Suppr超能文献

鉴定人 IgG 片段的新型溶血活性源于其蛋白和寡糖组分的多样性。

Characterization of a novel hemolytic activity of human IgG fractions arising from diversity in protein and oligosaccharide components.

机构信息

Department of Biology and Guangdong Provincial Key Laboratory of Marine Biotechnology, Shantou University, Shantou, China.

Department of Biology and Guangdong Provincial Key Laboratory of Marine Biotechnology, Shantou University, Shantou, China ; Mariculture Institute of Shandong Province, Qingdao, China.

出版信息

PLoS One. 2014 Jan 21;9(1):e85711. doi: 10.1371/journal.pone.0085711. eCollection 2014.

Abstract

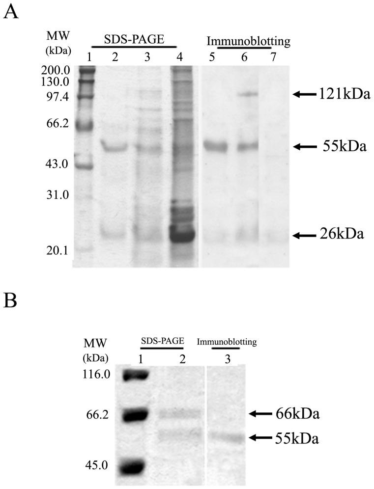
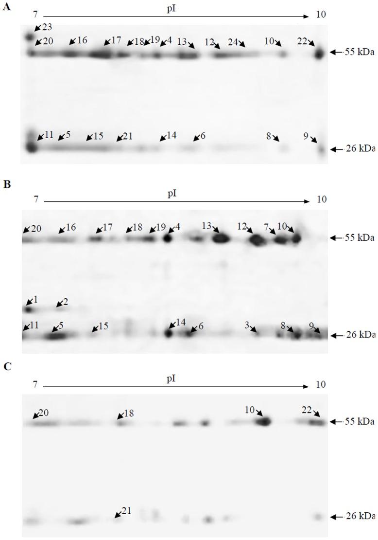
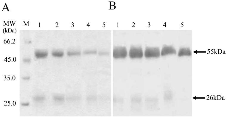
Human IgG is a well-established multifunctional antigen specific immunoglobulin molecule of the adaptive immune system. However, an antigen nonspecific immunological function of human IgG has never been reported. In this study, human IgG was isolated using ammonium sulfate fractional precipitation and diethylaminoethanol (DEAE) cellulose 52 ion exchange chromatography, from which h-IgG and hs-IgG fractions were purified on the basis of their differential binding to rabbit anti-shrimp hemocyanin antibody (h) and rabbit anti-shrimp hemocyanin's small subunit antibody (hs), respectively. We found that h-IgG had a higher hemolytic activity than hs-IgG against erythrocytes from humans, rabbits, mice and chickens, whereas the control IgG showed negligible activity. h-IgG could interact directly with erythrocyte membranes, and this interaction was suppressed by high molecular weight osmoprotectants, showing that it may follow a colloid-osmotic mechanism. In comparative proteomics and glycomics studies, h-IgG and hs-IgG yielded 20 and 5 significantly altered protein spots, respectively, on a 2-D gel. The mean carbohydrate content of h-IgG and hs-IgG was approximately 3.6- and 2-fold higher than that of IgG, respectively, and the α-d-mannose/α-d-glucose content was in the order of h-IgG>hs-IgG>IgG. In this study, a novel antigen nonspecific immune property of human IgG was investigated, and the diversity in the protein constituents and glycosylation levels may have functional signficance.

摘要

人免疫球蛋白 G(IgG)是适应性免疫系统中一种成熟的多功能抗原特异性免疫球蛋白分子。然而,人 IgG 的非抗原特异性免疫功能从未被报道过。在这项研究中,我们使用硫酸铵分段沉淀和二乙氨基乙基(DEAE)纤维素 52 离子交换层析法从人血清中分离 IgG,基于其与兔抗虾血蓝蛋白抗体(h)和兔抗虾血蓝蛋白小亚基抗体(hs)的不同结合,分别从 IgG 中纯化出 h-IgG 和 hs-IgG 两种组分。我们发现 h-IgG 对来自人、兔、鼠和鸡的红细胞的溶血活性高于 hs-IgG,而对照 IgG 几乎没有活性。h-IgG 可以直接与红细胞膜相互作用,这种相互作用被高分子量渗透保护剂抑制,表明它可能遵循胶体渗透机制。在比较蛋白质组学和糖组学研究中,h-IgG 和 hs-IgG 在 2-DE 凝胶上分别产生了 20 个和 5 个明显改变的蛋白质斑点。h-IgG 和 hs-IgG 的平均糖含量分别比 IgG 高约 3.6 倍和 2 倍,α-d-甘露糖/α-d-葡萄糖含量的顺序为 h-IgG>hs-IgG>IgG。在这项研究中,我们研究了人 IgG 的一种新的抗原非特异性免疫特性,其蛋白质组成和糖基化水平的多样性可能具有功能意义。

https://cdn.ncbi.nlm.nih.gov/pmc/blobs/ba8c/3897482/f87f8f28510b/pone.0085711.g001.jpg

文献检索

告别复杂PubMed语法,用中文像聊天一样搜索,搜遍4000万医学文献。AI智能推荐,让科研检索更轻松。

立即免费搜索

文件翻译

保留排版,准确专业,支持PDF/Word/PPT等文件格式,支持 12+语言互译。

免费翻译文档

深度研究

AI帮你快速写综述,25分钟生成高质量综述,智能提取关键信息,辅助科研写作。

立即免费体验