Suppr超能文献

甲状旁腺病变的细针穿刺细胞学检查

Fine needle aspiration cytology of parathyroid lesions.

作者信息

Heo Ilyeong, Park Sunhoo, Jung Chang Won, Koh Jae Soo, Lee Seung-Sook, Seol Hyesil, Choi Hee Seung, Cho Soo Youn

机构信息

Department of Pathology, Korea Cancer Center Hospital, Seoul, Korea.

出版信息

Korean J Pathol. 2013 Oct;47(5):466-71. doi: 10.4132/KoreanJPathol.2013.47.5.466. Epub 2013 Oct 25.

Abstract

BACKGROUND

There has been an increase in the use of fine needle aspiration cytology (FNAC) for the diagnosis of parathyroid lesions (PLs). Differentiation between a thyroid lesion and a PL is not easy because of their similar features. We reviewed parathyroid aspirates in our institution and aimed to uncover trends in diagnostic criteria.

METHODS

We selected 25 parathyroid aspirates (from 6 men and 19 women) confirmed surgically or immunohistochemically from 2006 to 2011.

RESULTS

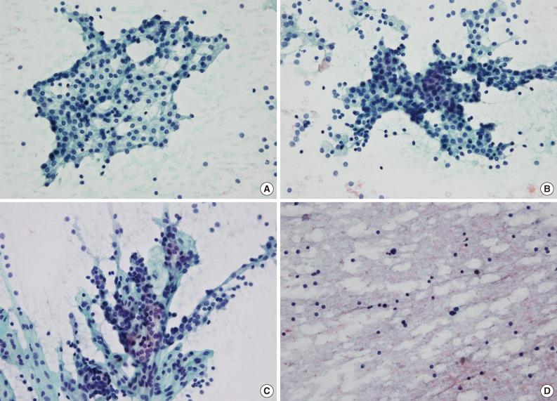
Major architectural findings of PLs include scattered naked nuclei, loose clusters, a papillary pattern with a fibrovascular core, tight clusters, and a follicular pattern. These architectures were commonly admixed with one another. Cytological features included anisokaryosis, stippled chromatin, a well-defined cell border, and oxyphilic cytoplasm. Eighteen of the 25 patients were diagnosed with PL using FNAC. Seven patients had been misdiagnosed with atypical cells (n=2), benign follicular cells (n=2), adenomatous goiter (n=2) and metastatic carcinoma (n=1) in FNAC. Using clinicoradiologic data, the sensitivity of the cytological diagnosis was 86.7%. The cytological sensitivity decreased to 50% without this information.

CONCLUSIONS

FNAC of PL is easily confused with thyroid lesions. A combination of cytological parameters and clinical data will be required to improve the diagnostic sensitivity of PLs.

摘要

背景

细针穿刺抽吸细胞学检查(FNAC)在甲状旁腺病变(PLs)诊断中的应用有所增加。由于甲状腺病变和PLs具有相似特征,因此区分两者并不容易。我们回顾了本机构的甲状旁腺穿刺样本,旨在揭示诊断标准的趋势。

方法

我们选取了2006年至2011年间经手术或免疫组织化学确诊的25份甲状旁腺穿刺样本(来自6名男性和19名女性)。

结果

PLs的主要结构特征包括散在裸核、松散细胞团、具有纤维血管轴心的乳头样结构、紧密细胞团和滤泡样结构。这些结构通常相互混合。细胞学特征包括核大小不等、染色质呈颗粒状、细胞边界清晰以及嗜酸性细胞质。25例患者中有18例通过FNAC诊断为PLs。7例患者在FNAC中被误诊为非典型细胞(n = 2)、良性滤泡细胞(n = 2)、腺瘤样甲状腺肿(n = 2)和转移性癌(n = 1)。利用临床放射学数据,细胞学诊断的敏感性为86.7%。若无此信息,细胞学敏感性降至50%。

结论

PLs的FNAC容易与甲状腺病变混淆。需要结合细胞学参数和临床数据来提高PLs的诊断敏感性。

https://cdn.ncbi.nlm.nih.gov/pmc/blobs/01d2/3830994/1179e271a448/kjpathol-47-466-g001.jpg

文献检索

告别复杂PubMed语法,用中文像聊天一样搜索,搜遍4000万医学文献。AI智能推荐,让科研检索更轻松。

立即免费搜索

文件翻译

保留排版,准确专业,支持PDF/Word/PPT等文件格式,支持 12+语言互译。

免费翻译文档

深度研究

AI帮你快速写综述,25分钟生成高质量综述,智能提取关键信息,辅助科研写作。

立即免费体验