• 文献检索
  • 文档翻译
  • 深度研究
  • 学术资讯
  • Suppr Zotero 插件Zotero 插件
  • 邀请有礼
  • 套餐&价格
  • 历史记录
应用&插件
Suppr Zotero 插件Zotero 插件浏览器插件Mac 客户端Windows 客户端微信小程序
定价
高级版会员购买积分包购买API积分包
服务
文献检索文档翻译深度研究API 文档MCP 服务
关于我们
关于 Suppr公司介绍联系我们用户协议隐私条款
关注我们

Suppr 超能文献

核心技术专利:CN118964589B侵权必究
粤ICP备2023148730 号-1Suppr @ 2026

文献检索

告别复杂PubMed语法,用中文像聊天一样搜索,搜遍4000万医学文献。AI智能推荐,让科研检索更轻松。

立即免费搜索

文件翻译

保留排版,准确专业,支持PDF/Word/PPT等文件格式,支持 12+语言互译。

免费翻译文档

深度研究

AI帮你快速写综述,25分钟生成高质量综述,智能提取关键信息,辅助科研写作。

立即免费体验

舌下神经孤立性副神经节瘤:一例伴有磁共振成像表现的病例报告

Solitary paraganglioma of the hypoglossal nerve: A case report with magnetic resonance imaging findings.

作者信息

Beyazal Mehmet, Yavuz Alpaslan, Unal Ozkan, Cankaya Hakan, Yılmaz Deniz

机构信息

Department of Radiology, School of Medicine, Yüzüncü Yıl University, Van, Turkey.

Department of Otorhinolaryngology, School of Medicine, Yüzüncü Yıl University, Van, Turkey.

出版信息

Am J Case Rep. 2013 Oct 18;14:419-23. doi: 10.12659/AJCR.889509. eCollection 2013.

DOI:10.12659/AJCR.889509
PMID:24349604
原文链接:https://pmc.ncbi.nlm.nih.gov/articles/PMC3864171/
Abstract

PATIENT

Female, 58 FINAL DIAGNOSIS: Solitary paraganglioma of the hypoglossal nerve Symptoms: Neck pain Medication: - Clinical Procedure: Surgical resection Specialty: Otolaryngology.

OBJECTIVE

Rare disease.

BACKGROUND

Paragangliomas are rare neuroendocrine tumors originating in the neural crest. Only a few cases of hypoglossal paraganglioma have been reported in the published literature. The localization of hypoglossal paragangliomas close to the carotid artery precludes determination of tumor origin preoperatively.

CASE REPORT

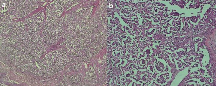
A 58-year-old female patient was admitted due to neck pain. During physical examination, a significant mass could not be palpated in the upper left part of the neck, despite sensitivity during palpation. Atrophy and left deviation of the left half of the tongue was observed. MRI of the neck revealed a lesion located superior to the carotid bifurcation between the left internal carotid artery and external carotid artery. There was atrophy in the left half of the tongue. The neck mass displaced the left internal carotid artery anteriorly and medially. The operation was performed with left lateral cervical access. This lesion, which derived from the hypoglossal nerve, was excised. Following histopathological evaluation, the lesion was diagnosed as paraganglioma.

CONCLUSIONS

Hypoglossal paraganglioma is quite rare and there are no established criteria for preoperative diagnosis. Hypoglossal paraganglioma must be considered to determine treatment options if a lateral neck mass and ipsilateral tongue atrophy are present at the level of the 12th cranial nerve tract.

摘要

患者

女性,58岁 最终诊断:舌下神经孤立性副神经节瘤 症状:颈部疼痛 用药:- 临床操作:手术切除 专科:耳鼻喉科。

目的

罕见疾病。

背景

副神经节瘤是起源于神经嵴的罕见神经内分泌肿瘤。已发表的文献中仅报道了少数舌下神经副神经节瘤病例。舌下神经副神经节瘤靠近颈动脉的位置使得术前难以确定肿瘤的起源。

病例报告

一名58岁女性患者因颈部疼痛入院。体格检查时,尽管触诊时有压痛,但在颈部左上部分未触及明显肿块。观察到左侧舌体萎缩并向左偏斜。颈部MRI显示在左颈内动脉和颈外动脉之间的颈动脉分叉上方有一病变。左侧舌体萎缩。颈部肿块将左颈内动脉向前和内侧推移。通过左侧颈部入路进行手术。切除了这个起源于舌下神经的病变。经过组织病理学评估,该病变被诊断为副神经节瘤。

结论

舌下神经副神经节瘤非常罕见,目前尚无术前诊断的既定标准。如果在第12对脑神经走行水平出现侧颈部肿块和同侧舌体萎缩,必须考虑舌下神经副神经节瘤以确定治疗方案。

https://cdn.ncbi.nlm.nih.gov/pmc/blobs/3f16/3864171/0cf1c8f90d73/amjcaserep-14-419-g003.jpg
https://cdn.ncbi.nlm.nih.gov/pmc/blobs/3f16/3864171/ce7de71de93c/amjcaserep-14-419-g001.jpg
https://cdn.ncbi.nlm.nih.gov/pmc/blobs/3f16/3864171/6ab8c1416c45/amjcaserep-14-419-g002.jpg
https://cdn.ncbi.nlm.nih.gov/pmc/blobs/3f16/3864171/0cf1c8f90d73/amjcaserep-14-419-g003.jpg
https://cdn.ncbi.nlm.nih.gov/pmc/blobs/3f16/3864171/ce7de71de93c/amjcaserep-14-419-g001.jpg
https://cdn.ncbi.nlm.nih.gov/pmc/blobs/3f16/3864171/6ab8c1416c45/amjcaserep-14-419-g002.jpg
https://cdn.ncbi.nlm.nih.gov/pmc/blobs/3f16/3864171/0cf1c8f90d73/amjcaserep-14-419-g003.jpg

相似文献

1
Solitary paraganglioma of the hypoglossal nerve: A case report with magnetic resonance imaging findings.舌下神经孤立性副神经节瘤:一例伴有磁共振成像表现的病例报告
Am J Case Rep. 2013 Oct 18;14:419-23. doi: 10.12659/AJCR.889509. eCollection 2013.
2
Solitary paraganglioma of the hypoglossal nerve: case report.舌下神经孤立性副神经节瘤:病例报告。
Neurosurgery. 2011 Apr;68(4):E1170-4; discussion E1174. doi: 10.1227/NEU.0b013e31820a16b5.
3
Schwannoma of the Hypoglossal Nerve Mimicking Carotid Body Paraganglioma.模仿颈动脉体副神经节瘤的舌下神经鞘瘤
Diagnostics (Basel). 2022 Aug 31;12(9):2122. doi: 10.3390/diagnostics12092122.
4
Surgical treatment of paragangliomas of the neck.颈部副神经节瘤的外科治疗
Int Surg. 1997 Oct-Dec;82(4):394-7.
5
Multiple paragangliomas of head and neck associated with hepatic paraganglioma: a case report.头颈部多发副神经节瘤合并肝副神经节瘤:一例报告
BMC Med Imaging. 2015 Sep 25;15:38. doi: 10.1186/s12880-015-0082-z.
6
Hypoglossal Nerve Paraganglioma Depicting as Glomus Tumor of Neck.表现为颈部副神经节瘤的舌下神经副神经节瘤
Iran J Otorhinolaryngol. 2021 Mar;33(115):113-117. doi: 10.22038/ijorl.2020.43602.2448.
7
An Unusual and Discrepant Presentation of a Skull Base Paraganglioma.一例不寻常且表现不一致的颅底副神经节瘤
Cureus. 2024 Aug 7;16(8):e66394. doi: 10.7759/cureus.66394. eCollection 2024 Aug.
8
Hypoglossal Schwannoma of Neck: Case Report and Review of Literature.颈部舌下神经鞘瘤:病例报告及文献综述
World Neurosurg. 2018 Feb;110:240-243. doi: 10.1016/j.wneu.2017.11.069. Epub 2017 Nov 22.
9
[Surgical management of peripheral hypoglossal nerve palsy caused by abnormal external carotid artery].[颈外动脉异常所致周围性舌下神经麻痹的外科治疗]
No Shinkei Geka. 1983 Dec;11(12):1313-8.
10
A case of paraganglioma of the hypoglossal nerve.舌下神经副神经节瘤1例。
J Laryngol Otol. 2010 May;124(5):e3. doi: 10.1017/S0022215110000794. Epub 2010 Apr 20.

引用本文的文献

1
An Unusual and Discrepant Presentation of a Skull Base Paraganglioma.一例不寻常且表现不一致的颅底副神经节瘤
Cureus. 2024 Aug 7;16(8):e66394. doi: 10.7759/cureus.66394. eCollection 2024 Aug.
2
Hypoglossal Nerve Paraganglioma Depicting as Glomus Tumor of Neck.表现为颈部副神经节瘤的舌下神经副神经节瘤
Iran J Otorhinolaryngol. 2021 Mar;33(115):113-117. doi: 10.22038/ijorl.2020.43602.2448.

本文引用的文献

1
Solitary paraganglioma of the hypoglossal nerve: case report.舌下神经孤立性副神经节瘤:病例报告。
Neurosurgery. 2011 Apr;68(4):E1170-4; discussion E1174. doi: 10.1227/NEU.0b013e31820a16b5.
2
Paraganglioma of the hypoglossal nerve.舌下神经副神经节瘤。
Laryngoscope. 2010;120 Suppl 4:S147. doi: 10.1002/lary.21611.
3
The safety and efficacy of gamma knife surgery in management of glomus jugulare tumor.伽玛刀手术治疗颈静脉球体瘤的安全性和有效性。
World J Surg Oncol. 2010 Sep 6;8:76. doi: 10.1186/1477-7819-8-76.
4
A case of paraganglioma of the hypoglossal nerve.舌下神经副神经节瘤1例。
J Laryngol Otol. 2010 May;124(5):e3. doi: 10.1017/S0022215110000794. Epub 2010 Apr 20.
5
Paraganglioma of the hypoglossal nerve.舌下神经副神经节瘤
J Vasc Surg. 2009 Apr;49(4):1053-5. doi: 10.1016/j.jvs.2008.11.057.
6
Microsurgical anatomy of the hypoglossal nerve.舌下神经的显微外科解剖学
J Clin Neurosci. 2006 Oct;13(8):841-7. doi: 10.1016/j.jocn.2005.12.028. Epub 2006 Aug 28.
7
Rare localization of paraganglioma in head and neck.头颈部副神经节瘤的罕见定位
Auris Nasus Larynx. 2003 Feb;30 Suppl:S149-52. doi: 10.1016/s0385-8146(02)00132-3.
8
Cervical paragangliomas: diagnosis, management and complications.颈副神经节瘤:诊断、治疗及并发症
J Laryngol Otol. 2001 Jun;115(6):467-74. doi: 10.1258/0022215011908180.
9
Vagal paraganglioma: a review of 46 patients treated during a 20-year period.迷走神经副神经节瘤:20年期间46例患者的治疗回顾
Arch Otolaryngol Head Neck Surg. 1998 Oct;124(10):1133-40. doi: 10.1001/archotol.124.10.1133.
10
MR imaging of paragangliomas.副神经节瘤的磁共振成像
AJR Am J Roentgenol. 1987 Jan;148(1):201-4. doi: 10.2214/ajr.148.1.201.