Suppr超能文献

Spontaneous ameloblastic fibroma in a young Guinea pig.

作者信息

Tanaka Makoto, Sawamoto Osamu

机构信息

Research Promotion Laboratory, Research and Development Center, Otsuka Pharmaceutical Factory, Inc., 115 Kuguhara, Tateiwa, Muya-cho, Naruto, Tokushima 772-8601, Japan.

出版信息

J Toxicol Pathol. 2013 Sep;26(3):325-8. doi: 10.1293/tox.26.325. Epub 2013 Oct 15.

Abstract

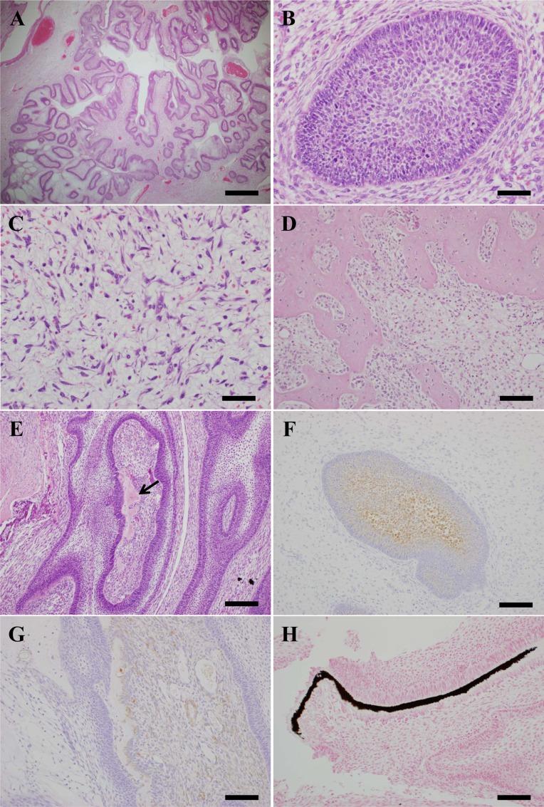
A spontaneous ameloblastic fibroma was found in a 9-week-old guinea pig. Histopathologically, neoplastic cells consisted of two components: an odontogenic epithelium and odontogenic mesenchyme. The odontogenic epithelium formed strands, nests and islands that were interspersed within the odontogenic mesenchyme. In the marginal region, odontoblasts and scant dysplastic eosinophilic material were seen between these two components. Immunohistochemically, the odontogenic epithelium was positive for cytokeratin AE1/AE3, and the odontogenic mesenchyme and odontoblast were positive for vimentin, in the same manner as in the normal tooth germ (control). We could not obtain conclusive data suggesting that the eosinophilic material was dental hard tissue because the eosinophilic material was not stained specifically by any methods. Based on these histological characteristics, the tumor in the present case was diagnosed as an ameloblastic fibroma. This is the first report of ameloblastic fibroma in guinea pigs.

摘要
https://cdn.ncbi.nlm.nih.gov/pmc/blobs/f20c/3787612/a9448a30a13f/tox-26-325-g001.jpg

文献AI研究员

20分钟写一篇综述,助力文献阅读效率提升50倍。

立即体验

用中文搜PubMed

大模型驱动的PubMed中文搜索引擎

马上搜索

文档翻译

学术文献翻译模型,支持多种主流文档格式。

立即体验