Suppr超能文献

肾脏原发性单相滑膜肉瘤:一例病例报告并文献复习。

Primary monophasic synovial sarcoma of the kidney: a case report and review of literature.

机构信息

Department of Medical Oncology, Barretos Cancer Hospital, Barretos, SP, Brazil.

出版信息

Clin Med Insights Oncol. 2013 Oct 7;7:257-62. doi: 10.4137/CMO.S12243. eCollection 2013.

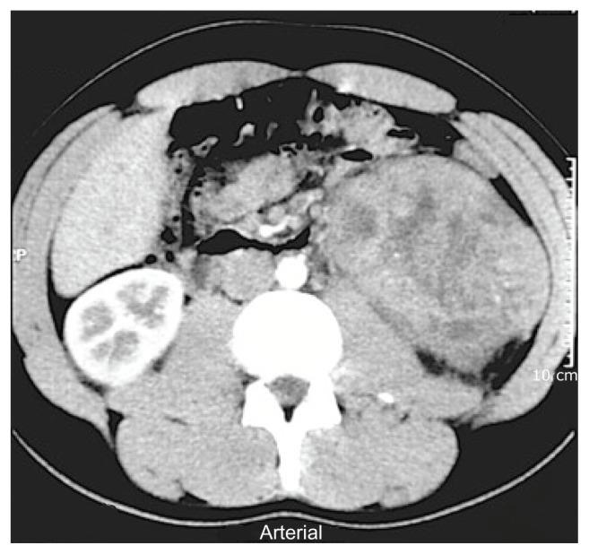
Abstract

Primary synovial sarcoma (SS) of the kidney is a rare neoplasm and its presenting features are similar to other common renal tumors, making early diagnosis difficult. To date, few cases have been reported in the literature. Primary renal SSs can exist in either a monophasic or a biphasic pattern, the former being more common and tending to have a better prognosis than the biphasic variant. Herein we describe a case of primary renal SS that was diagnosed based on histopathology and immunohistochemistry after radical nephrectomy. Fusion gene product analysis was also done by FISH and RT-PCR. Patient follow-up and literature review are presented, focused on systemic therapy. We highlight that these tumors should be correctly diagnosed as clinical results and specific treatment are distinct from primary epithelial renal cell carcinoma. Adjuvant chemotherapy should be tailored for each patient in the management of disease, although its role still remains unclear.

摘要

肾脏原发性滑膜肉瘤(SS)是一种罕见的肿瘤,其表现与其他常见的肾脏肿瘤相似,因此早期诊断较为困难。迄今为止,文献中报道的病例较少。肾脏原发性 SS 可呈现单相或双相模式,前者更为常见,且预后优于双相变体。本文描述了一例经根治性肾切除术后,基于组织病理学和免疫组化诊断为原发性肾脏 SS 的病例。还通过 FISH 和 RT-PCR 进行了融合基因产物分析。本文呈现了患者随访和文献复习的结果,重点介绍了系统治疗。我们强调,这些肿瘤应正确诊断,因为临床结果和特定治疗与原发性上皮性肾细胞癌不同。在疾病管理中,应根据每位患者的情况进行辅助化疗,尽管其作用仍不清楚。

https://cdn.ncbi.nlm.nih.gov/pmc/blobs/df42/3795529/1acda95acb52/cmo-7-2013-257f1.jpg

文献AI研究员

20分钟写一篇综述,助力文献阅读效率提升50倍。

立即体验

用中文搜PubMed

大模型驱动的PubMed中文搜索引擎

马上搜索

文档翻译

学术文献翻译模型,支持多种主流文档格式。

立即体验