• 文献检索
  • 文档翻译
  • 深度研究
  • 学术资讯
  • Suppr Zotero 插件Zotero 插件
  • 邀请有礼
  • 套餐&价格
  • 历史记录
应用&插件
Suppr Zotero 插件Zotero 插件浏览器插件Mac 客户端Windows 客户端微信小程序
定价
高级版会员购买积分包购买API积分包
服务
文献检索文档翻译深度研究API 文档MCP 服务
关于我们
关于 Suppr公司介绍联系我们用户协议隐私条款
关注我们

Suppr 超能文献

核心技术专利:CN118964589B侵权必究
粤ICP备2023148730 号-1Suppr @ 2026

文献检索

告别复杂PubMed语法,用中文像聊天一样搜索,搜遍4000万医学文献。AI智能推荐,让科研检索更轻松。

立即免费搜索

文件翻译

保留排版,准确专业,支持PDF/Word/PPT等文件格式,支持 12+语言互译。

免费翻译文档

深度研究

AI帮你快速写综述,25分钟生成高质量综述,智能提取关键信息,辅助科研写作。

立即免费体验

代谢相关脂肪性肝病、脂肪性肝炎、肝纤维化和肝硬化的分子发病机制。

Molecular pathogenesis of metabolic dysfunction-associated steatotic liver disease, steatohepatitis, hepatic fibrosis and liver cirrhosis.

机构信息

Department of Hepatology, Kanazawa Medical University, Uchinada, Ishikawa, Japan.

Center for Regenerative Medicine, Kanazawa Medical University Hospital, Uchinada, Ishikawa, Japan.

出版信息

J Cell Mol Med. 2024 Jun;28(12):e18491. doi: 10.1111/jcmm.18491.

DOI:10.1111/jcmm.18491
PMID:38894579
原文链接:https://pmc.ncbi.nlm.nih.gov/articles/PMC11187936/
Abstract

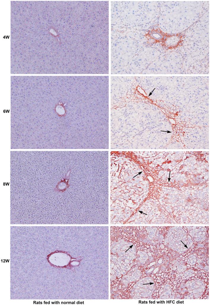
Metabolic dysfunction-associated steatotic liver disease (MASLD) is characterized by intense deposition of fat globules in the hepatic parenchyma that could potentially progress to liver cirrhosis and hepatocellular carcinoma. Here, we evaluated a rat model to study the molecular pathogenesis of the spectrum of MASLD and to screen therapeutic agents. SHRSP5/Dmcr rats were fed a high-fat and cholesterol (HFC) diet for a period of 12 weeks and evaluated for the development of steatosis (MASLD), steatohepatitis, fibrosis and cirrhosis. A group of animals were sacrificed at the end of the 4th, 6th, 8th and 12th weeks from the beginning of the experiment, along with the control rats that received normal diet. Blood and liver samples were collected for biochemical and histopathological evaluations. Immunohistochemical staining was performed for α-SMA and Collagen Type I. Histopathological examinations demonstrated steatosis at the 4th week, steatohepatitis with progressive fibrosis at the 6th week, advanced fibrosis with bridging at the 8th week and cirrhosis at the 12th week. Biochemical markers and staining for α-SMA and Collagen Type I demonstrated the progression of steatosis to steatohepatitis, hepatic fibrosis and liver cirrhosis in a stepwise manner. Control animals fed a normal diet did not show any biochemical or histopathological alterations. The results of the present study clearly demonstrated that the HFC diet-induced model of steatosis, steatohepatitis, hepatic fibrosis and cirrhosis is a feasible, quick and appropriate animal model to study the molecular pathogenesis of the spectrum of MASLD and to screen potent therapeutic agents.

摘要

代谢相关脂肪性肝病(MASLD)的特征是肝脏实质中脂肪球的大量沉积,可能进展为肝硬化和肝细胞癌。在这里,我们评估了一种大鼠模型,以研究 MASLD 谱的分子发病机制并筛选治疗药物。SHRSP5/Dmcr 大鼠喂食高脂肪和胆固醇(HFC)饮食 12 周,并评估脂肪变性(MASLD)、脂肪性肝炎、纤维化和肝硬化的发生情况。一组动物在实验开始后的第 4、6、8 和 12 周结束时被处死,同时处死接受正常饮食的对照组大鼠。采集血液和肝脏样本进行生化和组织病理学评估。进行α-SMA 和 I 型胶原的免疫组织化学染色。组织病理学检查显示第 4 周出现脂肪变性,第 6 周出现进行性纤维化的脂肪性肝炎,第 8 周出现桥接纤维化的进展性纤维化,第 12 周出现肝硬化。生化标志物和α-SMA 及 I 型胶原染色显示脂肪变性逐步进展为脂肪性肝炎、肝纤维化和肝硬化。喂食正常饮食的对照组动物未显示任何生化或组织病理学改变。本研究结果清楚地表明,HFC 饮食诱导的脂肪变性、脂肪性肝炎、肝纤维化和肝硬化模型是一种可行、快速和合适的动物模型,可用于研究 MASLD 谱的分子发病机制并筛选有效的治疗药物。

https://cdn.ncbi.nlm.nih.gov/pmc/blobs/a951/11187936/9277f0d575d7/JCMM-28-e18491-g005.jpg
https://cdn.ncbi.nlm.nih.gov/pmc/blobs/a951/11187936/cda67ee8636b/JCMM-28-e18491-g006.jpg
https://cdn.ncbi.nlm.nih.gov/pmc/blobs/a951/11187936/4321a103e669/JCMM-28-e18491-g003.jpg
https://cdn.ncbi.nlm.nih.gov/pmc/blobs/a951/11187936/963237a2a217/JCMM-28-e18491-g002.jpg
https://cdn.ncbi.nlm.nih.gov/pmc/blobs/a951/11187936/41d3643dbf53/JCMM-28-e18491-g004.jpg
https://cdn.ncbi.nlm.nih.gov/pmc/blobs/a951/11187936/c4362b93e14e/JCMM-28-e18491-g007.jpg
https://cdn.ncbi.nlm.nih.gov/pmc/blobs/a951/11187936/fcdf75da65ed/JCMM-28-e18491-g001.jpg
https://cdn.ncbi.nlm.nih.gov/pmc/blobs/a951/11187936/cd63c212544e/JCMM-28-e18491-g008.jpg
https://cdn.ncbi.nlm.nih.gov/pmc/blobs/a951/11187936/9277f0d575d7/JCMM-28-e18491-g005.jpg
https://cdn.ncbi.nlm.nih.gov/pmc/blobs/a951/11187936/cda67ee8636b/JCMM-28-e18491-g006.jpg
https://cdn.ncbi.nlm.nih.gov/pmc/blobs/a951/11187936/4321a103e669/JCMM-28-e18491-g003.jpg
https://cdn.ncbi.nlm.nih.gov/pmc/blobs/a951/11187936/963237a2a217/JCMM-28-e18491-g002.jpg
https://cdn.ncbi.nlm.nih.gov/pmc/blobs/a951/11187936/41d3643dbf53/JCMM-28-e18491-g004.jpg
https://cdn.ncbi.nlm.nih.gov/pmc/blobs/a951/11187936/c4362b93e14e/JCMM-28-e18491-g007.jpg
https://cdn.ncbi.nlm.nih.gov/pmc/blobs/a951/11187936/fcdf75da65ed/JCMM-28-e18491-g001.jpg
https://cdn.ncbi.nlm.nih.gov/pmc/blobs/a951/11187936/cd63c212544e/JCMM-28-e18491-g008.jpg
https://cdn.ncbi.nlm.nih.gov/pmc/blobs/a951/11187936/9277f0d575d7/JCMM-28-e18491-g005.jpg

相似文献

1
Molecular pathogenesis of metabolic dysfunction-associated steatotic liver disease, steatohepatitis, hepatic fibrosis and liver cirrhosis.代谢相关脂肪性肝病、脂肪性肝炎、肝纤维化和肝硬化的分子发病机制。
J Cell Mol Med. 2024 Jun;28(12):e18491. doi: 10.1111/jcmm.18491.
2
Therapeutic implication of human placental extract to prevent liver cirrhosis in rats with metabolic dysfunction-associated steatohepatitis.人胎盘提取物预防代谢功能障碍相关脂肪性肝炎大鼠肝硬化的治疗意义。
Clin Sci (Lond). 2024 Mar 6;138(5):327-349. doi: 10.1042/CS20230533.
3
Simultaneous changes in high-fat and high-cholesterol diet-induced steatohepatitis and severe fibrosis and those underlying molecular mechanisms in novel SHRSP5/Dmcr rat.新型 SHRSP5/Dmcr 大鼠高脂高胆固醇饮食诱导的脂肪性肝炎和严重肝纤维化及其潜在分子机制的同步变化。
Environ Health Prev Med. 2012 Nov;17(6):444-56. doi: 10.1007/s12199-012-0273-y. Epub 2012 Mar 11.
4
Development of novel rat model for high-fat and high-cholesterol diet-induced steatohepatitis and severe fibrosis progression in SHRSP5/Dmcr.建立新型高脂肪高胆固醇饮食诱导的 SHRSP5/Dmcr 大鼠肝脂肪性肝炎和严重纤维化进展模型。
Environ Health Prev Med. 2012 May;17(3):173-82. doi: 10.1007/s12199-011-0235-9. Epub 2011 Aug 19.
5
Protective Effects of Hepatocyte Stress Defenders, Nrf1 and Nrf2, against MASLD Progression.肝应激防御因子 Nrf1 和 Nrf2 对 MASLD 进展的保护作用。
Int J Mol Sci. 2024 Jul 24;25(15):8046. doi: 10.3390/ijms25158046.
6
Choline-deficient, high-fat diet-induced MASH in Göttingen Minipigs: characterization and effects of a chow reversal period.胆碱缺乏、高脂肪饮食诱导的哥廷根小型猪 MASH:特征描述及膳食逆转期的影响。
Am J Physiol Gastrointest Liver Physiol. 2024 Oct 1;327(4):G571-G585. doi: 10.1152/ajpgi.00120.2024. Epub 2024 Jul 23.
7
Sex-based differences in natural killer T cell-mediated protection against diet-induced steatohepatitis in Balb/c mice.基于性别的差异,自然杀伤 T 细胞在保护 Balb/c 小鼠抵抗饮食诱导的脂肪性肝炎中的作用。
Biol Sex Differ. 2023 Nov 14;14(1):85. doi: 10.1186/s13293-023-00569-w.
8
Pathological characterization and morphometric analysis of hepatic lesions in SHRSP5/Dmcr, an experimental non-alcoholic steatohepatitis model, induced by high-fat and high-cholesterol diet.高脂高胆固醇饮食诱导的实验性非酒精性脂肪性肝炎模型SHRSP5/Dmcr中肝脏病变的病理特征及形态计量分析
Int J Exp Pathol. 2016 Feb;97(1):75-85. doi: 10.1111/iep.12169. Epub 2016 Mar 31.
9
Importance of detoxifying enzymes in differentiating fibrotic development between SHRSP5/Dmcr and SHRSP rats.解毒酶在区分SHRSP5/Dmcr大鼠和SHRSP大鼠纤维化发展中的重要性。
Environ Health Prev Med. 2016 Sep;21(5):368-381. doi: 10.1007/s12199-016-0539-x. Epub 2016 May 21.
10
RASSF4 Attenuates Metabolic Dysfunction-Associated Steatotic Liver Disease Progression via Hippo Signaling and Suppresses Hepatocarcinogenesis.RASSF4 通过 Hippo 信号通路减轻代谢相关脂肪性肝病的进展并抑制肝癌发生。
Cell Mol Gastroenterol Hepatol. 2024;18(2):101348. doi: 10.1016/j.jcmgh.2024.04.005. Epub 2024 Apr 30.

引用本文的文献

1
Pemafibrate modulates peroxisome proliferator-activated receptor alpha and prevents alcohol-associated liver disease in rats.非诺贝特调节过氧化物酶体增殖物激活受体α并预防大鼠酒精性肝病。
Mol Med. 2025 Apr 22;31(1):145. doi: 10.1186/s10020-025-01210-9.

本文引用的文献

1
Pathology and Pathogenesis of Metabolic Dysfunction-Associated Steatotic Liver Disease-Associated Hepatic Tumors.代谢功能障碍相关脂肪性肝病相关肝肿瘤的病理学与发病机制
Biomedicines. 2023 Oct 12;11(10):2761. doi: 10.3390/biomedicines11102761.
2
Metabolic Dysfunction-Associated Steatotic Liver Disease (MASLD): A State-of-the-Art Review.代谢功能障碍相关脂肪性肝病(MASLD):最新综述
J Obes Metab Syndr. 2023 Sep 30;32(3):197-213. doi: 10.7570/jomes23052. Epub 2023 Sep 13.
3
A multisociety Delphi consensus statement on new fatty liver disease nomenclature.
多学会专家组关于新的脂肪肝疾病命名的德尔菲共识声明。
J Hepatol. 2023 Dec;79(6):1542-1556. doi: 10.1016/j.jhep.2023.06.003. Epub 2023 Jun 24.
4
Mechanisms of Oxidative Stress in Metabolic Syndrome.代谢综合征中的氧化应激机制。
Int J Mol Sci. 2023 Apr 26;24(9):7898. doi: 10.3390/ijms24097898.
5
Metabolic dysfunction-associated fatty liver disease (MAFLD): an update of the recent advances in pharmacological treatment.代谢相关脂肪性肝病(MAFLD):药物治疗最新进展的更新。
J Physiol Biochem. 2023 Nov;79(4):869-879. doi: 10.1007/s13105-023-00954-4. Epub 2023 Mar 28.
6
Surgical implantation of human adipose derived stem cells attenuates experimentally induced hepatic fibrosis in rats.手术植入人脂肪来源干细胞可减轻大鼠实验性肝纤维化。
Mol Med. 2022 Nov 29;28(1):143. doi: 10.1186/s10020-022-00566-6.
7
Fibrogenic Pathways in Metabolic Dysfunction Associated Fatty Liver Disease (MAFLD).代谢相关脂肪性肝病(MAFLD)中致纤维化途径。
Int J Mol Sci. 2022 Jun 23;23(13):6996. doi: 10.3390/ijms23136996.
8
Metabolic dysfunction-associated fatty liver disease: from basic research to clinical application.代谢功能障碍相关脂肪性肝病:从基础研究到临床应用
Chin Med J (Engl). 2022 May 20;135(10):1138-1140. doi: 10.1097/CM9.0000000000002136.
9
Epigallocatechin-3-gallate inhibits osteopontin expression and prevents experimentally induced hepatic fibrosis.没食子儿茶素没食子酸酯抑制骨桥蛋白表达并预防实验性肝纤维化。
Biomed Pharmacother. 2022 Jul;151:113111. doi: 10.1016/j.biopha.2022.113111. Epub 2022 May 17.
10
Hepatocellular carcinoma in patients with metabolic dysfunction-associated fatty liver disease: Can we stratify at-risk populations?代谢功能障碍相关脂肪性肝病患者的肝细胞癌:我们能否对高危人群进行分层?
World J Hepatol. 2022 Feb 27;14(2):354-371. doi: 10.4254/wjh.v14.i2.354.