Suppr超能文献

成人巨细胞血管母细胞瘤:一种独特的表现。

Giant cell angioblastoma in an adult: a unique presentation.

作者信息

Crivelli-Ochsner Susanna, Bode-Lesniewska Beata, Nussbaumer-Ochsner Yvonne, Fuchs Bruno

机构信息

Department of Medical Oncology, Cantonal Hospital of Winterthur , Winterthur.

出版信息

Rare Tumors. 2013 Jul 1;5(3):e27. doi: 10.4081/rt.2013.e27. eCollection 2013.

Abstract

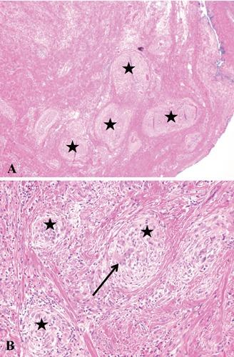
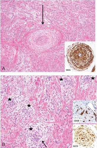
Giant cell angioblastoma is a very rare, locally destructive vascular tumor of intermediate malignancy without metastatic potential. There are only a few cases reported in the literature exclusively in the soft tissue of children. For the first time, we report on an adult patient with a giant cell angioblastoma in the popliteal fossa. The therapy included tumor resection with favorable clinical, oncological and functional outcome. Due to its locally destructive nature, surgery remains the mainstay of treatment. Histologically, giant cell angioblastoma is comprised of nodular aggregates of histiocytoid cells arranged around bland angiomatous spaces. Because of insufficient available data in regard to the definition of the entity, diagnostic criteria and its biological potential, it is not included in the new World Health Organization classification of tumors of soft tissue and bone. The differential diagnosis includes plexiform fibrohistiocytic tumor, myofibroma and giant cell fibroblastoma.

摘要

巨细胞血管母细胞瘤是一种非常罕见的、具有局部侵袭性的中间型恶性血管肿瘤,无转移潜能。文献中仅有少数病例报道,且均仅发生于儿童软组织。我们首次报道了一名成人腘窝部巨细胞血管母细胞瘤患者。治疗方法为肿瘤切除,获得了良好的临床、肿瘤学及功能预后。鉴于其局部侵袭性本质,手术仍是主要治疗手段。组织学上,巨细胞血管母细胞瘤由围绕无细胞血管腔隙排列的组织细胞样细胞结节状聚集构成。由于关于该实体的定义、诊断标准及其生物学潜能的可用数据不足,它未被纳入世界卫生组织软组织和骨肿瘤新分类中。鉴别诊断包括丛状纤维组织细胞瘤、肌纤维瘤和巨细胞成纤维细胞瘤。

https://cdn.ncbi.nlm.nih.gov/pmc/blobs/aa08/3804802/49075d4dab30/rt-2013-3-e27-g001.jpg

文献AI研究员

20分钟写一篇综述,助力文献阅读效率提升50倍。

立即体验

用中文搜PubMed

大模型驱动的PubMed中文搜索引擎

马上搜索

文档翻译

学术文献翻译模型,支持多种主流文档格式。

立即体验