Suppr超能文献

从伊朗囊性纤维化患者中分离出的铜绿假单胞菌的表型特征及PCR核糖体分型图谱

Phenotypic characterization and PCR-Ribotypic profile of Pseudomonas aeruginosa isolated from cystic fibrosis patients in Iran.

作者信息

Fazeli Hossein, Akbari Reza, Moghim Sharare, Esfahani Bahram Nasr

机构信息

Infectious Diseases and Tropical Medicine Research Center, Isfahan University of Medical Sciences, Isfahan, Iran.

出版信息

Adv Biomed Res. 2013 Mar 6;2:18. doi: 10.4103/2277-9175.108002. Print 2013.

Abstract

BACKGROUND

Pseudomonas aeruginosa, is the most common pathogen in patients with cystic fibrosis (CF) that shows various resistance to antibiotics, acquires mucoidity and multiple genotypes. This survey was performed to study phenotypic and genotypic variations among P. aeruginosa isolates in CF patients at Alzahra Hospital in Isfahan, Iran.

MATERIALS AND METHODS

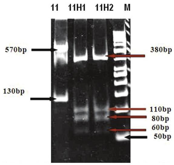
The isolates of Pseudomonas aeruginosa from CF patients at Alzahra Hospital was identified by appropriate biochemical and microscopic tests, then performed antibiotic resistance tests and mucoid colony morphotyping. The genum of isolates extracted and confirmed on 16S rDNA-based PCR assay and typed on 16S rDNA-23SrDNA spacer, restricted with Hinf1 restriction enzyme.

RESULTS

P. aeruginosa was isolated from 21 of the 59 CF patients (35.5%), Out of 21 isolates 9 (42.8%) strains were revealed mucoid morphotype. 81.8% isolates of mucoid strains were resistance to at least one of four antibiotics (GM, AN, PIP and CP). Most of the isolates (86%) showed resistance to ceftazidime. Ribotyping revealed two patterns (P1, P5).

CONCLUSION

The isolates of P. aeruginosa showed meaningful difference between drug resistance to antibiotics. The majority of P. aeruginosa isolated from CF patients showed pattern1 of PCR-Ribotyping.

摘要

背景

铜绿假单胞菌是囊性纤维化(CF)患者中最常见的病原体,对多种抗生素具有耐药性,可形成黏液样菌落并具有多种基因型。本研究旨在调查伊朗伊斯法罕阿尔扎赫拉医院CF患者中分离出的铜绿假单胞菌的表型和基因型变异。

材料与方法

通过适当的生化和显微镜检查鉴定阿尔扎赫拉医院CF患者分离出的铜绿假单胞菌,然后进行抗生素耐药性测试和黏液样菌落形态分型。提取分离株的基因组,通过基于16S rDNA的PCR检测进行确认,并使用Hinf1限制性内切酶对16S rDNA-23S rDNA间隔区进行分型。

结果

59例CF患者中有21例(35.5%)分离出铜绿假单胞菌。在21株分离株中,9株(42.8%)表现为黏液样形态型。81.8%的黏液样菌株分离株对四种抗生素(庆大霉素、氨曲南、哌拉西林和头孢哌酮)中的至少一种耐药。大多数分离株(86%)对头孢他啶耐药。核糖体分型显示两种模式(P1、P5)。

结论

铜绿假单胞菌分离株在抗生素耐药性方面存在显著差异。从CF患者中分离出的大多数铜绿假单胞菌表现出PCR核糖体分型的模式1。

https://cdn.ncbi.nlm.nih.gov/pmc/blobs/4950/3732885/baf5f798e9dc/ABR-2-18-g003.jpg

文献检索

告别复杂PubMed语法,用中文像聊天一样搜索,搜遍4000万医学文献。AI智能推荐,让科研检索更轻松。

立即免费搜索

文件翻译

保留排版,准确专业,支持PDF/Word/PPT等文件格式,支持 12+语言互译。

免费翻译文档

深度研究

AI帮你快速写综述,25分钟生成高质量综述,智能提取关键信息,辅助科研写作。

立即免费体验