Suppr超能文献

神经调节蛋白-1 异构体的差异表达和 Erbin 的下调与糖尿病周围神经病变中 Erb B2 受体的激活有关。

Differential expression of neuregulin-1 isoforms and downregulation of erbin are associated with Erb B2 receptor activation in diabetic peripheral neuropathy.

机构信息

Department of Pharmacology and Toxicology, University of Kansas, Lawrence, KS, USA.

出版信息

Acta Neuropathol Commun. 2013 Jul 17;1:39. doi: 10.1186/2051-5960-1-39.

Abstract

BACKGROUND

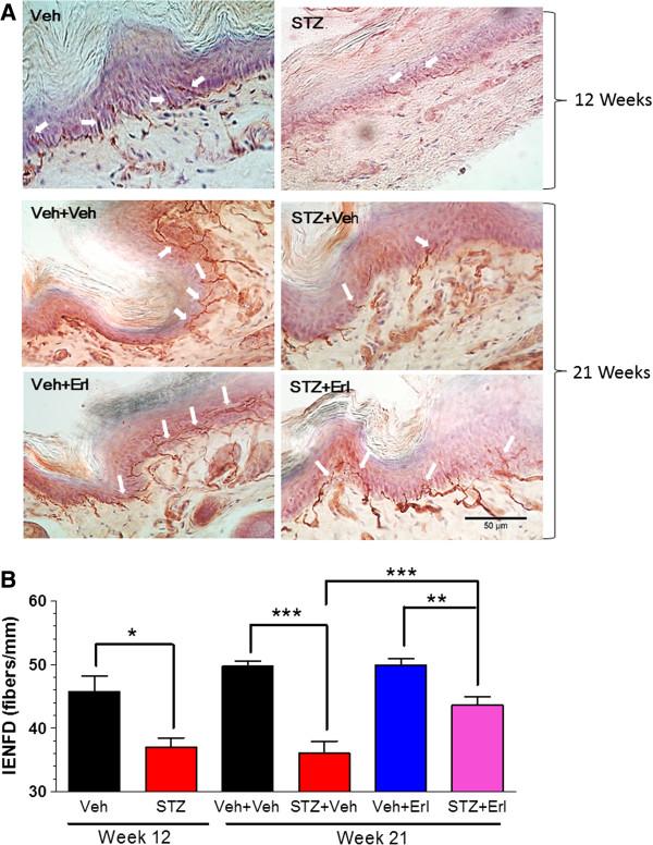
Aberrant neuron/glia interactions can contribute to a variety of neurodegenerative diseases and we have previously demonstrated that enhanced activation of Erb B2, which is a member of the epidermal growth factor receptor (EGFR) family, can contribute to the development of diabetic peripheral neuropathy (DPN). In peripheral nerves, Erb B receptors are activated by various members of the neuregulin-1 (NRG1) family including NRG1 Type I, NRG1 Type II and NRG1 Type III to regulate Schwann cell (SC) growth, migration, differentiation and dedifferentiation. Alternatively, Erb B2 activity can be negatively regulated by association with the Erb B2-interacting protein, erbin. Since the effect of diabetes on the expression of NRG1 isoforms and erbin in peripheral nerve are unknown, the current study determined whether changes in NRG1 isoforms and erbin may be associated with altered Erb B2 signaling in DPN.

RESULTS

Swiss Webster mice were rendered diabetic with streptozotocin (STZ) and after 12 weeks of diabetes, treated with erlotinib, an inhibitor of Erb B2 activation. Inhibition of Erb B2 signaling partially reversed several pathophysiologic aspects of DPN including a pronounced sensory hypoalgesia, nerve conduction velocity deficits and the decrease in epidermal nerve fiber innervation. We also observed a decrease of NRG1 Type III but an increase of NRG1 Type I level in diabetic sural nerves at early stage of diabetes. With disease progression, we detected reduced erbin expression and enhanced MAPK pathway activity in diabetic mice. Inhibition of Erb B2 receptor suppressed MAPK pathway activity in treated-diabetic sural nerves.

CONCLUSIONS

These results support that hyperglycemia may impair NRG1/Erb B2 signaling by disrupting the balance between NRG1 isoforms, decreasing the expression of erbin and correspondingly activating the MAPK pathway. Together, imbalanced NRG1 isoforms and downregulated erbin may contribute to the dysregulation of Erb B2 signaling in the development of DPN.

摘要

背景

神经元/神经胶质异常相互作用可能导致多种神经退行性疾病,我们之前的研究表明,表皮生长因子受体(EGFR)家族成员 Erb B2 的过度激活可导致糖尿病周围神经病变(DPN)的发生。在周围神经中,Erb B 受体被神经调节蛋白-1(NRG1)家族的各种成员激活,包括 NRG1 型 I、NRG1 型 II 和 NRG1 型 III,以调节施万细胞(SC)的生长、迁移、分化和去分化。或者,Erb B2 活性可以通过与 Erb B2 相互作用蛋白 erbin 的结合而受到负调控。由于糖尿病对周围神经中 NRG1 同工型和 erbin 表达的影响尚不清楚,因此本研究旨在确定 NRG1 同工型和 erbin 的变化是否与 DPN 中 Erb B2 信号的改变有关。

结果

链脲佐菌素(STZ)使瑞士 Webster 小鼠发生糖尿病,糖尿病 12 周后,用 Erb B2 激活抑制剂 erlotinib 进行治疗。抑制 Erb B2 信号通路部分逆转了 DPN 的几种病理生理方面,包括明显的感觉性痛觉减退、神经传导速度缺陷以及表皮神经纤维支配的减少。我们还观察到糖尿病大鼠腓肠神经中 NRG1 型 III 的减少和 NRG1 型 I 的增加。随着疾病的进展,我们在糖尿病小鼠中检测到 erbin 表达减少和 MAPK 通路活性增强。Erb B2 受体的抑制抑制了治疗后糖尿病腓肠神经中 MAPK 通路的活性。

结论

这些结果支持高血糖可能通过破坏 NRG1 同工型之间的平衡、降低 erbin 的表达并相应地激活 MAPK 通路来损害 NRG1/Erb B2 信号通路。不平衡的 NRG1 同工型和下调的 erbin 可能导致 DPN 中 Erb B2 信号通路的失调。

https://cdn.ncbi.nlm.nih.gov/pmc/blobs/7e71/3893607/4695ac95ee87/2051-5960-1-39-1.jpg

文献检索

告别复杂PubMed语法,用中文像聊天一样搜索,搜遍4000万医学文献。AI智能推荐,让科研检索更轻松。

立即免费搜索

文件翻译

保留排版,准确专业,支持PDF/Word/PPT等文件格式,支持 12+语言互译。

免费翻译文档

深度研究

AI帮你快速写综述,25分钟生成高质量综述,智能提取关键信息,辅助科研写作。

立即免费体验