Suppr超能文献

酷似高血压性脑出血的胶质瘤。

Glioma mimicking a hypertensive intracerebral hemorrhage.

作者信息

Choi Go, Park Dong-Hyuk, Kang Shin-Hyuk, Chung Yong-Gu

机构信息

Department of Neurosurgery, Korea University Medical Center, Korea University College of Medicine, Seoul, Korea.

出版信息

J Korean Neurosurg Soc. 2013 Aug;54(2):125-7. doi: 10.3340/jkns.2013.54.2.125. Epub 2013 Aug 31.

Abstract

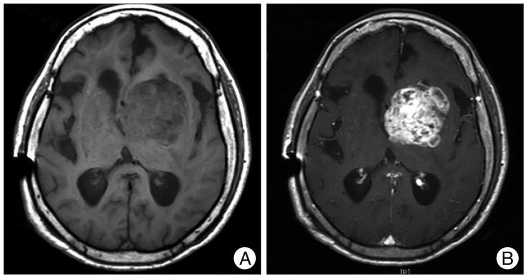
Here, we report a rare case of an anaplastic astrocytoma masquerading as a hypertensive basal ganglia hemorrhage. A 69-year-old woman who had been under medical management for hypertension during the past 3 years suddenly developed right hemiparesis with dysarthria. Brain computed tomography (CT) scans with contrast and CT angiograms revealed an intracerebral hemorrhage (ICH) in the left basal ganglia, without an underlying lesion. She was treated conservatively, but underwent a ventriculoperitoneal shunt operation 3 months after the initial attack due to deteriorated mental status and chronic hydrocephalus. Three months later, her mental status deteriorated further. Magnetic resonance imaging (MRI) with gadolinium demonstrated an irregular enhanced mass in which the previous hemorrhage occurred. The final histological diagnosis which made by stereotactic biopsy was an anaplastic astrocytoma. In the present case, the diagnosis of a high grade glioma was delayed due to tumor bleeding mimicking hypertensive ICH. Thus, a careful review of neuroradiological images including MRI with a suspicion of tumor bleeding is needed even in the patients with past medical history of hypertension.

摘要

在此,我们报告一例罕见的间变性星形细胞瘤,其临床表现类似高血压性基底节出血。一名69岁女性,在过去3年中一直接受高血压治疗,突然出现右侧偏瘫伴构音障碍。增强脑计算机断层扫描(CT)和CT血管造影显示左侧基底节区脑出血(ICH),无潜在病变。她接受了保守治疗,但在初次发病3个月后,由于精神状态恶化和慢性脑积水,接受了脑室腹腔分流手术。3个月后,她的精神状态进一步恶化。钆增强磁共振成像(MRI)显示在先前出血部位有一个不规则强化肿块。立体定向活检的最终组织学诊断为间变性星形细胞瘤。在本病例中,由于肿瘤出血酷似高血压性ICH,高级别胶质瘤的诊断被延迟。因此,即使是有高血压病史的患者,也需要仔细复查包括MRI在内的神经放射影像,以怀疑肿瘤出血。

https://cdn.ncbi.nlm.nih.gov/pmc/blobs/7eed/3809438/c3056801492f/jkns-54-125-g001.jpg

文献AI研究员

20分钟写一篇综述,助力文献阅读效率提升50倍。

立即体验

用中文搜PubMed

大模型驱动的PubMed中文搜索引擎

马上搜索

文档翻译

学术文献翻译模型,支持多种主流文档格式。

立即体验