Suppr超能文献

肾小球尖端黏附预测 IgA 肾病的进展。

Glomerular tip adhesions predict the progression of IgA nephropathy.

机构信息

Division of Nephrology and Rheumatology, Department of Internal Medicine, Aichi Medical University School of Medicine, Aichi 480-1195, Japan.

出版信息

BMC Nephrol. 2013 Dec 5;14:272. doi: 10.1186/1471-2369-14-272.

Abstract

BACKGROUND

Focal segmental glomerulosclerosis-like lesions have been proposed to be predictive factors for IgA nephropathy. This single center, retrospective cohort study was designed to clarify which clinical and pathological factors are predictive of decreased estimated glomerular filtration rate (eGFR) at 5 and 10 years in IgA nephropathy patients.

METHODS

Of the 229 patients with IgA nephropathy who were admitted to Aichi Medical University Hospital between 1986 and 2010, 57 were included in this study during the 5 to 10 years after renal biopsy. Clinical, laboratory, and pathological parameters were analyzed by multiple linear regression analysis with backward elimination to determine independent risk factors. After identifying such factors, we compared patients with and without each factor using the Student's t test, Wilcoxon test, or Mann-Whitney U test.

RESULTS

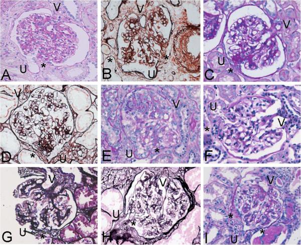
Four variables were identified as predictive factors for progression of IgA nephropathy: initial eGFR (p = 0.0002), glomerular tip adhesion (p = 0.004), global sclerosis (p = 0.019), and diastolic blood pressure (p = 0.024). The annual decrease in eGFR of patients with (n = 9) or without glomerular tip adhesions (n = 48) was 4.13 ± 3.58 and 1.49 ± 2.89 ml/min/1.73 m2, respectively (p = 0.015). Serum total cholesterol levels were 231 ± 45 mg/dl and 196 ± 42 mg/dl, respectively (two-sided p = 0.064; one-sided p = 0.032).

CONCLUSIONS

The presence of glomerular tip adhesions predicts the progression of IgA nephropathy. High levels of serum total cholesterol may affect glomerular tip adhesions.

摘要

背景

局灶节段性肾小球硬化样病变被认为是 IgA 肾病的预测因素。本单中心回顾性队列研究旨在阐明哪些临床和病理因素可预测 IgA 肾病患者在 5 年和 10 年后肾小球滤过率估计值 (eGFR) 下降。

方法

纳入 1986 年至 2010 年期间在爱知医科大学医院就诊的 229 例 IgA 肾病患者,肾活检后 5 至 10 年内有 57 例入组本研究。采用逐步后退的多元线性回归分析来分析临床、实验室和病理参数,以确定独立的危险因素。在确定这些因素后,我们使用 Student's t 检验、Wilcoxon 检验或 Mann-Whitney U 检验比较了有和无各因素的患者。

结果

有 4 个变量被确定为 IgA 肾病进展的预测因素:初始 eGFR(p = 0.0002)、肾小球顶端黏附(p = 0.004)、全球硬化(p = 0.019)和舒张压(p = 0.024)。有(n = 9)和无肾小球顶端黏附(n = 48)的患者的 eGFR 年下降率分别为 4.13 ± 3.58 和 1.49 ± 2.89 ml/min/1.73 m2(p = 0.015)。血清总胆固醇水平分别为 231 ± 45 mg/dl 和 196 ± 42 mg/dl(双侧 p = 0.064;单侧 p = 0.032)。

结论

肾小球顶端黏附的存在可预测 IgA 肾病的进展。血清总胆固醇水平升高可能影响肾小球顶端黏附。

https://cdn.ncbi.nlm.nih.gov/pmc/blobs/9d55/4234292/c0a12f47d8f3/1471-2369-14-272-1.jpg

文献AI研究员

20分钟写一篇综述,助力文献阅读效率提升50倍。

立即体验

用中文搜PubMed

大模型驱动的PubMed中文搜索引擎

马上搜索

文档翻译

学术文献翻译模型,支持多种主流文档格式。

立即体验