liquid diet containing 5% ethanol for 8 weeks following normal diet for another 12 weeks. A group of animals was sacrificed at 4th, 6th, and 8th week and the remaining animals at 12th, 14th, 16th, 18th, and 20th week. The liver sections were stained for AA-AGE and 4-hydroxy-2-nonenal (4-HNE). Liver biopsy obtained from ALD patients was also stained for AA-AGE and 4-HNE.

RESULTS

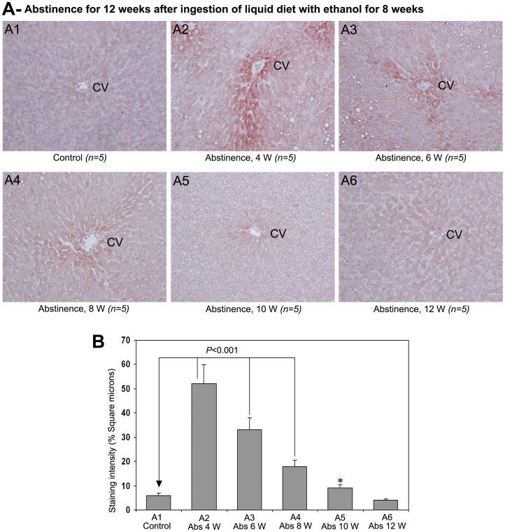
Hepatocyte viability was significantly reduced in cultures treated with AA-AGE compared to NEL treated or control cultures. Severe fatty degeneration was observed during chronic administration of ethanol increasing from 4-8 weeks. The staining of AA-AGE and 4-HNE was correlated with the degree of ALD in both rat and human. In rats, hepatic fatty degeneration was completely disappeared and the staining for both AA-AGE and 4-HNE returned to normal at 12th week of abstinence. Staining for AA-AGE and 4-HNE was completely absent in normal human liver.

CONCLUSIONS

The data demonstrated that AA-AGE is toxic to hepatocytes, but not NEL. Chronic ethanol ingestion produces AA-AGE and reactive oxygen species that contribute to the pathogenesis of ALD. Abstinence of alcohol results in complete disappearance of both AA-AGE and 4-HNE along with fatty degeneration suggesting that AA-AGE plays a significant role in the pathogenesis of ALD.

摘要

背景

慢性摄入乙醇会增加乙醛的含量,并导致乙醛衍生的晚期糖基化终产物(AA-AGE)的产生。我们评估了 AA-AGE 对肝细胞的毒性,并研究了 AA-AGE 在酒精性肝病(ALD)发病机制中的作用。

方法

用 N-乙基赖氨酸(NEL)或 AA-AGE 处理大鼠肝细胞培养物,并通过 MTT 测定评估细胞活力。雄性 Wistar 大鼠在正常饮食后,用含 5%乙醇的液体饮食喂养 8 周,再继续正常饮食 12 周。第 4、6 和 8 周处死一组动物,其余动物在第 12、14、16、18 和 20 周处死。对肝组织切片进行 AA-AGE 和 4-羟基-2-壬烯醛(4-HNE)染色。还对来自 ALD 患者的肝活检标本进行 AA-AGE 和 4-HNE 染色。

结果

与 NEL 处理或对照培养物相比,用 AA-AGE 处理的肝细胞活力显著降低。慢性给予乙醇后,从第 4 周到第 8 周观察到严重的脂肪变性。在大鼠和人类中,AA-AGE 和 4-HNE 的染色与 ALD 的严重程度相关。在大鼠中,酒精戒断 12 周后,肝脂肪变性完全消失,AA-AGE 和 4-HNE 的染色恢复正常。正常人类肝脏中不存在 AA-AGE 和 4-HNE 的染色。

结论

数据表明,AA-AGE 对肝细胞有毒性,但 NEL 没有。慢性乙醇摄入产生 AA-AGE 和活性氧,导致 ALD 的发病机制。酒精戒断可导致 AA-AGE 和 4-HNE 以及脂肪变性完全消失,提示 AA-AGE 在 ALD 的发病机制中起重要作用。

https://cdn.ncbi.nlm.nih.gov/pmc/blobs/909b/3724722/e681a80ae2ea/pone.0070034.g001.jpg

文献检索

告别复杂PubMed语法,用中文像聊天一样搜索,搜遍4000万医学文献。AI智能推荐,让科研检索更轻松。

立即免费搜索

文件翻译

保留排版,准确专业,支持PDF/Word/PPT等文件格式,支持 12+语言互译。

免费翻译文档

深度研究

AI帮你快速写综述,25分钟生成高质量综述,智能提取关键信息,辅助科研写作。

立即免费体验