Suppr超能文献

SLCO5A1/OATP5A1 的特征鉴定,一种具有非经典功能的溶质载体转运蛋白。

Characterization of SLCO5A1/OATP5A1, a solute carrier transport protein with non-classical function.

机构信息

Department of Dermatology and Allergology, University Hospital RWTH Aachen, Aachen, Germany.

Institute of Pharmacology and Toxicology, Medical Faculty of the RWTH Aachen University, Aachen, Germany.

出版信息

PLoS One. 2013 Dec 20;8(12):e83257. doi: 10.1371/journal.pone.0083257. eCollection 2013.

Abstract

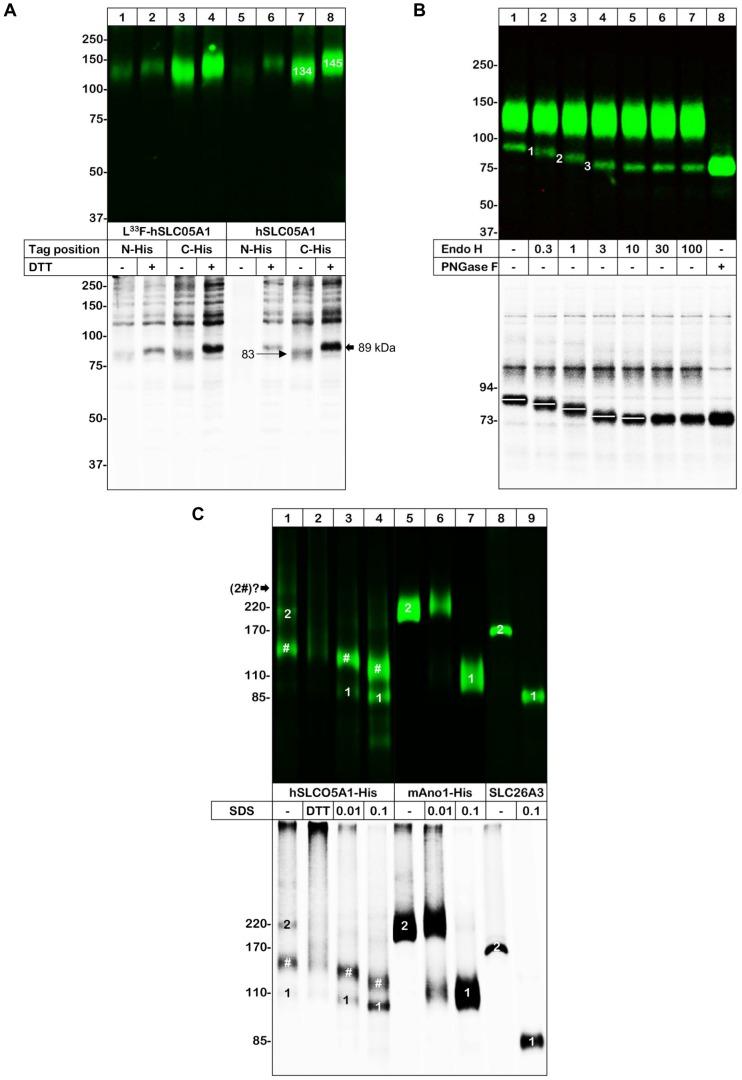
Organic anion transporting polypeptides (OATP/SLCO) have been identified to mediate the uptake of a broad range of mainly amphipathic molecules. Human OATP5A1 was found to be expressed in the epithelium of many cancerous and non-cancerous tissues throughout the body but protein characterization and functional analysis have not yet been performed. This study focused on the biochemical characterization of OATP5A1 using Xenopus laevis oocytes and Flp-In T-REx-HeLa cells providing evidence regarding a possible OATP5A1 function. SLCO5A1 is highly expressed in mature dendritic cells compared to immature dendritic cells (∼6.5-fold) and SLCO5A1 expression correlates with the differentiation status of primary blood cells. A core- and complex- N-glycosylated polypeptide monomer of ∼105 kDa and ∼130 kDa could be localized in intracellular membranes and on the plasma membrane, respectively. Inducible expression of SLCO5A1 in HeLa cells led to an inhibitory effect of ∼20% after 96 h on cell proliferation. Gene expression profiling with these cells identified immunologically relevant genes (e.g. CCL20) and genes implicated in developmental processes (e.g. TGM2). A single nucleotide polymorphism leading to the exchange of amino acid 33 (L→F) revealed no differences regarding protein expression and function. In conclusion, we provide evidence that OATP5A1 might be a non-classical OATP family member which is involved in biological processes that require the reorganization of the cell shape, such as differentiation and migration.

摘要

有机阴离子转运多肽 (OATP/SLCO) 已被鉴定为介导广泛的主要两亲性分子的摄取。人类 OATP5A1 被发现表达于全身许多癌性和非癌性组织的上皮细胞中,但尚未进行蛋白质特征和功能分析。本研究使用非洲爪蟾卵母细胞和 Flp-In T-REx-HeLa 细胞对 OATP5A1 进行了生化特征分析,为 OATP5A1 的可能功能提供了证据。与未成熟树突状细胞相比,SLCO5A1 在成熟树突状细胞中高度表达(约 6.5 倍),并且 SLCO5A1 的表达与原代血细胞的分化状态相关。约 105 kDa 和 130 kDa 的核心和复杂 N-糖基化多肽单体可分别定位于细胞内膜和质膜上。HeLa 细胞中 SLCO5A1 的诱导表达在 96 小时后导致细胞增殖抑制约 20%。用这些细胞进行基因表达谱分析鉴定了免疫相关基因(例如 CCL20)和发育过程中涉及的基因(例如 TGM2)。导致氨基酸 33(L→F)交换的单核苷酸多态性在蛋白表达和功能方面没有差异。总之,我们提供了证据表明 OATP5A1 可能是一种非典型的 OATP 家族成员,参与需要细胞形状重新组织的生物学过程,例如分化和迁移。

https://cdn.ncbi.nlm.nih.gov/pmc/blobs/5689/3869781/e10920a0d620/pone.0083257.g001.jpg

文献AI研究员

20分钟写一篇综述,助力文献阅读效率提升50倍。

立即体验

用中文搜PubMed

大模型驱动的PubMed中文搜索引擎

马上搜索

文档翻译

学术文献翻译模型,支持多种主流文档格式。

立即体验