Suppr超能文献

Effect of overexpression of glucose-regulated protein 78 and bcl-2 on recurrence and survival in patients with ureter tumors.

作者信息

Park Chang Hyun, Choi Mi Sun, Ha Ji Yong, Kim Byung Hoon, Park Choal Hee, Kim Chun Il

机构信息

Department of Urology, Keimyung University School of Medicine, Daegu, Korea.

出版信息

Korean J Urol. 2013 Oct;54(10):671-6. doi: 10.4111/kju.2013.54.10.671. Epub 2013 Oct 15.

Abstract

PURPOSE

The utility of the expression of glucose-regulated protein 78 (GRP78) in the evaluation of prognosis depends on the type of tumor. Hence, we aimed to examine the impact of expression of GRP78 and Bcl-2, which are used in the existing prognostic evaluation of ureter tumors, in the evaluation of recurrence and survival rates of ureter tumors.

MATERIALS AND METHODS

In 53 patients who had undergone radical nephroureterectomy for a ureter tumor from March 2002 to March 2012, age, sex, T stage, nuclear grade, bladder recurrence, and survival rate were analyzed at the time of the patient's surgery depending on the extent of immunohistochemical expression of GRP78 and Bcl-2.

RESULTS

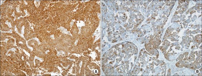
GRP78 was overexpressed in 25 patients (47.2%). When GRP78 was overexpressed, there was a high T stage (p=0.001) and nuclear grade (p=0.007) and a lot of bladder recurrence (40.0%, p=0.034). Bcl-2 was overexpressed in 16 patients (30.1%), and there were no significant associations with any risk factors (p>0.05, respectively). In the multivariate analysis regarding bladder recurrence, the recurrence rate was higher with higher pT stage (p=0.048) and when GRP78 (p=0.033) was overexpressed. In the Kaplan-Meier survival analysis, although the survival rate was significantly lower in the group in which GRP78 was overexpressed (p=0.03), there was no correlation between Bcl-2 overexpression and survival rate (p=0.07).

CONCLUSIONS

Patients with ureter tumors who had overexpression of GRP78 had a high T stage and nuclear grade, a lot of bladder recurrence, and a low survival rate. Therefore, if GRP78 is overexpressed in ureter tumor patients, active postoperative follow-up should be carried out.

摘要
https://cdn.ncbi.nlm.nih.gov/pmc/blobs/87e5/3806990/a4e0113356e0/kju-54-671-g001.jpg

相似文献

1
Effect of overexpression of glucose-regulated protein 78 and bcl-2 on recurrence and survival in patients with ureter tumors.
Korean J Urol. 2013 Oct;54(10):671-6. doi: 10.4111/kju.2013.54.10.671. Epub 2013 Oct 15.
2
Primary urothelial carcinoma of the ureter: 11-year experience in Taipei Veterans General Hospital.
J Chin Med Assoc. 2005 Nov;68(11):522-30. doi: 10.1016/S1726-4901(09)70087-5.
5
Prognostic significance of non-muscle-invasive bladder tumor history in patients with upper urinary tract urothelial carcinoma.
Urol Oncol. 2013 Nov;31(8):1615-20. doi: 10.1016/j.urolonc.2012.03.004. Epub 2012 Apr 21.
8
The prognostic predictors of primary ureteral transitional cell carcinoma after radical nephroureterectomy.
J Urol. 2009 Aug;182(2):451-8; discussion 458. doi: 10.1016/j.juro.2009.04.026. Epub 2009 Jun 13.
10
Expression of bcl-2 and bcl-X in bladder cancer.
J Urol. 1998 Apr;159(4):1348-53.

本文引用的文献

3
GRP78 promoter polymorphism rs391957 as potential predictor for clinical outcome in gastric and colorectal cancer patients.
Ann Oncol. 2011 Nov;22(11):2431-2439. doi: 10.1093/annonc/mdq771. Epub 2011 Mar 7.
4
Glucose-regulated protein 78 expression in urothelial carcinoma of the upper urinary tract.
BJU Int. 2010 Sep;106(6):873-8. doi: 10.1111/j.1464-410X.2009.09144.x. Epub 2009 Dec 18.
7
Glucose-regulated protein GRP78 is up-regulated in prostate cancer and correlates with recurrence and survival.
Hum Pathol. 2007 Oct;38(10):1547-52. doi: 10.1016/j.humpath.2007.03.014. Epub 2007 Jul 19.
8
GRP78 induction in cancer: therapeutic and prognostic implications.
Cancer Res. 2007 Apr 15;67(8):3496-9. doi: 10.1158/0008-5472.CAN-07-0325.
9
Expression of stress response protein Grp78 is associated with the development of castration-resistant prostate cancer.
Clin Cancer Res. 2006 Oct 15;12(20 Pt 1):5987-93. doi: 10.1158/1078-0432.CCR-06-0133.
10
Overexpression of glucose-regulated protein 78 in colon cancer.
Clin Chim Acta. 2006 Feb;364(1-2):308-15. doi: 10.1016/j.cca.2005.07.016. Epub 2005 Sep 21.

文献AI研究员

20分钟写一篇综述,助力文献阅读效率提升50倍。

立即体验

用中文搜PubMed

大模型驱动的PubMed中文搜索引擎

马上搜索

文档翻译

学术文献翻译模型,支持多种主流文档格式。

立即体验