• 文献检索
  • 文档翻译
  • 深度研究
  • 学术资讯
  • Suppr Zotero 插件Zotero 插件
  • 邀请有礼
  • 套餐&价格
  • 历史记录
应用&插件
Suppr Zotero 插件Zotero 插件浏览器插件Mac 客户端Windows 客户端微信小程序
定价
高级版会员购买积分包购买API积分包
服务
文献检索文档翻译深度研究API 文档MCP 服务
关于我们
关于 Suppr公司介绍联系我们用户协议隐私条款
关注我们

Suppr 超能文献

核心技术专利:CN118964589B侵权必究
粤ICP备2023148730 号-1Suppr @ 2026

文献检索

告别复杂PubMed语法,用中文像聊天一样搜索,搜遍4000万医学文献。AI智能推荐,让科研检索更轻松。

立即免费搜索

文件翻译

保留排版,准确专业,支持PDF/Word/PPT等文件格式,支持 12+语言互译。

免费翻译文档

深度研究

AI帮你快速写综述,25分钟生成高质量综述,智能提取关键信息,辅助科研写作。

立即免费体验

西点军校学员的 Lisfranc 损伤。

Lisfranc injury in a west point cadet.

机构信息

US Army-Baylor University Post Professional Sports Medicine-Physical Therapy Doctoral Residency, West Point, New York.

US Army-Baylor University Post Professional Sports Medicine-Physical Therapy Doctoral Residency, West Point, New York ; Regis University Orthopedic Manual Physical Therapy Fellowship, Denver, Colorado.

出版信息

Sports Health. 2013 May;5(3):281-5. doi: 10.1177/1941738113477991.

DOI:10.1177/1941738113477991
PMID:24427404
原文链接:https://pmc.ncbi.nlm.nih.gov/articles/PMC3658402/
Abstract

BACKGROUND

Lisfranc joint injuries are fairly uncommon; however, few injuries hold such an elevated potential for devastating chronic secondary pain and disability. It is imperative when evaluating an injury to the ankle or foot to have a high clinical index of suspicion for Lisfranc injury, as physical examination findings are often subtle.

CASE DESCRIPTION

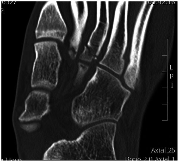
An 18-year-old military cadet reported to a direct-access sports physical therapy clinic with foot pain. Despite negative radiographic findings, there was a high suspicion for Lisfranc injury based on the injury mechanism and physical examination. A computed tomography scan demonstrated an oblique fracture through the base of the third metatarsal, a small marginal fracture at the plantar base of the second metatarsal, and a subtle diastasis. Two days following his injury, he underwent an open reduction and internal fixation, completed subsequent rehabilitation, and returned to full activity approximately 1 year following injury.

CONCLUSION

Early diagnosis of Lisfranc injuries is imperative for proper management and prevention of a poor functional outcome. If a strong clinical suspicion exists, negative radiographic findings are insufficient to rule out a Lisfranc injury, and therefore, advanced imaging is required.

摘要

背景

跖跗关节损伤较为少见;然而,少数损伤却存在着引发慢性继发性疼痛和残疾的高风险。在评估踝关节或足部损伤时,对于跖跗关节损伤必须保持高度的临床怀疑指数,因为体格检查结果往往不明显。

病例描述

一名 18 岁的军校学员因足部疼痛到直接就诊的运动物理治疗诊所就诊。尽管影像学检查未见异常,但根据损伤机制和体格检查,高度怀疑存在跖跗关节损伤。计算机断层扫描显示第三跖骨基底部斜形骨折,第二跖骨足底基底部有小的边缘骨折,以及轻微的分离。损伤后两天,他接受了切开复位内固定术,完成了随后的康复治疗,大约在受伤后 1 年恢复了完全活动。

结论

早期诊断跖跗关节损伤对于正确治疗和预防不良功能结果至关重要。如果存在强烈的临床怀疑,影像学检查未见异常不足以排除跖跗关节损伤,因此需要进行高级影像学检查。

https://cdn.ncbi.nlm.nih.gov/pmc/blobs/a989/3658402/3c47c49689aa/10.1177_1941738113477991-fig8.jpg
https://cdn.ncbi.nlm.nih.gov/pmc/blobs/a989/3658402/e994853d1d0b/10.1177_1941738113477991-fig1.jpg
https://cdn.ncbi.nlm.nih.gov/pmc/blobs/a989/3658402/5a905e3f984b/10.1177_1941738113477991-fig2.jpg
https://cdn.ncbi.nlm.nih.gov/pmc/blobs/a989/3658402/f1954a0aae83/10.1177_1941738113477991-fig3.jpg
https://cdn.ncbi.nlm.nih.gov/pmc/blobs/a989/3658402/c71d49fc5b71/10.1177_1941738113477991-fig4.jpg
https://cdn.ncbi.nlm.nih.gov/pmc/blobs/a989/3658402/e344c93f68eb/10.1177_1941738113477991-fig5.jpg
https://cdn.ncbi.nlm.nih.gov/pmc/blobs/a989/3658402/0a4f43b232f9/10.1177_1941738113477991-fig6.jpg
https://cdn.ncbi.nlm.nih.gov/pmc/blobs/a989/3658402/1e97ec2b23ab/10.1177_1941738113477991-fig7.jpg
https://cdn.ncbi.nlm.nih.gov/pmc/blobs/a989/3658402/3c47c49689aa/10.1177_1941738113477991-fig8.jpg
https://cdn.ncbi.nlm.nih.gov/pmc/blobs/a989/3658402/e994853d1d0b/10.1177_1941738113477991-fig1.jpg
https://cdn.ncbi.nlm.nih.gov/pmc/blobs/a989/3658402/5a905e3f984b/10.1177_1941738113477991-fig2.jpg
https://cdn.ncbi.nlm.nih.gov/pmc/blobs/a989/3658402/f1954a0aae83/10.1177_1941738113477991-fig3.jpg
https://cdn.ncbi.nlm.nih.gov/pmc/blobs/a989/3658402/c71d49fc5b71/10.1177_1941738113477991-fig4.jpg
https://cdn.ncbi.nlm.nih.gov/pmc/blobs/a989/3658402/e344c93f68eb/10.1177_1941738113477991-fig5.jpg
https://cdn.ncbi.nlm.nih.gov/pmc/blobs/a989/3658402/0a4f43b232f9/10.1177_1941738113477991-fig6.jpg
https://cdn.ncbi.nlm.nih.gov/pmc/blobs/a989/3658402/1e97ec2b23ab/10.1177_1941738113477991-fig7.jpg
https://cdn.ncbi.nlm.nih.gov/pmc/blobs/a989/3658402/3c47c49689aa/10.1177_1941738113477991-fig8.jpg

相似文献

1
Lisfranc injury in a west point cadet.西点军校学员的 Lisfranc 损伤。
Sports Health. 2013 May;5(3):281-5. doi: 10.1177/1941738113477991.
2
[Clinical and radiographic evaluation of open reduction and internal fixation with headless compression screws in treatment of lisfranc joint injuries].无头加压螺钉切开复位内固定治疗Lisfranc关节损伤的临床及影像学评估
Zhongguo Xiu Fu Chong Jian Wai Ke Za Zhi. 2013 Oct;27(10):1196-201.
3
Is Pes Cavus Alignment Associated With Lisfranc Injuries of the Foot?高弓足对线与足部Lisfranc损伤有关吗?
Clin Orthop Relat Res. 2017 May;475(5):1463-1469. doi: 10.1007/s11999-016-5131-6. Epub 2016 Oct 28.
4
Combined medial column primary arthrodesis, middle column open reduction internal fixation, and lateral column pinning for treatment of Lisfranc fracture-dislocation injuries.联合内侧柱一期关节融合术、中柱切开复位内固定术及外侧柱克氏针固定术治疗Lisfranc骨折脱位损伤。
J Foot Ankle Surg. 2014 Sep-Oct;53(5):657-63. doi: 10.1053/j.jfas.2014.04.016. Epub 2014 May 17.
5
Lisfranc Injury Diagnosis: What Is the Diagnostic Reliability of New Radiographic Signs Using Three-dimensional CT?Lisfranc 损伤诊断:三维 CT 新技术影像学标志的诊断可靠性如何?
Clin Orthop Relat Res. 2023 Nov 1;481(11):2271-2278. doi: 10.1097/CORR.0000000000002657. Epub 2023 Apr 19.
6
High risk and low incidence diseases: Lisfranc injury.高风险低发病率疾病:跖跗关节损伤。
Am J Emerg Med. 2024 Nov;85:172-178. doi: 10.1016/j.ajem.2024.09.019. Epub 2024 Sep 11.
7
Delayed Open Reduction Internal Fixation of Missed, Low-Energy Lisfranc Injuries.漏诊的低能量Lisfranc损伤的延迟切开复位内固定术
Foot Ankle Int. 2016 Oct;37(10):1084-1090. doi: 10.1177/1071100716655355. Epub 2016 Jun 25.
8
Combined Innovative Portal Arthroscopy and Fluoroscopy-Assisted Reduction and Fixation in Subtle Injury of the Lisfranc Joint Complex: Analysis of 10 Cases.联合创新型关节镜检查与透视辅助下复位固定治疗Lisfranc关节复合体细微损伤:10例分析
J Foot Ankle Surg. 2017 Jan-Feb;56(1):142-147. doi: 10.1053/j.jfas.2016.05.003. Epub 2016 Jun 21.
9
Six-Week Old Neglected Homolateral Lisfranc Injury - A Case Report.六周龄被忽视的同侧跖跗关节损伤——病例报告
J Orthop Case Rep. 2023 May;13(5):55-59. doi: 10.13107/jocr.2023.v13.i05.3644.
10
Temporary Bridge Plating vs Primary Arthrodesis of the First Tarsometatarsal Joint in Lisfranc Injuries: Randomized Controlled Trial.跖跗关节损伤中第一跖楔关节临时桥接钢板固定与一期关节融合术的随机对照试验。
Foot Ankle Int. 2020 Aug;41(8):901-910. doi: 10.1177/1071100720925815. Epub 2020 Jun 5.

本文引用的文献

1
Fractures and dislocations of the midfoot: Lisfranc and Chopart injuries.中足骨折与脱位:Lisfranc损伤和Chopart损伤。
J Bone Joint Surg Am. 2012 Jul 18;94(14):1325-37. doi: 10.2106/JBJS.L00413.
2
Subtle injuries to the lisfranc joint.利斯弗朗关节的轻微损伤。
Orthopedics. 2011 Nov;34(11):882-7. doi: 10.3928/01477447-20110922-23.
3
Treatment of Lisfranc joint injury: current concepts.跖跗关节损伤的治疗:现状与概念更新。
J Am Acad Orthop Surg. 2010 Dec;18(12):718-28. doi: 10.5435/00124635-201012000-00002.
4
Imaging of lisfranc injury and midfoot sprain.跖跗关节损伤与中足扭伤的影像学检查
Radiol Clin North Am. 2008 Nov;46(6):1045-60, vi. doi: 10.1016/j.rcl.2008.09.003.
5
Making sense of lisfranc injuries.解读跖跗关节损伤
Foot Ankle Clin. 2008 Dec;13(4):695-704, ix. doi: 10.1016/j.fcl.2008.07.001.
6
Practical management of Lisfranc injuries in athletes.运动员Lisfranc损伤的实际管理
Clin J Sport Med. 2007 Jul;17(4):311-5. doi: 10.1097/JSM.0b013e31811ed0ba.
7
Fracture dislocations of the tarsometatarsal joints: Analysis of interrater reliability in using the modified Hardcastle classification system.跗跖关节骨折脱位:采用改良Hardcastle分类系统的评分者间信度分析
J Foot Ankle Surg. 2006 Sep-Oct;45(5):300-3. doi: 10.1053/j.jfas.2006.06.006.
8
Lisfranc fracture--dislocation: an easily overlooked injury in the emergency department.利氏骨折脱位:急诊科一种易被忽视的损伤。
Eur J Emerg Med. 2005 Jun;12(3):143-6. doi: 10.1097/00063110-200506000-00010.
9
Conservative management of subtle Lisfranc joint injury: a case report.隐匿性Lisfranc关节损伤的保守治疗:一例报告
J Orthop Sports Phys Ther. 2005 Mar;35(3):154-64. doi: 10.2519/jospt.2005.35.3.154.
10
Your diagnosis? Midfoot sprain: Lisfranc ligament disruption.你的诊断是什么?中足扭伤:跖跗关节韧带断裂。
Orthopedics. 2005 Jan;28(1):2, 75-7. doi: 10.3928/0147-7447-20050101-01.