Suppr超能文献

年轻患者下颌前部单房性透射区:一项10年回顾性研究。

Unilocular radiolucencies of anterior mandible in young patients: A 10 year retrospective study.

作者信息

Mohanty Sujata, Gulati Ujjwal, Mediratta Akshat, Ghosh Sujoy

机构信息

Department of Oral and Maxillofacial Surgery, Maulana Azad Institute of Dental Sciences, New Delhi, India.

出版信息

Natl J Maxillofac Surg. 2013 Jan;4(1):66-72. doi: 10.4103/0975-5950.117885.

Abstract

INTRODUCTION

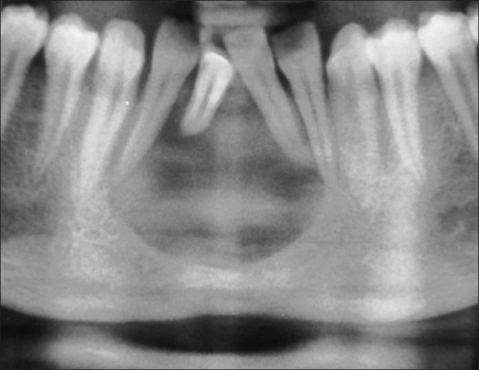
Mandibular anterior region is an uncommon site for occurrence of intrabony pathologies. Unilocular presentation of a lesion is again less common than multilocular appearance. Demographically, most lesions occur in middle to elderly age group. The study is designed to review the pathologies manifesting a combination of these rare demographic and radiological criteria.

MATERIALS AND METHODS

A retrospective analysis of patients with anterior unilocular radiolucencies of mandible in young patients was done. Records of past 10 years were searched. There were a total of 17 patients. Their clinical history and radiographs were reviewed from the case files and correlated with histopathological examination of the lesion.

RESULTS

Nine different pathologies constituted the sample size of 17. A wide array of lesions was found to manifest similar signs and symptoms and radiographic findings namely ameloblastoma (three), adenomatoid odontogenic tumor (AOT, four), odontogenic keratocyst (OKC, three), ossifying fibroma (OF, two), idiopathic bone cavity (IBC, one), dentigerous cyst (DC, one), radicular cyst (RC, one), central giant cell granuloma (CGCG, one), and calcifying odontogenic cyst (COC, one).

CONCLUSION

Anterior mandible is a rare site for occurrence of intrabony pathologies. Majority of patients are females. Lesions acquire large size before they are detected. Growth occurs more in length than in width. Root resorption is not uncommon and root displacement is almost a consistent feature.

摘要

引言

下颌前部区域是骨内病变发生的罕见部位。病变呈单房表现又比多房表现少见。从人口统计学角度来看,大多数病变发生在中老年年龄组。本研究旨在回顾表现出这些罕见人口统计学和放射学标准组合的病变情况。

材料与方法

对年轻患者下颌前部单房性透射区的病例进行回顾性分析。检索过去10年的记录。共有17例患者。从病例档案中查阅他们的临床病史和X光片,并与病变的组织病理学检查结果进行关联。

结果

9种不同病变构成了这17例的样本量。发现一系列病变表现出相似的体征、症状和影像学表现,即成釉细胞瘤(3例)、腺样牙源性肿瘤(AOT,4例)、牙源性角化囊肿(OKC,3例)、骨化性纤维瘤(OF,2例)、特发性骨腔(IBC,1例)、含牙囊肿(DC,1例)、根端囊肿(RC,1例)、中央巨细胞肉芽肿(CGCG,1例)和钙化牙源性囊肿(COC,1例)。

结论

下颌前部是骨内病变发生的罕见部位。大多数患者为女性。病变在被发现之前已长得很大。其生长主要是长度增加而非宽度增加。牙根吸收并不少见,牙根移位几乎是一个一致的特征。

https://cdn.ncbi.nlm.nih.gov/pmc/blobs/ea48/3800387/6e4e6d7c5417/NJMS-4-66-g003.jpg

相似文献

1
Unilocular radiolucencies of anterior mandible in young patients: A 10 year retrospective study.
Natl J Maxillofac Surg. 2013 Jan;4(1):66-72. doi: 10.4103/0975-5950.117885.
2
Unusual Imaging Features of Dentigerous Cyst: A Case Report.
Dent J (Basel). 2019 Aug 1;7(3):76. doi: 10.3390/dj7030076.
3
Hybrid odontogenic lesions: A case series of a rare entity.
Heliyon. 2023 May 13;9(5):e16221. doi: 10.1016/j.heliyon.2023.e16221. eCollection 2023 May.
4
Adenomatoid odontogenic tumor mimicking a lateral periodontal cyst - A rare case report in the mandible.
J Indian Soc Periodontol. 2020 Sep-Oct;24(5):473-476. doi: 10.4103/jisp.jisp_79_20. Epub 2020 Sep 1.
5
[Imaging analysis of ameloblastoma, odontogenic keratocyst and dentigerous cyst in the maxilla using spiral CT and cone beam CT].
Zhonghua Kou Qiang Yi Xue Za Zhi. 2018 Oct 9;53(10):659-664. doi: 10.3760/cma.j.issn.1002-0098.2018.10.003.
6
Central Giant Cell Granuloma of the Mandible and Maxilla: A Clinicopathological Study of 21 Cases.
Cureus. 2024 Jun 24;16(6):e63043. doi: 10.7759/cureus.63043. eCollection 2024 Jun.
7
Odontogenic keratocyst and ameloblastoma: radiographic evaluation.
Oral Radiol. 2021 Jan;37(1):55-65. doi: 10.1007/s11282-020-00425-2. Epub 2020 Feb 6.
8
Adenomatoid Odontogenic Tumor (AOT) Arising from a Dentigerous Cyst: Literature Review and Report of a Case.
J Maxillofac Oral Surg. 2015 Jun;14(2):393-7. doi: 10.1007/s12663-012-0369-3. Epub 2012 Apr 5.
9
Is odontogenic keratocyst an endodontic enigma? A rare case report of management of odontogenic keratocyst in anterior mandible.
J Oral Maxillofac Pathol. 2020 Feb;24(Suppl 1):S7-S10. doi: 10.4103/jomfp.JOMFP_37_20. Epub 2020 Feb 28.
10
c-Myc oncogene expression in selected odontogenic cysts and tumors: An immunohistochemical study.
J Oral Maxillofac Pathol. 2013 Jan;17(1):51-6. doi: 10.4103/0973-029X.110725.

引用本文的文献

2
Bilocular unicystic ameloblastoma of the mandible in a 9 yr old child - A diagnostic and management dilemma.
Saudi Dent J. 2018 Jul;30(3):250-255. doi: 10.1016/j.sdentj.2018.03.001. Epub 2018 Mar 13.
4
Central odontogenic fibroma of the gingiva: a case report.
Open Dent J. 2015 Jan 6;8:280-8. doi: 10.2174/1874210601408010280. eCollection 2014.

本文引用的文献

1
Ameloblastoma: a multicentric study.
Oral Surg Oral Med Oral Pathol Oral Radiol. 2012 Jun;113(6):782-8. doi: 10.1016/j.oooo.2012.01.011.
2
Ameloblastoma of the jaws: a retrospective analysis of 340 cases in a Malaysian population.
J Oral Maxillofac Surg. 2012 Mar;70(3):608-15. doi: 10.1016/j.joms.2011.02.039. Epub 2011 Jul 2.
3
Adenomatoid odontogenic tumour: review of the literature and an analysis of 33 cases from South Africa.
Int J Oral Maxillofac Surg. 2010 Sep;39(9):843-6. doi: 10.1016/j.ijom.2010.06.014. Epub 2010 Jul 16.
4
Benign fibro-osseous lesions of the craniofacial complex. A review.
Head Neck Pathol. 2008 Sep;2(3):177-202. doi: 10.1007/s12105-008-0057-2. Epub 2008 May 13.
5
A ROENTGENOGRAPHIC STUDY OF DENTIGEROUS CYSTS. 3. ANALYSIS OF 180 CASES.
Oral Surg Oral Med Oral Pathol. 1964 Oct;18:466-73. doi: 10.1016/0030-4220(64)90392-5.
6
Radiological and clinical features of calcifying epithelial odontogenic tumour.
Dentomaxillofac Radiol. 2001 Jan;30(1):22-8. doi: 10.1038/sj/dmfr/4600566.
7
Adenomatoid odontogenic tumour: facts and figures.
Oral Oncol. 1999 Mar;35(2):125-31. doi: 10.1016/s1368-8375(98)00111-0.
8
Ameloblastoma: biological profile of 3677 cases.
Eur J Cancer B Oral Oncol. 1995 Mar;31B(2):86-99. doi: 10.1016/0964-1955(94)00037-5.
9
Radiologic features, including those seen with computed tomography, of central giant cell granuloma of the jaws.
Oral Surg Oral Med Oral Pathol. 1988 Feb;65(2):255-61. doi: 10.1016/0030-4220(88)90176-4.
10
Ameloblastoma in young persons: a clinicopathologic analysis and etiologic investigation.
Oral Surg Oral Med Oral Pathol. 1989 Jun;67(6):706-15. doi: 10.1016/0030-4220(89)90013-3.

文献AI研究员

20分钟写一篇综述,助力文献阅读效率提升50倍。

立即体验

用中文搜PubMed

大模型驱动的PubMed中文搜索引擎

马上搜索

文档翻译

学术文献翻译模型,支持多种主流文档格式。

立即体验