Suppr超能文献

结节性硬化症一例的管理挑战

Challenges in the management of a case of tuberous sclerosis.

作者信息

Rathi Anubhav, Bhatia Manjeet Singh, Jhanjee Anurag

机构信息

Department of Psychiatry, University College of Medical Sciences and Guru Teg Bahadur Hospital, Dilshad Garden, New Delhi, India.

出版信息

Ind Psychiatry J. 2012 Jul;21(2):148-51. doi: 10.4103/0972-6748.119635.

Abstract

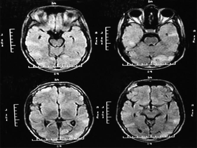
Tuberous sclerosis complex is a multi-system disorder with autosomal dominant inheritance, which can affect the brain, heart, skin, kidneys, lungs, and retina. We hereby report therapeutic challenges faced in a case of an adolescent male suffering from tuberous sclerosis.

摘要

结节性硬化症是一种具有常染色体显性遗传的多系统疾病,可影响大脑、心脏、皮肤、肾脏、肺和视网膜。我们在此报告一名患有结节性硬化症的青少年男性病例所面临的治疗挑战。

https://cdn.ncbi.nlm.nih.gov/pmc/blobs/727e/3830165/306b920ec6ea/IPJ-21-148-g001.jpg

文献AI研究员

20分钟写一篇综述,助力文献阅读效率提升50倍。

立即体验

用中文搜PubMed

大模型驱动的PubMed中文搜索引擎

马上搜索

文档翻译

学术文献翻译模型,支持多种主流文档格式。

立即体验