Esmaeelian Babak, Abbott Catherine A, Le Leu Richard K, Benkendorff Kirsten
School of Biological Sciences, Flinders University, GPO Box 2100, Adelaide 5001, Australia.
Mar Drugs. 2013 Dec 24;12(1):17-35. doi: 10.3390/md12010017.
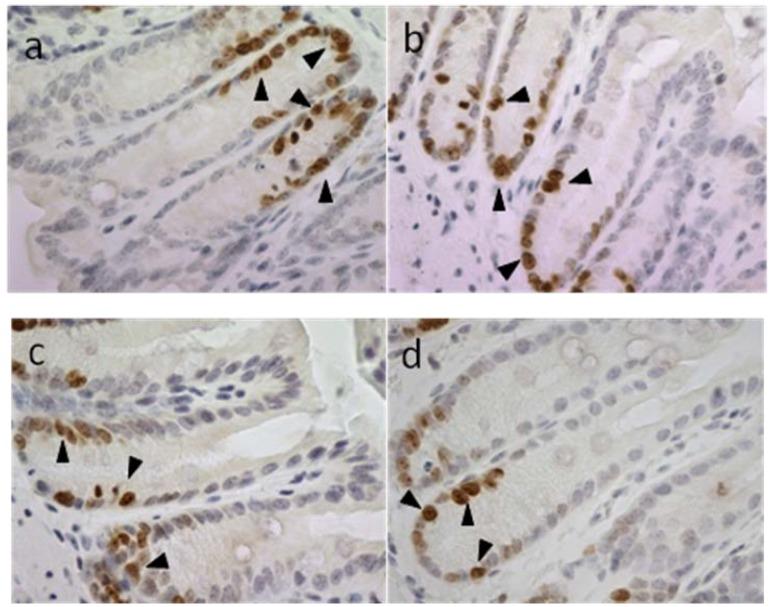
Muricid molluscs are a natural source of brominated isatin with anticancer activity. The aim of this study was to examine the safety and efficacy of synthetic 6-bromoisatin for reducing the risk of early stage colorectal tumor formation. The purity of 6-bromoisatin was confirmed by 1H NMR spectroscopy, then tested for in vitro and in vivo anticancer activity. A mouse model for colorectal cancer was utilized whereby colonic apoptosis and cell proliferation was measured 6 h after azoxymethane treatment by hematoxylin and immunohistochemical staining. Liver enzymes and other biochemistry parameters were measured in plasma and haematological assessment of the blood was conducted to assess potential toxic side-effects. 6-Bromoisatin inhibited proliferation of HT29 cells at IC50 223 μM (0.05 mg/mL) and induced apoptosis without increasing caspase 3/7 activity. In vivo 6-bromoisatin (0.05 mg/g) was found to significantly enhance the apoptotic index (p≤0.001) and reduced cell proliferation (p≤0.01) in the distal colon. There were no significant effects on mouse body weight, liver enzymes, biochemical factors or blood cells. However, 6-bromoisatin caused a decrease in the plasma level of potassium, suggesting a diuretic effect. In conclusion this study supports 6-bromoisatin in Muricidae extracts as a promising lead for prevention of colorectal cancer.
骨螺科软体动物是具有抗癌活性的溴化异吲哚酮的天然来源。本研究的目的是检验合成的6-溴异吲哚酮在降低早期结直肠肿瘤形成风险方面的安全性和有效性。通过1H核磁共振光谱法确认了6-溴异吲哚酮的纯度,然后对其进行体外和体内抗癌活性测试。利用结直肠癌小鼠模型,在注射氧化偶氮甲烷6小时后,通过苏木精染色和免疫组化染色来测量结肠细胞凋亡和细胞增殖情况。检测血浆中的肝酶和其他生化参数,并对血液进行血液学评估,以评估潜在的毒副作用。6-溴异吲哚酮在IC50为223μM(0.05mg/mL)时抑制HT29细胞的增殖,并诱导细胞凋亡,且不增加半胱天冬酶3/7的活性。在体内,发现6-溴异吲哚酮(0.05mg/g)能显著提高远端结肠的凋亡指数(p≤0.001)并减少细胞增殖(p≤0.01)。对小鼠体重、肝酶、生化因子或血细胞均无显著影响。然而,6-溴异吲哚酮导致血浆钾水平降低,提示有利尿作用。总之,本研究支持骨螺科提取物中的6-溴异吲哚酮作为预防结直肠癌的一种有前景的先导物。