Suppr超能文献

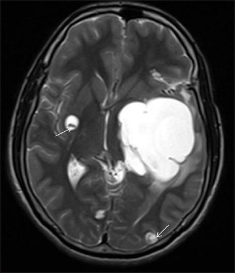
Giant racemose neurocysticercosis with mass effect: Unusual presentation.

作者信息

Kumar Suresh, Thakur Shruti, Jhobta Anupam, Sood R G

机构信息

Department of Radiodiagnosis and Imaging, IGMC, Shimla, Himachal Pradesh, India.

出版信息

Ann Indian Acad Neurol. 2013 Jul;16(3):398-9. doi: 10.4103/0972-2327.116957.

Abstract
摘要
https://cdn.ncbi.nlm.nih.gov/pmc/blobs/0cdc/3788289/e6d2dcb6db42/AIAN-16-398-g001.jpg

文献AI研究员

20分钟写一篇综述,助力文献阅读效率提升50倍。

立即体验

用中文搜PubMed

大模型驱动的PubMed中文搜索引擎

马上搜索

文档翻译

学术文献翻译模型,支持多种主流文档格式。

立即体验