• 文献检索
  • 文档翻译
  • 深度研究
  • 学术资讯
  • Suppr Zotero 插件Zotero 插件
  • 邀请有礼
  • 套餐&价格
  • 历史记录
应用&插件
Suppr Zotero 插件Zotero 插件浏览器插件Mac 客户端Windows 客户端微信小程序
定价
高级版会员购买积分包购买API积分包
服务
文献检索文档翻译深度研究API 文档MCP 服务
关于我们
关于 Suppr公司介绍联系我们用户协议隐私条款
关注我们

Suppr 超能文献

核心技术专利:CN118964589B侵权必究
粤ICP备2023148730 号-1Suppr @ 2026

文献检索

告别复杂PubMed语法,用中文像聊天一样搜索,搜遍4000万医学文献。AI智能推荐,让科研检索更轻松。

立即免费搜索

文件翻译

保留排版,准确专业,支持PDF/Word/PPT等文件格式,支持 12+语言互译。

免费翻译文档

深度研究

AI帮你快速写综述,25分钟生成高质量综述,智能提取关键信息,辅助科研写作。

立即免费体验

在孕酮作用下,Stat6中LXXLL基序的完整性是抑制乳腺癌细胞生长和增强分化所必需的。

Integrity of the LXXLL motif in Stat6 is required for the inhibition of breast cancer cell growth and enhancement of differentiation in the context of progesterone.

作者信息

Wei Min, He Qi, Yang Zhongyin, Wang Zhiwei, Zhang Qing, Liu Bingya, Gu Qinlong, Su Liping, Yu Yingyan, Zhu Zhenggang, Zhang Guofeng

机构信息

Breast Department, International Peace Maternity and Child Health Hospital, Shanghai Jiaotong University, Shanghai 200030, People's Republic of China.

出版信息

BMC Cancer. 2014 Jan 8;14:10. doi: 10.1186/1471-2407-14-10.

DOI:10.1186/1471-2407-14-10
PMID:24401087
原文链接:https://pmc.ncbi.nlm.nih.gov/articles/PMC4021501/
Abstract

BACKGROUND

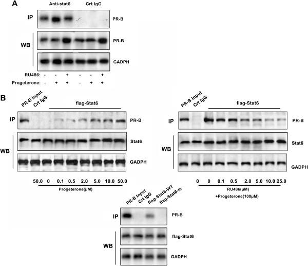
Progesterone is essential for the proliferation and differentiation of mammary gland epithelium. Studies of breast cancer cells have demonstrated a biphasic progesterone response consisting of an initial proliferative burst followed by sustained growth arrest. However, the transcriptional factors acting with the progesterone receptor (PR) to mediate the effects of progesterone on mammary cell growth and differentiation remain to be determined. Recently, it was demonstrated that signal transducer and activator of transcription 6 (Stat6) is a cell growth suppressor. Similar to progesterone-bound PR, Stat6 acts by inducing the expression of the G1 cyclin-dependent kinase inhibitors p21 and p27. The possible interaction between Stat6 and progesterone pathways in mammary cells was therefore investigated in the present study.

METHODS

ChIP and luciferase were assayed to determine whether Stat6 induces p21 and p27 expression by recruitment at the proximal Sp1-binding sites of the gene promoters. Immunoprecipitation and Western blotting were performed to investigate the interaction between Stat6 and PR-B. The cellular DNA content and cell cycle distribution in breast cancer cells were analyzed by FACS.

RESULTS

We found that Stat6 interacts with progesterone-activated PR in T47D cells. Stat6 synergizes with progesterone-bound PR to transactivate the p21 and p27 gene promoters at the proximal Sp1-binding sites. Moreover, Stat6 overexpression and knockdown, respectively, increased or prevented the induction of p21 and p27 gene expression by progesterone. Stat6 knockdown also abolished the inhibitory effects of progesterone on pRB phosphorylation, G1/S cell cycle progression, and cell proliferation. In addition, knockdown of Stat6 expression prevented the induction of breast cell differentiation markers, previously identified as progesterone target genes. Finally, Stat6 gene expression levels increased following progesterone treatment, indicating a positive auto-regulatory loop between PR and Stat6.

CONCLUSIONS

Taken together, these data identify Stat6 as a coactivator of PR mediating the growth-inhibitory and differentiation effects of progesterone on breast cancer cells.

摘要

背景

孕酮对于乳腺上皮细胞的增殖和分化至关重要。对乳腺癌细胞的研究表明,孕酮反应呈双相性,最初是增殖爆发,随后是持续的生长停滞。然而,与孕酮受体(PR)共同作用以介导孕酮对乳腺细胞生长和分化影响的转录因子仍有待确定。最近,有研究表明信号转导子和转录激活子6(Stat6)是一种细胞生长抑制因子。与结合孕酮的PR类似,Stat6通过诱导G1期细胞周期蛋白依赖性激酶抑制剂p21和p27的表达发挥作用。因此,本研究对Stat6与乳腺细胞中孕酮信号通路之间可能的相互作用进行了研究。

方法

采用染色质免疫沉淀法(ChIP)和荧光素酶检测法,以确定Stat6是否通过募集到基因启动子近端的Sp1结合位点来诱导p21和p27的表达。进行免疫沉淀和蛋白质印迹分析,以研究Stat6与PR-B之间的相互作用。通过流式细胞术分析乳腺癌细胞中的细胞DNA含量和细胞周期分布。

结果

我们发现Stat6在T47D细胞中与孕酮激活的PR相互作用。Stat6与结合孕酮的PR协同作用,在近端Sp1结合位点反式激活p21和p27基因启动子。此外,Stat6的过表达和敲低分别增加或阻止了孕酮对p21和p27基因表达的诱导。Stat6敲低还消除了孕酮对pRB磷酸化、G1/S期细胞周期进程和细胞增殖的抑制作用。此外,Stat6表达的敲低阻止了先前被确定为孕酮靶基因的乳腺细胞分化标志物的诱导。最后,孕酮处理后Stat6基因表达水平升高,表明PR与Stat6之间存在正反馈调节环。

结论

综上所述,这些数据表明Stat6是PR的共激活因子,介导孕酮对乳腺癌细胞的生长抑制和分化作用。

https://cdn.ncbi.nlm.nih.gov/pmc/blobs/0597/4021501/2bfeb7dda528/1471-2407-14-10-8.jpg
https://cdn.ncbi.nlm.nih.gov/pmc/blobs/0597/4021501/85aba1082d59/1471-2407-14-10-1.jpg
https://cdn.ncbi.nlm.nih.gov/pmc/blobs/0597/4021501/262edad93ccf/1471-2407-14-10-2.jpg
https://cdn.ncbi.nlm.nih.gov/pmc/blobs/0597/4021501/6c9992594afa/1471-2407-14-10-3.jpg
https://cdn.ncbi.nlm.nih.gov/pmc/blobs/0597/4021501/47783493ef62/1471-2407-14-10-4.jpg
https://cdn.ncbi.nlm.nih.gov/pmc/blobs/0597/4021501/93e5226862ff/1471-2407-14-10-5.jpg
https://cdn.ncbi.nlm.nih.gov/pmc/blobs/0597/4021501/4189011d5937/1471-2407-14-10-6.jpg
https://cdn.ncbi.nlm.nih.gov/pmc/blobs/0597/4021501/3f5ffea89ffa/1471-2407-14-10-7.jpg
https://cdn.ncbi.nlm.nih.gov/pmc/blobs/0597/4021501/2bfeb7dda528/1471-2407-14-10-8.jpg
https://cdn.ncbi.nlm.nih.gov/pmc/blobs/0597/4021501/85aba1082d59/1471-2407-14-10-1.jpg
https://cdn.ncbi.nlm.nih.gov/pmc/blobs/0597/4021501/262edad93ccf/1471-2407-14-10-2.jpg
https://cdn.ncbi.nlm.nih.gov/pmc/blobs/0597/4021501/6c9992594afa/1471-2407-14-10-3.jpg
https://cdn.ncbi.nlm.nih.gov/pmc/blobs/0597/4021501/47783493ef62/1471-2407-14-10-4.jpg
https://cdn.ncbi.nlm.nih.gov/pmc/blobs/0597/4021501/93e5226862ff/1471-2407-14-10-5.jpg
https://cdn.ncbi.nlm.nih.gov/pmc/blobs/0597/4021501/4189011d5937/1471-2407-14-10-6.jpg
https://cdn.ncbi.nlm.nih.gov/pmc/blobs/0597/4021501/3f5ffea89ffa/1471-2407-14-10-7.jpg
https://cdn.ncbi.nlm.nih.gov/pmc/blobs/0597/4021501/2bfeb7dda528/1471-2407-14-10-8.jpg

相似文献

1
Integrity of the LXXLL motif in Stat6 is required for the inhibition of breast cancer cell growth and enhancement of differentiation in the context of progesterone.在孕酮作用下,Stat6中LXXLL基序的完整性是抑制乳腺癌细胞生长和增强分化所必需的。
BMC Cancer. 2014 Jan 8;14:10. doi: 10.1186/1471-2407-14-10.
2
TReP-132 is a novel progesterone receptor coactivator required for the inhibition of breast cancer cell growth and enhancement of differentiation by progesterone.TReP-132是一种新型的孕酮受体共激活因子,孕酮抑制乳腺癌细胞生长并增强分化作用时需要该因子。
Mol Cell Biol. 2006 Oct;26(20):7632-44. doi: 10.1128/MCB.00326-06.
3
Stat6 cooperates with Sp1 in controlling breast cancer cell proliferation by modulating the expression of p21(Cip1/WAF1) and p27 (Kip1).Stat6 通过调节 p21(Cip1/WAF1) 和 p27(Kip1) 的表达与 Sp1 协同控制乳腺癌细胞增殖。
Cell Oncol (Dordr). 2013 Feb;36(1):79-93. doi: 10.1007/s13402-012-0115-3. Epub 2012 Nov 27.
4
TReP-132 controls cell proliferation by regulating the expression of the cyclin-dependent kinase inhibitors p21WAF1/Cip1 and p27Kip1.TReP-132通过调节细胞周期蛋白依赖性激酶抑制剂p21WAF1/Cip1和p27Kip1的表达来控制细胞增殖。
Mol Cell Biol. 2005 Jun;25(11):4335-48. doi: 10.1128/MCB.25.11.4335-4348.2005.
5
Progesterone receptors induce FOXO1-dependent senescence in ovarian cancer cells.孕激素受体诱导卵巢癌细胞中 FOXO1 依赖性衰老。
Cell Cycle. 2013 May 1;12(9):1433-49. doi: 10.4161/cc.24550. Epub 2013 Apr 10.
6
Biphasic regulation of breast cancer cell growth by progesterone: role of the cyclin-dependent kinase inhibitors, p21 and p27(Kip1).孕酮对乳腺癌细胞生长的双相调节:细胞周期蛋白依赖性激酶抑制剂p21和p27(Kip1)的作用
Mol Endocrinol. 1997 Oct;11(11):1593-607. doi: 10.1210/mend.11.11.0006.
7
Progesterone inhibits human breast cancer cell growth through transcriptional upregulation of the cyclin-dependent kinase inhibitor p27Kip1 gene.孕酮通过细胞周期蛋白依赖性激酶抑制剂p27Kip1基因的转录上调来抑制人乳腺癌细胞的生长。
FEBS Lett. 2005 Oct 24;579(25):5535-41. doi: 10.1016/j.febslet.2005.08.084. Epub 2005 Sep 27.
8
ARHGAP24 inhibits cell proliferation and cell cycle progression and induces apoptosis of lung cancer via a STAT6-WWP2-p27 axis.ARHGAP24 通过 STAT6-WWP2-p27 轴抑制肺癌细胞增殖和细胞周期进程并诱导细胞凋亡。
Carcinogenesis. 2020 Jul 10;41(5):711-721. doi: 10.1093/carcin/bgz144.
9
Progesterone stimulates proliferation and promotes cytoplasmic localization of the cell cycle inhibitor p27 in steroid receptor positive breast cancers.孕激素刺激增殖,并促进细胞周期抑制剂 p27 在甾体受体阳性乳腺癌中的细胞质定位。
Horm Cancer. 2013 Dec;4(6):381-90. doi: 10.1007/s12672-013-0159-5. Epub 2013 Aug 31.
10
Phosphorylated and sumoylation-deficient progesterone receptors drive proliferative gene signatures during breast cancer progression.磷酸化和 sumoylation 缺陷的孕激素受体在乳腺癌进展过程中驱动增殖性基因特征。
Breast Cancer Res. 2012 Jun 14;14(3):R95. doi: 10.1186/bcr3211.

引用本文的文献

1
Discovering biomarkers for hormone-dependent tumors: in silico study on signaling pathways implicated in cell cycle and cytoskeleton regulation.发现激素依赖性肿瘤的生物标志物:细胞周期和细胞骨架调节相关信号通路的计算研究。
Mol Genet Genomics. 2022 Jul;297(4):947-963. doi: 10.1007/s00438-022-01900-7. Epub 2022 May 9.
2
Microarray data analysis reveals gene expression changes in response to ionizing radiation in MCF7 human breast cancer cells.微阵列数据分析揭示 MCF7 人乳腺癌细胞中对电离辐射的基因表达变化。
Hereditas. 2020 Sep 3;157(1):37. doi: 10.1186/s41065-020-00151-z.
3
STAT6 deficiency ameliorates Graves' disease severity by suppressing thyroid epithelial cell hyperplasia.

本文引用的文献

1
Stat6 cooperates with Sp1 in controlling breast cancer cell proliferation by modulating the expression of p21(Cip1/WAF1) and p27 (Kip1).Stat6 通过调节 p21(Cip1/WAF1) 和 p27(Kip1) 的表达与 Sp1 协同控制乳腺癌细胞增殖。
Cell Oncol (Dordr). 2013 Feb;36(1):79-93. doi: 10.1007/s13402-012-0115-3. Epub 2012 Nov 27.
2
The biology of progesterone receptor in the normal mammary gland and in breast cancer.孕激素受体在正常乳腺和乳腺癌中的生物学特性。
Mol Cell Endocrinol. 2012 Jun 24;357(1-2):4-17. doi: 10.1016/j.mce.2011.10.030. Epub 2011 Dec 13.
3
Small interfering RNA against transcription factor STAT6 leads to increased cholesterol synthesis in lung cancer cell lines.
信号转导和转录激活因子6(STAT6)缺陷通过抑制甲状腺上皮细胞增生减轻格雷夫斯病的严重程度。
Cell Death Dis. 2016 Dec 1;7(12):e2506. doi: 10.1038/cddis.2016.398.
4
Uncovering a Dual Regulatory Role for Caspases During Endoplasmic Reticulum Stress-induced Cell Death.揭示半胱天冬酶在内质网应激诱导的细胞死亡过程中的双重调节作用。
Mol Cell Proteomics. 2016 Jul;15(7):2293-307. doi: 10.1074/mcp.M115.055376. Epub 2016 Apr 28.
小干扰 RNA 靶向转录因子 STAT6 可导致肺癌细胞系中胆固醇合成增加。
PLoS One. 2011;6(12):e28509. doi: 10.1371/journal.pone.0028509. Epub 2011 Dec 5.
4
Hormone replacement therapy and the risk of breast cancer.激素替代疗法与乳腺癌风险。
Nat Rev Clin Oncol. 2011 Aug 2;8(11):669-76. doi: 10.1038/nrclinonc.2011.110.
5
Estrogen and progesterone in normal mammary gland development and in cancer.雌激素和孕激素在正常乳腺发育和癌症中的作用。
Horm Cancer. 2011 Apr;2(2):85-90. doi: 10.1007/s12672-010-0055-1. Epub 2010 Dec 16.
6
P27(Kip1), regulated by glycogen synthase kinase-3β, results in HMBA-induced differentiation of human gastric cancer cells.P27(Kip1)受糖原合成酶激酶-3β调节,导致 HMBA 诱导的人胃癌细胞分化。
BMC Cancer. 2011 Mar 27;11:109. doi: 10.1186/1471-2407-11-109.
7
Triple-negative breast cancer.三阴性乳腺癌。
N Engl J Med. 2010 Nov 11;363(20):1938-48. doi: 10.1056/NEJMra1001389.
8
Antiestrogens and their therapeutic applications in breast cancer and other diseases.抗雌激素及其在乳腺癌和其他疾病中的治疗应用。
Annu Rev Med. 2011;62:217-32. doi: 10.1146/annurev-med-052209-100305.
9
Sp1 acetylation is associated with loss of DNA binding at promoters associated with cell cycle arrest and cell death in a colon cell line.Sp1 乙酰化与与细胞周期停滞和细胞死亡相关的启动子上的 DNA 结合丧失有关,在结肠细胞系中。
Mol Cancer. 2010 Oct 15;9:275. doi: 10.1186/1476-4598-9-275.
10
Steroid hormone receptors in cancer development: a target for cancer therapeutics.甾体激素受体在癌症发展中的作用:癌症治疗的靶点。
Cancer Lett. 2011 Jan 1;300(1):1-9. doi: 10.1016/j.canlet.2010.09.008.