Suppr超能文献

A case of metastatic adrenocortical carcinoma diagnosed with steroidogenic factor-1 in a sprague-dawley rat.

作者信息

Takai Yuichi, Sano Tomoya, Watanabe Takeshi, Fukuda Ryo

机构信息

Drug Safety Research Laboratories, Takeda Pharmaceutical Company Limited, 26-1 Muraoka-Higashi 2-Chome, Fujisawa, Kanagawa 251-8555, Japan.

出版信息

J Toxicol Pathol. 2013 Sep;26(3):319-23. doi: 10.1293/tox.26.319. Epub 2013 Oct 15.

Abstract

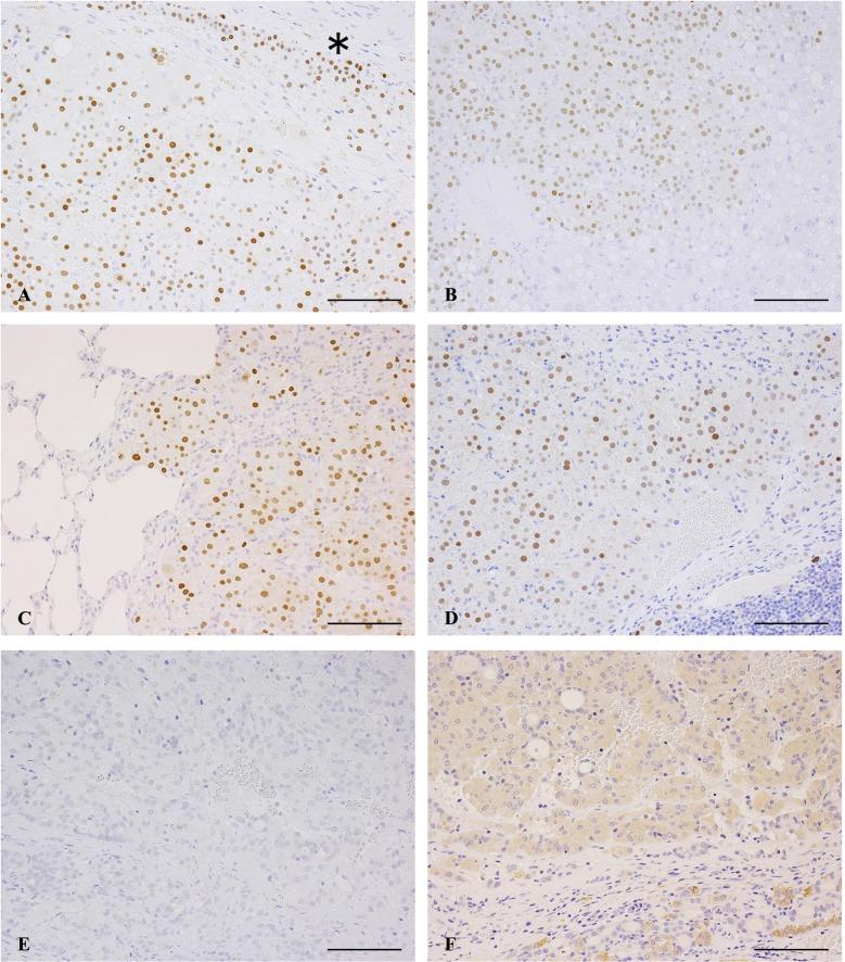
This report describes the morphological and immunohistochemical characteristics of an adrenocortical carcinoma with distant metastasis in a Sprague-Dawley rat. Macroscopically, a single large mass was observed in the adrenal gland, and multiple nodules were noted in the lung, liver and thyroid. Histologically, the adrenal tumor consisted of a solid growth of eosinophilic round cells with nuclear atypia. Vascular invasion was present, and multiple metastatic lesions were also observed in the lungs, liver, and mediastinal lymph nodes. Immunohistochemically, the nuclei of these tumor cells were positive for Steroidogenic Factor-1 (SF-1). In the thyroid, tumor cells histologically resembling adrenal cells were immunohistochemically negative for SF-1 but positive for calcitonin; thus the lesion was diagnosed as thyroid C-cell carcinoma. From these results, the present case was diagnosed as adrenocortical carcinoma with distant metastases. SF-1 could be a valuable marker for the differential diagnosis of adrenocortical tumors versus other endocrine tumors such as C-cell carcinoma.

摘要
https://cdn.ncbi.nlm.nih.gov/pmc/blobs/f7c3/3787611/995fb4dc52fc/tox-26-319-g001.jpg

文献AI研究员

20分钟写一篇综述,助力文献阅读效率提升50倍。

立即体验

用中文搜PubMed

大模型驱动的PubMed中文搜索引擎

马上搜索

文档翻译

学术文献翻译模型,支持多种主流文档格式。

立即体验