Suppr超能文献

YBX1 是 MIA/CD-RAP 依赖性软骨发生的调节剂。

YBX1 is a modulator of MIA/CD-RAP-dependent chondrogenesis.

机构信息

Institute of Pathology, University of Regensburg, Regensburg, Germany.

Institute for Functional Genomics, University of Regensburg, Regensburg, Germany.

出版信息

PLoS One. 2013 Dec 12;8(12):e82166. doi: 10.1371/journal.pone.0082166. eCollection 2013.

Abstract

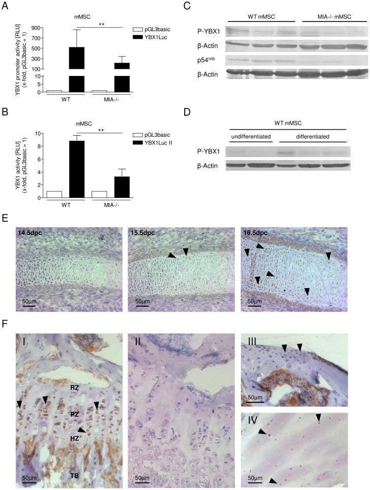
MIA/CD-RAP is a small, secreted protein involved in cartilage differentiation and melanoma progression. We recently revealed that p54(nrb) acts as a mediator of MIA/CD-RAP action to promote chondrogenesis and the progression of malignant melanoma. As the molecular mechanism of MIA/CD-RAP action in cartilage has not been defined in detail until now, we aimed to understand the regulation of p54(nrb) transcription in chondrogenesis. We concentrated on the previously described MIA/CD-RAP-dependent regulatory region in the p54(nrb) promoter and characterized the transcriptional regulation of p54(nrb) by MIA/CD-RAP in cartilage. A series of truncated p54(nrb) promoter constructs and mutagenesis analysis revealed that the transcription factor YBX1, which has not been investigated in chondrogenesis thus far, is the mediator of MIA/CD-RAP dependent activation of p54(nrb) transcription. A systematic analysis of genes carrying this binding site in their promoter region revealed further potential MIA/CD-RAP-regulated genes that have been implicated in cartilage differentiation. In summary, we described the effects of MIA/CD-RAP on transcriptional regulation in chondrocytes. Understanding the regulation of p54(nrb) via YBX1 contributes to the understanding of chondrogenesis. Uncovering new downstream effectors that function via the activation of YBX1 supports the important role of MIA/CD-RAP in these processes.

摘要

MIA/CD-RAP 是一种参与软骨分化和黑色素瘤进展的小分泌蛋白。我们最近发现 p54(nrb) 作为 MIA/CD-RAP 作用的介质,促进软骨生成和恶性黑色素瘤的进展。由于 MIA/CD-RAP 在软骨中的作用的分子机制至今尚未详细定义,我们旨在了解 p54(nrb) 在软骨生成中的转录调控。我们专注于先前描述的 p54(nrb) 启动子中 MIA/CD-RAP 依赖的调节区,并研究了 MIA/CD-RAP 在软骨中的转录调控。一系列截短的 p54(nrb) 启动子构建体和突变分析表明,转录因子 YBX1 是 MIA/CD-RAP 依赖激活 p54(nrb) 转录的介质。对其启动子区域携带该结合位点的基因的系统分析揭示了其他可能与软骨分化相关的受 MIA/CD-RAP 调节的基因。总之,我们描述了 MIA/CD-RAP 对软骨细胞中转录调控的影响。通过 YBX1 理解 p54(nrb) 的调节有助于理解软骨生成。揭示通过激活 YBX1 起作用的新下游效应子支持了 MIA/CD-RAP 在这些过程中的重要作用。

https://cdn.ncbi.nlm.nih.gov/pmc/blobs/7f01/3861381/3f504e3ff98d/pone.0082166.g001.jpg

文献AI研究员

20分钟写一篇综述,助力文献阅读效率提升50倍。

立即体验

用中文搜PubMed

大模型驱动的PubMed中文搜索引擎

马上搜索

文档翻译

学术文献翻译模型,支持多种主流文档格式。

立即体验