University of Liege, Institute of Botany, B22, Genetics of Microorganisms, 4000 Liege, Belgium.
J Exp Bot. 2014 Jan;65(1):23-33. doi: 10.1093/jxb/ert339. Epub 2013 Nov 1.
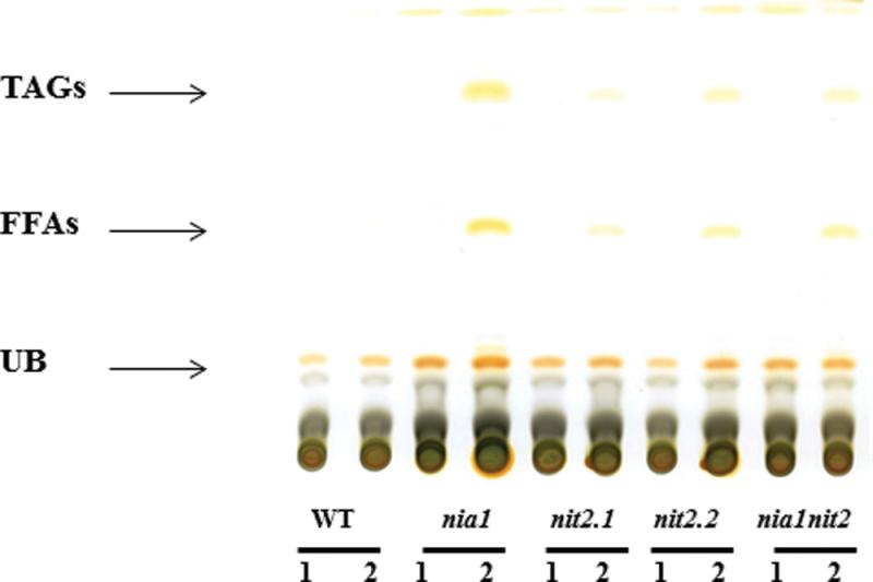
Microalgae are receiving increasing attention as alternative production systems for renewable energy such as biofuel. The photosynthetic alga Chlamydomonas reinhardtii is widely recognized as the model system to study all aspects of algal physiology, including the molecular mechanisms underlying the accumulation of starch and triacylglycerol (TAG), which are the precursors of biofuel. All of these pathways not only require a carbon (C) supply but also are strongly dependent on a source of nitrogen (N) to sustain optimal growth rate and biomass production. In order to gain a better understanding of the regulation of C and N metabolisms and the accumulation of storage carbohydrates, the effect of different N sources (NH4NO3 and ) on primary metabolism using various mutants impaired in either NIA1, NIT2 or both loci was performed by metabolic analyses. The data demonstrated that, using NH4NO3, nia1 strain displayed the most striking phenotype, including an inhibition of growth, accumulation of intracellular nitrate, and strong starch and TAG accumulation. The measurements of the different C and N intermediate levels (amino, organic, and fatty acids), together with the determination of acetate and remaining in the medium, clearly excluded the hypothesis of a slower and acetate assimilation in this mutant in the presence of NH4NO3. The results provide evidence of the implication of intracellular nitrate and NIT2 in the control of C partitioning into different storage carbohydrates under mixotrophic conditions in Chlamydomonas. The underlying mechanisms and implications for strategies to increase biomass yield and storage product composition in oleaginous algae are discussed.
微藻作为可再生能源(如生物燃料)的替代生产系统,正受到越来越多的关注。光合藻类莱茵衣藻被广泛认为是研究藻类生理学各个方面的模式系统,包括淀粉和三酰基甘油(TAG)积累的分子机制,这是生物燃料的前体。所有这些途径不仅需要碳(C)供应,而且强烈依赖氮(N)源来维持最佳生长速率和生物量生产。为了更好地了解 C 和 N 代谢的调控以及储存碳水化合物的积累,通过代谢分析研究了不同 N 源(NH4NO3 和 )对 NIA1、NIT2 或两个基因座都有缺陷的各种突变体的初级代谢的影响。数据表明,在使用 NH4NO3 的情况下,nia1 菌株表现出最显著的表型,包括生长抑制、细胞内硝酸盐积累以及淀粉和 TAG 的强烈积累。不同 C 和 N 中间产物(氨基酸、有机和脂肪酸)的测量值,以及剩余在培养基中的乙酸盐的测定,明确排除了在存在 NH4NO3 的情况下,该突变体中 C 向不同储存碳水化合物分配的同化速度较慢和乙酸盐同化的假说。结果为在莱茵衣藻的混养条件下,细胞内硝酸盐和 NIT2 在控制 C 分配到不同储存碳水化合物中的作用提供了证据。讨论了增加产油藻类生物量产量和储存产物组成的策略的潜在机制和意义。