Suppr超能文献

一名携带家族性地中海热(FMF)和肿瘤坏死因子受体1综合征(TRAPS)基因突变的患者发生继发性淀粉样变性。

Secondary amyloidosis in a patient carrying mutations in the familial Mediterranean fever (FMF) and tumour necrosis factor receptor-1 syndrome (TRAPS) genes.

作者信息

Clementi Anna, Cruz Dinna N, Granata Antonio, Virzì Grazia Maria, Battaglia Giorgio

机构信息

Department of Nephrology and Dialysis , San Giovanni Di Dio Hospital , Agrigento , Italy.

Division of Nephrology-Hypertension, Department of Medicine , University of California , San Diego, CA , USA.

出版信息

Clin Kidney J. 2013 Dec;6(6):613-617. doi: 10.1093/ckj/sft112. Epub 2013 Sep 24.

Abstract

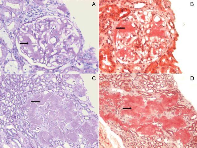
Secondary amyloidosis (AA) is characterized by the extracellular tissue deposition of fibrils composed of fragments of an acute-phase reactant protein, serum amyloid A (SAA), due to chronic inflammatory diseases, infections and several neoplasms. AA amyloidosis may also complicate several hereditary diseases, where genetic factors play a pivotal role in the expression of amyloidosis. Familial Mediterranean fever (FMF) and tumour necrosis factor receptor-1 syndrome (TRAPS) are the most frequently involved. We describe a case of a 21-year-old Romanian woman who presented at the 35th week of gestation with acute abdominal pain, nausea and vomiting. The laboratory workup performed after delivery showed proteinuria in the nephrotic range and increased SAA protein. Kidney amyloid deposits were detected and genetic testing for secondary amyloidosis was performed identifying two mutations, one involving the gene of FMF (MEFV), and the other involving the tumour necrosis factor receptor-1 gene (TNFRSF1A). To our knowledge, this is the first case in the literature where secondary amyloidosis develops in a patient carrying mutations involving the genes of both FMF and TRAPS.

摘要

继发性淀粉样变性(AA)的特征是,由于慢性炎症性疾病、感染和几种肿瘤,由急性期反应蛋白血清淀粉样蛋白A(SAA)片段组成的纤维在细胞外组织沉积。AA淀粉样变性也可能使几种遗传性疾病复杂化,其中遗传因素在淀粉样变性的表达中起关键作用。家族性地中海热(FMF)和肿瘤坏死因子受体-1综合征(TRAPS)是最常涉及的疾病。我们描述了一名21岁罗马尼亚女性的病例,她在妊娠第35周时出现急性腹痛、恶心和呕吐。产后进行的实验室检查显示肾病范围的蛋白尿和SAA蛋白升高。检测到肾脏淀粉样沉积物,并对继发性淀粉样变性进行基因检测,发现两个突变,一个涉及FMF基因(MEFV),另一个涉及肿瘤坏死因子受体-1基因(TNFRSF1A)。据我们所知,这是文献中首例携带FMF和TRAPS基因均有突变的患者发生继发性淀粉样变性的病例。

https://cdn.ncbi.nlm.nih.gov/pmc/blobs/e85e/3842151/834ee4a314b5/sft11201.jpg

文献检索

告别复杂PubMed语法,用中文像聊天一样搜索,搜遍4000万医学文献。AI智能推荐,让科研检索更轻松。

立即免费搜索

文件翻译

保留排版,准确专业,支持PDF/Word/PPT等文件格式,支持 12+语言互译。

免费翻译文档

深度研究

AI帮你快速写综述,25分钟生成高质量综述,智能提取关键信息,辅助科研写作。

立即免费体验