• 文献检索
  • 文档翻译
  • 深度研究
  • 学术资讯
  • Suppr Zotero 插件Zotero 插件
  • 邀请有礼
  • 套餐&价格
  • 历史记录
应用&插件
Suppr Zotero 插件Zotero 插件浏览器插件Mac 客户端Windows 客户端微信小程序
定价
高级版会员购买积分包购买API积分包
服务
文献检索文档翻译深度研究API 文档MCP 服务
关于我们
关于 Suppr公司介绍联系我们用户协议隐私条款
关注我们

Suppr 超能文献

核心技术专利:CN118964589B侵权必究
粤ICP备2023148730 号-1Suppr @ 2026

文献检索

告别复杂PubMed语法,用中文像聊天一样搜索,搜遍4000万医学文献。AI智能推荐,让科研检索更轻松。

立即免费搜索

文件翻译

保留排版,准确专业,支持PDF/Word/PPT等文件格式,支持 12+语言互译。

免费翻译文档

深度研究

AI帮你快速写综述,25分钟生成高质量综述,智能提取关键信息,辅助科研写作。

立即免费体验

野菊(白花野菊)提取物对 RANKL 诱导的破骨细胞分化的抑制作用。

Inhibitory Effect of Chrysanthemum zawadskii Herbich var. latilobum Kitamura Extract on RANKL-Induced Osteoclast Differentiation.

机构信息

Center for Metabolic Function Regulation (CMFR), Wonkwang University School of Medicine, Iksan 570-749, Republic of Korea ; Department of Oral Microbiology and Immunology, College of Dentistry, Wonkwang University, Iksan 570-749, Republic of Korea.

出版信息

Evid Based Complement Alternat Med. 2013;2013:509482. doi: 10.1155/2013/509482. Epub 2013 Sep 23.

DOI:10.1155/2013/509482
PMID:24174976
原文链接:https://pmc.ncbi.nlm.nih.gov/articles/PMC3794617/
Abstract

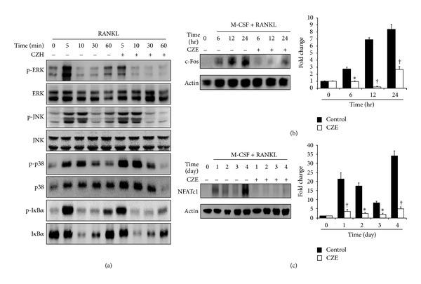
Chrysanthemum zawadskii Herbich var. latilobum Kitamura, known as "Gujulcho" in Korea, has been used in traditional medicine to treat various inflammatory diseases, including rheumatoid arthritis. However, these effects have not been tested on osteoclasts, the bone resorbing cells that regulate bone metabolism. Here, we investigated the effects of C. zawadskii Herbich var. latilobum Kitamura ethanol extract (CZE) on osteoclast differentiation induced by treatment with the receptor activator of NF- κ B ligand (RANKL). CZE inhibited osteoclast differentiation and formation in a dose-dependent manner. The inhibitory effect of CZE on osteoclastogenesis was due to the suppression of ERK activation and the ablation of RANKL-stimulated Ca(2+)-oscillation via the inactivation of PLC γ 2, followed by the inhibition of CREB activation. These inhibitory effects of CZE resulted in a significant repression of c-Fos expression and a subsequent reduction of NFATc1, a key transcription factor for osteoclast differentiation, fusion, and activation in vitro and in vivo. These results indicate that CZE negatively regulates osteoclast differentiation and may be a therapeutic candidate for the treatment of various bone diseases, such as postmenopausal osteoporosis, rheumatoid arthritis, and periodontitis.

摘要

菊苣 Zawadskii Herbich 变种。latilobum 菊苣,在韩国被称为“Gujulcho”,已被用于传统医学治疗各种炎症性疾病,包括类风湿关节炎。然而,这些作用尚未在破骨细胞(调节骨代谢的骨吸收细胞)上进行测试。在这里,我们研究了菊苣 Zawadskii Herbich 变种。Kitamura 乙醇提取物(CZE)对核因子-κB 配体(RANKL)诱导的破骨细胞分化的影响。CZE 以剂量依赖性方式抑制破骨细胞分化和形成。CZE 对破骨细胞生成的抑制作用是由于 ERK 激活的抑制和 PLC γ 2 的失活导致 RANKL 刺激的 Ca(2+)震荡的消融,随后抑制 CREB 激活。CZE 的这些抑制作用导致 c-Fos 表达的显著抑制,随后 NFATc1 的减少,NFATc1 是体外和体内破骨细胞分化、融合和激活的关键转录因子。这些结果表明,CZE 负调节破骨细胞分化,可能是治疗各种骨疾病(如绝经后骨质疏松症、类风湿关节炎和牙周炎)的治疗候选药物。

https://cdn.ncbi.nlm.nih.gov/pmc/blobs/264a/3794617/d60828561007/ECAM2013-509482.006.jpg
https://cdn.ncbi.nlm.nih.gov/pmc/blobs/264a/3794617/df68a6209329/ECAM2013-509482.001.jpg
https://cdn.ncbi.nlm.nih.gov/pmc/blobs/264a/3794617/59c87777fc6a/ECAM2013-509482.002.jpg
https://cdn.ncbi.nlm.nih.gov/pmc/blobs/264a/3794617/4a32d104c79c/ECAM2013-509482.003.jpg
https://cdn.ncbi.nlm.nih.gov/pmc/blobs/264a/3794617/da310960a8fb/ECAM2013-509482.004.jpg
https://cdn.ncbi.nlm.nih.gov/pmc/blobs/264a/3794617/29250ce5a1c3/ECAM2013-509482.005.jpg
https://cdn.ncbi.nlm.nih.gov/pmc/blobs/264a/3794617/d60828561007/ECAM2013-509482.006.jpg
https://cdn.ncbi.nlm.nih.gov/pmc/blobs/264a/3794617/df68a6209329/ECAM2013-509482.001.jpg
https://cdn.ncbi.nlm.nih.gov/pmc/blobs/264a/3794617/59c87777fc6a/ECAM2013-509482.002.jpg
https://cdn.ncbi.nlm.nih.gov/pmc/blobs/264a/3794617/4a32d104c79c/ECAM2013-509482.003.jpg
https://cdn.ncbi.nlm.nih.gov/pmc/blobs/264a/3794617/da310960a8fb/ECAM2013-509482.004.jpg
https://cdn.ncbi.nlm.nih.gov/pmc/blobs/264a/3794617/29250ce5a1c3/ECAM2013-509482.005.jpg
https://cdn.ncbi.nlm.nih.gov/pmc/blobs/264a/3794617/d60828561007/ECAM2013-509482.006.jpg

相似文献

1
Inhibitory Effect of Chrysanthemum zawadskii Herbich var. latilobum Kitamura Extract on RANKL-Induced Osteoclast Differentiation.野菊(白花野菊)提取物对 RANKL 诱导的破骨细胞分化的抑制作用。
Evid Based Complement Alternat Med. 2013;2013:509482. doi: 10.1155/2013/509482. Epub 2013 Sep 23.
2
Aqueous extract of Chrysanthemum morifolium Ramat. inhibits RANKL-induced osteoclast differentiation by suppressing the c-fos/NFATc1 pathway.菊花水提物通过抑制 c-fos/NFATc1 通路抑制 RANKL 诱导的破骨细胞分化。
Arch Oral Biol. 2021 Feb;122:105029. doi: 10.1016/j.archoralbio.2020.105029. Epub 2020 Dec 31.
3
Pueraria lobate Inhibits RANKL-Mediated Osteoclastogenesis Via Downregulation of CREB/PGC1β/c-Fos/NFATc1 Signaling.野葛抑制 RANKL 介导的破骨细胞分化通过下调 CREB/PGC1β/c-Fos/NFATc1 信号通路。
Am J Chin Med. 2017;45(8):1725-1744. doi: 10.1142/S0192415X17500938. Epub 2017 Nov 9.
4
Inhibitory Effect of Fructus Extracts on the Receptor Activator of NF-κB Ligand-Induced Osteoclastogenesis through Modulation of P38- and Ca-Mediated Nuclear Factor of Activated T-Cells Cytoplasmic 1 Expression.果实提取物通过调节p38和钙介导的活化T细胞核因子胞质1表达对核因子κB受体活化因子配体诱导的破骨细胞生成的抑制作用
J Bone Metab. 2020 Feb;27(1):53-63. doi: 10.11005/jbm.2020.27.1.53. Epub 2020 Feb 29.
5
Inhibition of receptor activator of nuclear factor-κB ligand- or lipopolysaccharide-induced osteoclast formation by conophylline through downregulation of CREB.柯诺菲林通过下调CREB抑制核因子κB受体激活剂配体或脂多糖诱导的破骨细胞形成。
Immunol Lett. 2014 Sep;161(1):31-7. doi: 10.1016/j.imlet.2014.04.006. Epub 2014 May 2.
6
Immunoregulatory properties of a crude extraction fraction rich in polysaccharide from Chrysanthemum zawadskii Herbich var. latilobum and its potential role as a vaccine adjuvant.富含野菊花多糖粗提物的免疫调节特性及其作为疫苗佐剂的潜力。
Int Immunopharmacol. 2021 Jun;95:107513. doi: 10.1016/j.intimp.2021.107513. Epub 2021 Mar 20.
7
Anti-Osteoarthritic Mechanisms of in MIA-Induced Osteoarthritic Rats and Interleukin-1β-Induced SW1353 Human Chondrocytes.在 MIA 诱导的骨关节炎大鼠和白细胞介素 1β诱导的 SW1353 人软骨细胞中抗骨关节炎的作用机制。
Medicina (Kaunas). 2020 Dec 10;56(12):685. doi: 10.3390/medicina56120685.
8
Inhibition of RANKL-induced osteoclastogenesis by (-)-DHMEQ, a novel NF-kappaB inhibitor, through downregulation of NFATc1.新型NF-κB抑制剂(-)-DHMEQ通过下调NFATc1抑制RANKL诱导的破骨细胞生成。
J Bone Miner Res. 2005 Apr;20(4):653-62. doi: 10.1359/JBMR.041213. Epub 2004 Dec 6.
9
Leonurine hydrochloride inhibits osteoclastogenesis and prevents osteoporosis associated with estrogen deficiency by inhibiting the NF-κB and PI3K/Akt signaling pathways.盐酸益母草碱通过抑制NF-κB和PI3K/Akt信号通路来抑制破骨细胞生成,并预防与雌激素缺乏相关的骨质疏松症。
Bone. 2015 Jun;75:128-37. doi: 10.1016/j.bone.2015.02.017. Epub 2015 Feb 21.
10
NF-kappaB p50 and p52 regulate receptor activator of NF-kappaB ligand (RANKL) and tumor necrosis factor-induced osteoclast precursor differentiation by activating c-Fos and NFATc1.核因子-κB p50和p52通过激活c-Fos和活化T细胞核因子c1(NFATc1)来调节核因子-κB受体激活剂配体(RANKL)和肿瘤坏死因子诱导的破骨细胞前体分化。
J Biol Chem. 2007 Jun 22;282(25):18245-18253. doi: 10.1074/jbc.M610701200. Epub 2007 May 7.

引用本文的文献

1
Chrysanthemum zawadskii ethanol extract inhibits the replication of alpha-coronavirus and beta-coronavirus.朝鲜菊乙醇提取物可抑制甲型冠状病毒和乙型冠状病毒的复制。
PLoS One. 2025 Jun 18;20(6):e0326225. doi: 10.1371/journal.pone.0326225. eCollection 2025.
2
Ethanol extract of inhibits the NLRP3 inflammasome by suppressing ASC oligomerization in macrophages.[提取物名称]的乙醇提取物通过抑制巨噬细胞中ASC的寡聚化来抑制NLRP3炎性小体。
Exp Ther Med. 2023 Feb 7;25(3):128. doi: 10.3892/etm.2023.11827. eCollection 2023 Mar.
3
Inhibitory Effect of Fructus Extracts on the Receptor Activator of NF-κB Ligand-Induced Osteoclastogenesis through Modulation of P38- and Ca-Mediated Nuclear Factor of Activated T-Cells Cytoplasmic 1 Expression.

本文引用的文献

1
Tmem64 modulates calcium signaling during RANKL-mediated osteoclast differentiation.TMEM64 调节 RANKL 介导体细胞分化过程中的钙信号。
Cell Metab. 2013 Feb 5;17(2):249-60. doi: 10.1016/j.cmet.2013.01.002.
2
Gene disruption of the calcium channel Orai1 results in inhibition of osteoclast and osteoblast differentiation and impairs skeletal development.钙通道 Orai1 的基因敲除导致破骨细胞和骨细胞分化抑制,并损害骨骼发育。
Lab Invest. 2012 Jul;92(7):1071-83. doi: 10.1038/labinvest.2012.72. Epub 2012 Apr 30.
3
Linarin isolated from Buddleja officinalis prevents hydrogen peroxide-induced dysfunction in osteoblastic MC3T3-E1 cells.
果实提取物通过调节p38和钙介导的活化T细胞核因子胞质1表达对核因子κB受体活化因子配体诱导的破骨细胞生成的抑制作用
J Bone Metab. 2020 Feb;27(1):53-63. doi: 10.11005/jbm.2020.27.1.53. Epub 2020 Feb 29.
4
Extracts of Chrysanthemum zawadskii attenuate oxidative damage to vascular endothelial cells caused by a highly reducing sugar.朝鲜菊提取物减轻高还原糖对血管内皮细胞的氧化损伤。
Cytotechnology. 2017 Dec;69(6):915-924. doi: 10.1007/s10616-017-0110-7. Epub 2017 Jun 12.
5
Lysosomal Ca Signaling is Essential for Osteoclastogenesis and Bone Remodeling.溶酶体钙信号传导对破骨细胞生成和骨重塑至关重要。
J Bone Miner Res. 2017 Feb;32(2):385-396. doi: 10.1002/jbmr.2986. Epub 2016 Sep 26.
6
Dual Effect of Chrysanthemum indicum Extract to Stimulate Osteoblast Differentiation and Inhibit Osteoclast Formation and Resorption In Vitro.野菊花提取物体外促进成骨细胞分化和抑制破骨细胞形成及吸收的双重作用。
Evid Based Complement Alternat Med. 2014;2014:176049. doi: 10.1155/2014/176049. Epub 2014 Oct 28.
7
Glechoma hederacea Suppresses RANKL-mediated Osteoclastogenesis.连钱草抑制RANKL介导的破骨细胞生成。
J Dent Res. 2014 Jul;93(7):685-90. doi: 10.1177/0022034514536579. Epub 2014 May 21.
从梓醇中分离出来的梓醇可防止过氧化氢诱导的成骨细胞 MC3T3-E1 功能障碍。
Cell Immunol. 2011;268(2):112-6. doi: 10.1016/j.cellimm.2011.02.002. Epub 2011 Feb 19.
4
Anti-inflammatory/Anti-oxidative stress activities and differential regulation of Nrf2-mediated genes by non-polar fractions of tea Chrysanthemum zawadskii and licorice Glycyrrhiza uralensis.茶菊和甘草非极性部位的抗炎/抗氧化应激活性及对 Nrf2 介导基因的差异调控。
AAPS J. 2011 Mar;13(1):1-13. doi: 10.1208/s12248-010-9239-4. Epub 2010 Oct 22.
5
Protection by Chrysanthemum zawadskii extract from liver damage of mice caused by carbon tetrachloride is maybe mediated by modulation of QR activity.甘菊提取物对四氯化碳致小鼠肝损伤的保护作用可能是通过调节 QR 活性来实现的。
Nutr Res Pract. 2010 Apr;4(2):93-8. doi: 10.4162/nrp.2010.4.2.93. Epub 2010 Apr 28.
6
Ca2+-NFATc1 signaling is an essential axis of osteoclast differentiation.钙离子-NFATc1信号传导是破骨细胞分化的关键轴。
Immunol Rev. 2009 Sep;231(1):241-56. doi: 10.1111/j.1600-065X.2009.00821.x.
7
Osteoimmunology in rheumatic diseases.风湿性疾病中的骨免疫学
Arthritis Res Ther. 2009;11(1):210. doi: 10.1186/ar2571. Epub 2009 Jan 30.
8
TRPV4-mediated calcium influx regulates terminal differentiation of osteoclasts.瞬时受体电位香草酸亚型4(TRPV4)介导的钙内流调节破骨细胞的终末分化。
Cell Metab. 2008 Sep;8(3):257-65. doi: 10.1016/j.cmet.2008.08.002.
9
Osteoblasts induce Ca2+ oscillation-independent NFATc1 activation during osteoclastogenesis.成骨细胞在破骨细胞生成过程中诱导不依赖Ca2+振荡的NFATc1激活。
Proc Natl Acad Sci U S A. 2008 Jun 24;105(25):8643-8. doi: 10.1073/pnas.0800642105. Epub 2008 Jun 13.
10
Osteoimmunology: interactions of the bone and immune system.骨免疫学:骨骼与免疫系统的相互作用
Endocr Rev. 2008 Jun;29(4):403-40. doi: 10.1210/er.2007-0038. Epub 2008 May 1.