Kundu Atin Kumar, Phuljhele Satyendra, Jain Mantu, Srivastava Raman Kumar
Department of Orthopedics, Pt. JNM Medical College, Raipur, Chhattisgarh, India.
Indian J Orthop. 2013 Sep;47(5):523-5. doi: 10.4103/0019-5413.118212.
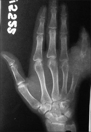
Rhinosporidiosis is a chronic granulomatous disease caused by Rhinosporidium seeberi. It usually affects the mucocutaneous tissue of the nose. Bone involvement is rare. We report a case of Rhinosporidiosis of the nasopharynx which later involved the right little finger where ray amputation was performed.
鼻孢子虫病是一种由西伯鼻孢子菌引起的慢性肉芽肿性疾病。它通常累及鼻部的黏膜皮肤组织。骨骼受累罕见。我们报告一例鼻咽部鼻孢子虫病病例,该病例后来累及右手小指并进行了截指手术。