Suppr超能文献

细胞 mRNA 利用一种新的依赖于氨基酸序列的偶联翻译终止-再起始机制来获取第二个 ORF。

Cellular mRNAs access second ORFs using a novel amino acid sequence-dependent coupled translation termination-reinitiation mechanism.

出版信息

RNA. 2014 Mar;20(3):373-81. doi: 10.1261/rna.041574.113. Epub 2014 Jan 10.

Abstract

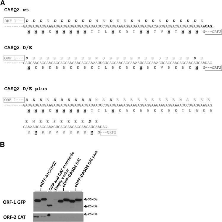
Polycistronic transcripts are considered rare in the human genome. Initiation of translation of internal ORFs of eukaryotic genes has been shown to use either leaky scanning or highly structured IRES regions to access initiation codons. Studies on mammalian viruses identified a mechanism of coupled translation termination-reinitiation that allows translation of an additional ORF. Here, the ribosome terminating translation of ORF-1 translocates upstream to reinitiate translation of ORF-2. We have devised an algorithm to identify mRNAs in the human transcriptome in which the major ORF-1 overlaps a second ORF capable of encoding a product of at least 50 aa in length. This identified 4368 transcripts representing 2214 genes. We investigated 24 transcripts, 22 of which were shown to express a protein from ORF-2 highlighting that 3' UTRs contain protein-coding potential more frequently than previously suspected. Five transcripts accessed ORF-2 using a process of coupled translation termination-reinitiation. Analysis of one transcript, encoding the CASQ2 protein, showed that the mechanism by which the coupling process of the cellular mRNAs was achieved was novel. This process was not directed by the mRNA sequence but required an aspartate-rich repeat region at the carboxyl terminus of the terminating ORF-1 protein. Introduction of wobble mutations for the aspartate codon had no effect, whereas replacing aspartate for glutamate repeats eliminated translational coupling. This is the first description of a coordinated expression of two proteins from cellular mRNAs using a coupled translation termination-reinitiation process and is the first example of such a process being determined at the amino acid level.

摘要

多顺反子转录本被认为在人类基因组中很少见。真核基因内部 ORF 的翻译起始已被证明可以使用漏扫或高度结构化的 IRES 区域来获取起始密码子。对哺乳动物病毒的研究确定了一种耦合翻译终止-重新起始的机制,该机制允许翻译额外的 ORF。在这里,核糖体终止 ORF-1 的翻译,然后向前移动重新起始 ORF-2 的翻译。我们设计了一种算法来识别人类转录组中主要 ORF-1 重叠第二个 ORF 的 mRNA,该第二个 ORF 能够编码至少 50 个氨基酸长的产物。这鉴定出了 4368 个代表 2214 个基因的转录本。我们研究了 24 个转录本,其中 22 个显示从 ORF-2 表达蛋白质,这突出表明 3'UTR 比以前怀疑的更频繁地包含编码蛋白质的潜力。有 5 个转录本使用耦合翻译终止-重新起始的过程来访问 ORF-2。对编码 CASQ2 蛋白的一个转录本的分析表明,细胞 mRNA 耦合过程的机制是新颖的。该过程不是由 mRNA 序列指导的,而是需要终止 ORF-1 蛋白羧基末端富含天冬氨酸的重复区。引入天冬氨酸密码子的摆动突变没有影响,而用谷氨酸重复取代天冬氨酸则消除了翻译耦合。这是第一个使用耦合翻译终止-重新起始过程协调表达两个细胞 mRNA 编码蛋白质的描述,也是第一个在氨基酸水平上确定这种过程的例子。

https://cdn.ncbi.nlm.nih.gov/pmc/blobs/1484/3923131/5dbe794df4be/373fig1.jpg

文献检索

告别复杂PubMed语法,用中文像聊天一样搜索,搜遍4000万医学文献。AI智能推荐,让科研检索更轻松。

立即免费搜索

文件翻译

保留排版,准确专业,支持PDF/Word/PPT等文件格式,支持 12+语言互译。

免费翻译文档

深度研究

AI帮你快速写综述,25分钟生成高质量综述,智能提取关键信息,辅助科研写作。

立即免费体验