• 文献检索
  • 文档翻译
  • 深度研究
  • 学术资讯
  • Suppr Zotero 插件Zotero 插件
  • 邀请有礼
  • 套餐&价格
  • 历史记录
应用&插件
Suppr Zotero 插件Zotero 插件浏览器插件Mac 客户端Windows 客户端微信小程序
定价
高级版会员购买积分包购买API积分包
服务
文献检索文档翻译深度研究API 文档MCP 服务
关于我们
关于 Suppr公司介绍联系我们用户协议隐私条款
关注我们

Suppr 超能文献

核心技术专利:CN118964589B侵权必究
粤ICP备2023148730 号-1Suppr @ 2026

文献检索

告别复杂PubMed语法,用中文像聊天一样搜索,搜遍4000万医学文献。AI智能推荐,让科研检索更轻松。

立即免费搜索

文件翻译

保留排版,准确专业,支持PDF/Word/PPT等文件格式,支持 12+语言互译。

免费翻译文档

深度研究

AI帮你快速写综述,25分钟生成高质量综述,智能提取关键信息,辅助科研写作。

立即免费体验

犬发情周期不同阶段以及开放性和闭锁性子宫蓄脓时子宫颈中的胶原蛋白和糖胺聚糖谱

Collagen and glycosaminoglycan profiles in the canine cervix during different stages of the estrous cycle and in open- and closed-cervix pyometra.

作者信息

Linharattanaruksa Pichanun, Srisuwatanasagul Sayamon, Ponglowhapan Suppawiwat, Khalid Muhammad, Chatdarong Kaywalee

机构信息

Department of Obstetrics, Gynaecology and Reproduction, Faculty of Veterinary Science, Chulalongkorn University, Bangkok 10330, Thailand.

出版信息

J Vet Med Sci. 2014 Mar 1;76(2):197-203. doi: 10.1292/jvms.13-0114. Epub 2013 Oct 22.

DOI:10.1292/jvms.13-0114
PMID:24152876
原文链接:https://pmc.ncbi.nlm.nih.gov/articles/PMC3982811/
Abstract

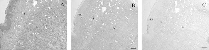
The extracellular matrix of the cervix that comprises collagen, elastin, proteoglycans and glycosaminoglycans (GAGs) is thought to have an essential role in cervical relaxation. This study investigated the proportion of collagen and smooth muscle as well as the GAGs in cervices obtained from healthy bitches at different stages of the estrous cycle and bitches with open- and closed-cervix pyometra. Cervices were collected after ovariohysterectomy. The proportion of collagen to smooth muscle was determined using Masson's trichrome staining. Alcian blue staining was used to evaluate the relative distribution of cervical GAGs. The proportion of cervical collagen relative to smooth muscle was higher at estrus compared to anestrus (P≤0.05). It was also higher (P≤0.05) in bitches with open- compared to those with closed-cervix pyometra. Overall, hyaluronan (HA) was the predominant GAG in the canine cervix. In the luminal epithelium, the staining intensity for HA was stronger in estrus than in anestrus (P≤0.05), but not in diestrus (P>0.05). On the contrary, the intensity for the combined keratan sulfate (KS) and heparan sulfate (HS) was stronger in anestrus than in estrus and diestrus (P≤0.05). In bitches with pyometra, the staining intensity of the stroma for KS and HS was weaker in open- compared to closed-cervix pyometra (P≤0.05). Collectively, the different profiles of collagen and GAG suggest that the metabolism of both collagen and GAGs in the canine cervix is associated with hormonal statuses during the estrous cycle and cervical patency of bitches with pathological uterine conditions, such as pyometra.

摘要

子宫颈的细胞外基质由胶原蛋白、弹性蛋白、蛋白聚糖和糖胺聚糖(GAGs)组成,被认为在子宫颈松弛中起重要作用。本研究调查了处于发情周期不同阶段的健康母犬以及患有开放性和闭合性子宫积脓母犬的子宫颈中胶原蛋白和平滑肌的比例以及GAGs的情况。子宫颈在卵巢子宫切除术后采集。使用Masson三色染色法测定胶原蛋白与平滑肌的比例。采用阿尔辛蓝染色法评估子宫颈GAGs的相对分布。与发情间期相比,发情期子宫颈胶原蛋白相对于平滑肌的比例更高(P≤0.05)。与闭合性子宫积脓的母犬相比,开放性子宫积脓的母犬该比例也更高(P≤0.05)。总体而言,透明质酸(HA)是犬子宫颈中主要的GAG。在腔上皮中,HA的染色强度在发情期比发情间期更强(P≤0.05),但在发情后期无差异(P>0.05)。相反,硫酸角质素(KS)和硫酸乙酰肝素(HS)的组合染色强度在发情间期比发情期和发情后期更强(P≤0.05)。在患有子宫积脓的母犬中,开放性子宫积脓的母犬基质中KS和HS的染色强度比闭合性子宫积脓的母犬弱(P≤0.05)。总的来说,胶原蛋白和GAGs的不同分布表明,犬子宫颈中胶原蛋白和GAGs的代谢与发情周期中的激素状态以及患有诸如子宫积脓等病理性子宫疾病母犬的子宫颈通畅情况有关。

https://cdn.ncbi.nlm.nih.gov/pmc/blobs/6eec/3982811/0b7e997a0463/jvms-76-197-g002.jpg
https://cdn.ncbi.nlm.nih.gov/pmc/blobs/6eec/3982811/4494c6de1aec/jvms-76-197-g001.jpg
https://cdn.ncbi.nlm.nih.gov/pmc/blobs/6eec/3982811/0b7e997a0463/jvms-76-197-g002.jpg
https://cdn.ncbi.nlm.nih.gov/pmc/blobs/6eec/3982811/4494c6de1aec/jvms-76-197-g001.jpg
https://cdn.ncbi.nlm.nih.gov/pmc/blobs/6eec/3982811/0b7e997a0463/jvms-76-197-g002.jpg

相似文献

1
Collagen and glycosaminoglycan profiles in the canine cervix during different stages of the estrous cycle and in open- and closed-cervix pyometra.犬发情周期不同阶段以及开放性和闭锁性子宫蓄脓时子宫颈中的胶原蛋白和糖胺聚糖谱
J Vet Med Sci. 2014 Mar 1;76(2):197-203. doi: 10.1292/jvms.13-0114. Epub 2013 Oct 22.
2
Distribution of estrogen receptor alpha and progesterone receptor, and leukocyte infiltration in the cervix of cyclic bitches and those with pyometra.雌激素受体 α 和孕激素受体在发情期母犬和脓性子宫蓄脓母犬子宫颈中的分布及白细胞浸润情况。
Theriogenology. 2011 Apr 1;75(6):979-87. doi: 10.1016/j.theriogenology.2010.11.004. Epub 2010 Dec 31.
3
The localization of Toll-like receptor 2 (TLR2) in the endometrium and the cervix of dogs at different stages of the oestrous cycle and with pyometra.发情周期不同阶段及患有子宫蓄脓的犬子宫内膜和子宫颈中Toll样受体2(TLR2)的定位
Reprod Domest Anim. 2012 Dec;47 Suppl 6:351-5. doi: 10.1111/rda.12104.
4
Epidermal growth factor, transforming growth factor-alpha, and epidermal growth factor receptor expression and localization in the canine endometrium during the estrous cycle and in bitches with pyometra.在发情周期和患有子宫积脓的母犬中,表皮生长因子、转化生长因子-α 和表皮生长因子受体在犬子宫内膜中的表达和定位。
Theriogenology. 2010 Jan;73(1):36-47. doi: 10.1016/j.theriogenology.2009.08.002. Epub 2009 Oct 23.
5
Factors associated with patency of the uterine cervix in bitches with pyometra.与脓性子宫蓄脓母犬子宫颈通畅相关的因素。
Res Vet Sci. 2012 Dec;93(3):1203-10. doi: 10.1016/j.rvsc.2012.05.012. Epub 2012 Jun 20.
6
Expression of oxytocin, progesterone, and estrogen receptors in the reproductive tract of bitches with pyometra.患有子宫蓄脓的母犬生殖道中催产素、孕酮和雌激素受体的表达。
Theriogenology. 2017 Feb;89:131-139. doi: 10.1016/j.theriogenology.2016.10.016. Epub 2016 Oct 21.
7
Pyometra-associated insulin resistance assessment by insulin binding assay and tyrosine kinase activity evaluation in canine muscle tissue.通过胰岛素结合试验和犬肌肉组织酪氨酸激酶活性评估来进行子宫蓄脓相关胰岛素抵抗评估
Domest Anim Endocrinol. 2021 Jul;76:106626. doi: 10.1016/j.domaniend.2021.106626. Epub 2021 Mar 23.
8
Expression patterns and distribution of aquaporin water channels in cervix as a possible mechanism for cervical patency in bitches affected by pyometra.水通道蛋白在受脓毒症影响的母犬子宫颈中的表达模式和分布,可能是其子宫颈通畅的机制。
Theriogenology. 2024 Oct 1;227:138-143. doi: 10.1016/j.theriogenology.2024.07.022. Epub 2024 Jul 25.
9
Lactoferrin expression in the canine uterus during the estrous cycle and with pyometra.发情周期及子宫蓄脓时犬子宫中乳铁蛋白的表达
Theriogenology. 2006 Sep 15;66(5):1325-33. doi: 10.1016/j.theriogenology.2006.04.028. Epub 2006 May 30.
10
Expression patterns of inflammatory and oxidative stress-related genes in the uterine and ovarian tissues of dogs diagnosed with pyometra based on cervical patency status.基于宫颈开放状态诊断为脓性子宫蓄脓的犬的子宫和卵巢组织中炎症和氧化应激相关基因的表达模式。
Theriogenology. 2024 Oct 15;228:1-8. doi: 10.1016/j.theriogenology.2024.07.024. Epub 2024 Jul 26.

引用本文的文献

1
Efficient Promotion of Autophagy and Angiogenesis Using Mesenchymal Stem Cell Therapy Enhanced by the Low-Energy Shock Waves in the Treatment of Erectile Dysfunction.低能量冲击波增强间充质干细胞疗法在治疗勃起功能障碍中有效促进自噬和血管生成
Stem Cells Int. 2018 Aug 29;2018:1302672. doi: 10.1155/2018/1302672. eCollection 2018.

本文引用的文献

1
Factors associated with patency of the uterine cervix in bitches with pyometra.与脓性子宫蓄脓母犬子宫颈通畅相关的因素。
Res Vet Sci. 2012 Dec;93(3):1203-10. doi: 10.1016/j.rvsc.2012.05.012. Epub 2012 Jun 20.
2
Effect of the gonadal status and the gender on glycosaminoglycans profile in the lower urinary tract of dogs.性激素状态和性别对犬下尿路糖胺聚糖谱的影响。
Theriogenology. 2011 Oct 15;76(7):1284-92. doi: 10.1016/j.theriogenology.2011.05.035. Epub 2011 Jul 20.
3
Distribution of estrogen receptor alpha and progesterone receptor, and leukocyte infiltration in the cervix of cyclic bitches and those with pyometra.
雌激素受体 α 和孕激素受体在发情期母犬和脓性子宫蓄脓母犬子宫颈中的分布及白细胞浸润情况。
Theriogenology. 2011 Apr 1;75(6):979-87. doi: 10.1016/j.theriogenology.2010.11.004. Epub 2010 Dec 31.
4
Expression of prostaglandin E₂ receptor subtypes in the canine lower urinary tract varies according to the gonadal status and gender.前列腺素 E₂ 受体亚型在犬下尿路的表达根据性腺状态和性别而变化。
Theriogenology. 2010 Nov;74(8):1450-66. doi: 10.1016/j.theriogenology.2010.06.017. Epub 2010 Aug 21.
5
The mRNA expression of prostaglandin E receptors EP2 and EP4 and the changes in glycosaminoglycans in the sheep cervix during the estrous cycle.发情周期中绵羊子宫颈中前列腺素E受体EP2和EP4的mRNA表达及糖胺聚糖的变化
Theriogenology. 2009 Jul 15;72(2):251-61. doi: 10.1016/j.theriogenology.2009.02.018. Epub 2009 Apr 9.
6
Regulation of the prostaglandin enzymatic system by estradiol and progesterone in nonpregnant sheep cervix.非妊娠绵羊子宫颈中雌二醇和孕酮对前列腺素酶系统的调节
Reproduction. 2007 May;133(5):1027-34. doi: 10.1530/REP-06-0328.
7
Increased expression of syndecan-1 protects against cardiac dilatation and dysfunction after myocardial infarction.Syndecan-1表达增加可预防心肌梗死后心脏扩张和功能障碍。
Circulation. 2007 Jan 30;115(4):475-82. doi: 10.1161/CIRCULATIONAHA.106.644609. Epub 2007 Jan 22.
8
The expression of prostaglandin endoperoxide synthase 2 messenger RNA and the proportion of smooth muscle and collagen in the sheep cervix during the estrous cycle.发情周期中绵羊子宫颈前列腺素内过氧化物合酶2信使核糖核酸的表达及平滑肌与胶原蛋白的比例
Biol Reprod. 2007 Jan;76(1):124-9. doi: 10.1095/biolreprod.106.054049. Epub 2006 Sep 13.
9
Cyclic mechanical stretch augments hyaluronan production in cultured human uterine cervical fibroblast cells.周期性机械拉伸可增强培养的人子宫颈成纤维细胞中透明质酸的产生。
Mol Hum Reprod. 2005 Sep;11(9):659-65. doi: 10.1093/molehr/gah229. Epub 2005 Sep 30.
10
Effects of selective and nonselective PGE2 receptor agonists on cervical tensile strength and collagen organization and microstructure in the pregnant rat at term.选择性和非选择性前列腺素E2受体激动剂对足月妊娠大鼠宫颈抗张强度、胶原组织及微观结构的影响。
Am J Obstet Gynecol. 2005 Mar;192(3):753-60. doi: 10.1016/j.ajog.2004.12.054.