• 文献检索
  • 文档翻译
  • 深度研究
  • 学术资讯
  • Suppr Zotero 插件Zotero 插件
  • 邀请有礼
  • 套餐&价格
  • 历史记录
应用&插件
Suppr Zotero 插件Zotero 插件浏览器插件Mac 客户端Windows 客户端微信小程序
定价
高级版会员购买积分包购买API积分包
服务
文献检索文档翻译深度研究API 文档MCP 服务
关于我们
关于 Suppr公司介绍联系我们用户协议隐私条款
关注我们

Suppr 超能文献

核心技术专利:CN118964589B侵权必究
粤ICP备2023148730 号-1Suppr @ 2026

文献检索

告别复杂PubMed语法,用中文像聊天一样搜索,搜遍4000万医学文献。AI智能推荐,让科研检索更轻松。

立即免费搜索

文件翻译

保留排版,准确专业,支持PDF/Word/PPT等文件格式,支持 12+语言互译。

免费翻译文档

深度研究

AI帮你快速写综述,25分钟生成高质量综述,智能提取关键信息,辅助科研写作。

立即免费体验

胚胎形态发生素节点蛋白与肝细胞癌的进展及不良预后相关。

Embryonic morphogen nodal is associated with progression and poor prognosis of hepatocellular carcinoma.

作者信息

Chen Jing, Liu Wen-Bin, Jia Wei-Dong, Xu Ge-Liang, Ma Jin-Liang, Ren Yun, Chen Hao, Sun Si-Nan, Huang Mei, Li Jian-Sheng

机构信息

Department of Hepatic Surgery, Anhui Provincial Hospital Affiliated to Anhui Medical University, Hefei, China.

Anhui Province Key Laboratory of Hepatopancreatobiliary Surgery, Anhui Provincial Hospital Affiliated to Anhui Medical University, Hefei, China.

出版信息

PLoS One. 2014 Jan 21;9(1):e85840. doi: 10.1371/journal.pone.0085840. eCollection 2014.

DOI:10.1371/journal.pone.0085840
PMID:24465741
原文链接:https://pmc.ncbi.nlm.nih.gov/articles/PMC3897529/
Abstract

BACKGROUND

Nodal, a TGF-β-related embryonic morphogen, is involved in multiple biologic processes. However, the expression of Nodal in hepatocellular carcinoma (HCC) and its correlation with tumor angiogenesis, epithelial-mesenchymal transition, and prognosis is unclear.

METHODS

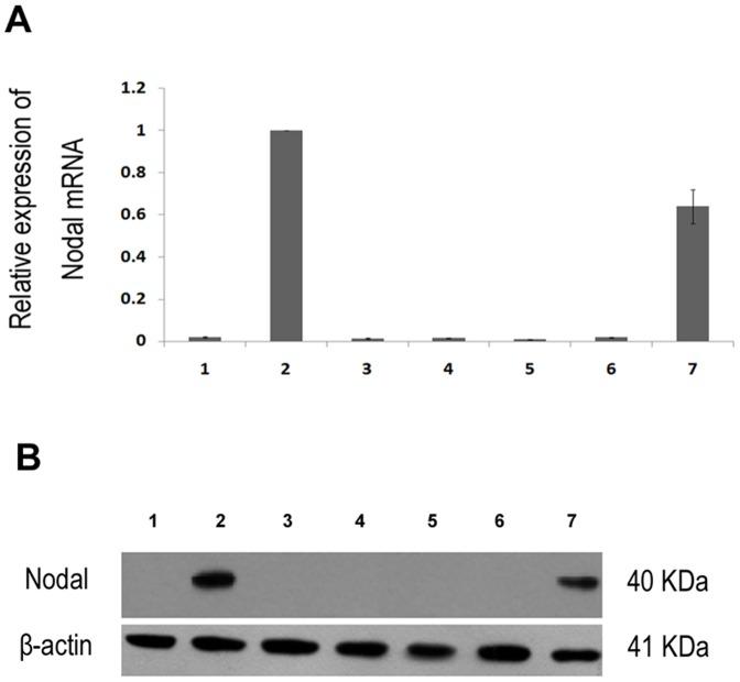
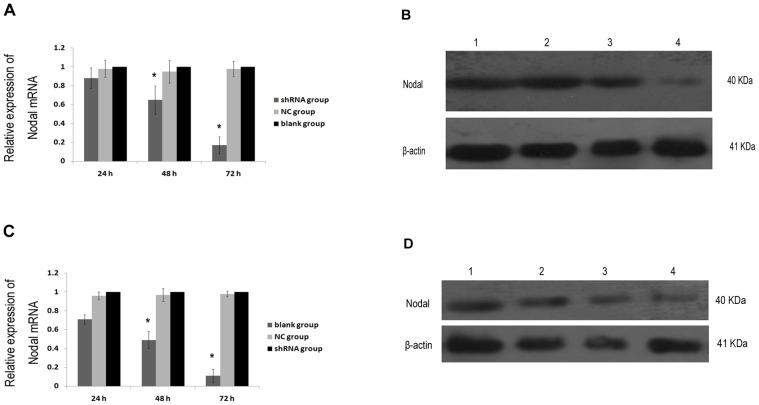
We used real-time PCR and Western blotting to investigate Nodal expression in 6 HCC cell lines and 1 normal liver cell line, 16 pairs of tumor and corresponding paracarcinomatous tissues from HCC patients. Immunohistochemistry was performed to examine Nodal expression in HCC and corresponding paracarcinomatous tissues from 96 patients. CD34 and Vimentin were only examined in HCC tissues of patients mentioned above. Nodal gene was silenced by shRNA in MHCC97H and HCCLM3 cell lines, and cell migration and invasion were detected. Statistical analyses were applied to evaluate the prognostic value and associations of Nodal expression with clinical parameters.

RESULTS

Nodal expression was detected in HCC cell lines with high metastatic potential alone. Nodal expression is up-regulated in HCC tissues compared with paracarcinomatous and normal liver tissues. Nodal protein was expressed in 70 of the 96 (72.9%) HCC tumors, and was associated with vascular invasion (P = 0.000), status of metastasis (P = 0.004), AFP (P = 0.049), ICGR15 (indocyanine green retention rate at 15 min) (P = 0.010) and tumor size (P = 0.000). High Nodal expression was positively correlated with high MVD (microvessal density) (P = 0.006), but not with Vimentin expression (P = 0.053). Significantly fewer migrated and invaded cells were seen in shRNA group compared with blank group and negative control group (P<0.05). High Nodal expression was found to be an independent factor for predicting overall survival of HCC.

CONCLUSIONS

Our study demonstrated that Nodal expression is associated with aggressive characteristics of HCC. Its aberrant expression may be a predictive factor of unfavorable prognosis for HCC after surgery.

摘要

背景

Nodal是一种与转化生长因子-β(TGF-β)相关的胚胎形态发生素,参与多种生物学过程。然而,Nodal在肝细胞癌(HCC)中的表达及其与肿瘤血管生成、上皮-间质转化和预后的相关性尚不清楚。

方法

我们采用实时定量聚合酶链反应(PCR)和蛋白质免疫印迹法检测6种肝癌细胞系和1种正常肝细胞系、16对肝癌患者肿瘤组织及相应癌旁组织中Nodal的表达。采用免疫组织化学法检测96例肝癌患者肿瘤组织及相应癌旁组织中Nodal的表达。仅对上述患者的肝癌组织检测CD34和波形蛋白。在MHCC97H和HCCLM3细胞系中,通过短发夹RNA(shRNA)沉默Nodal基因,并检测细胞迁移和侵袭能力。应用统计学分析评估Nodal表达的预后价值及其与临床参数的相关性。

结果

仅在具有高转移潜能的肝癌细胞系中检测到Nodal表达。与癌旁组织和正常肝组织相比,肝癌组织中Nodal表达上调。96例肝癌肿瘤组织中有70例(72.9%)表达Nodal蛋白,且与血管侵犯(P = 0.000)、转移状态(P = 0.004)、甲胎蛋白(AFP)(P = 0.049)、15分钟吲哚菁绿潴留率(ICGR15)(P = 0.010)及肿瘤大小(P = 0.000)相关。Nodal高表达与高微血管密度(MVD)呈正相关(P = 0.006),但与波形蛋白表达无关(P = 0.053)。与空白组和阴性对照组相比,shRNA组迁移和侵袭的细胞明显减少(P<0.05)。发现Nodal高表达是预测肝癌患者总生存期的独立因素。

结论

我们的研究表明,Nodal表达与肝癌的侵袭性特征相关。其异常表达可能是肝癌术后预后不良的预测因素。

https://cdn.ncbi.nlm.nih.gov/pmc/blobs/24fb/3897529/32906bffc614/pone.0085840.g007.jpg
https://cdn.ncbi.nlm.nih.gov/pmc/blobs/24fb/3897529/751feda4ada5/pone.0085840.g001.jpg
https://cdn.ncbi.nlm.nih.gov/pmc/blobs/24fb/3897529/2ec505615dbb/pone.0085840.g002.jpg
https://cdn.ncbi.nlm.nih.gov/pmc/blobs/24fb/3897529/c362e0ef9a59/pone.0085840.g003.jpg
https://cdn.ncbi.nlm.nih.gov/pmc/blobs/24fb/3897529/da8a38d42aac/pone.0085840.g004.jpg
https://cdn.ncbi.nlm.nih.gov/pmc/blobs/24fb/3897529/6203b5eb781f/pone.0085840.g005.jpg
https://cdn.ncbi.nlm.nih.gov/pmc/blobs/24fb/3897529/298bcff3e0d5/pone.0085840.g006.jpg
https://cdn.ncbi.nlm.nih.gov/pmc/blobs/24fb/3897529/32906bffc614/pone.0085840.g007.jpg
https://cdn.ncbi.nlm.nih.gov/pmc/blobs/24fb/3897529/751feda4ada5/pone.0085840.g001.jpg
https://cdn.ncbi.nlm.nih.gov/pmc/blobs/24fb/3897529/2ec505615dbb/pone.0085840.g002.jpg
https://cdn.ncbi.nlm.nih.gov/pmc/blobs/24fb/3897529/c362e0ef9a59/pone.0085840.g003.jpg
https://cdn.ncbi.nlm.nih.gov/pmc/blobs/24fb/3897529/da8a38d42aac/pone.0085840.g004.jpg
https://cdn.ncbi.nlm.nih.gov/pmc/blobs/24fb/3897529/6203b5eb781f/pone.0085840.g005.jpg
https://cdn.ncbi.nlm.nih.gov/pmc/blobs/24fb/3897529/298bcff3e0d5/pone.0085840.g006.jpg
https://cdn.ncbi.nlm.nih.gov/pmc/blobs/24fb/3897529/32906bffc614/pone.0085840.g007.jpg

相似文献

1
Embryonic morphogen nodal is associated with progression and poor prognosis of hepatocellular carcinoma.胚胎形态发生素节点蛋白与肝细胞癌的进展及不良预后相关。
PLoS One. 2014 Jan 21;9(1):e85840. doi: 10.1371/journal.pone.0085840. eCollection 2014.
2
[Expression of Nodal in hepatocellular carcinoma and its relationship with angiogenesis and epithelial-mesenchymal transition].[结蛋白在肝细胞癌中的表达及其与血管生成和上皮-间质转化的关系]
Zhonghua Wai Ke Za Zhi. 2014 Mar;52(3):188-92.
3
MTBP Promotes the Invasion and Metastasis of Hepatocellular Carcinoma by Enhancing the MDM2-Mediated Degradation of E-Cadherin.MTBP通过增强MDM2介导的E-钙黏蛋白降解促进肝细胞癌的侵袭和转移。
Dig Dis Sci. 2015 Dec;60(12):3681-90. doi: 10.1007/s10620-015-3824-4. Epub 2015 Aug 18.
4
Role of IQGAP3 in metastasis and epithelial-mesenchymal transition in human hepatocellular carcinoma.IQGAP3 在人肝癌转移和上皮-间充质转化中的作用。
J Transl Med. 2017 Aug 15;15(1):176. doi: 10.1186/s12967-017-1275-8.
5
Fibulin-5 inhibits hepatocellular carcinoma cell migration and invasion by down-regulating matrix metalloproteinase-7 expression.纤连蛋白-5通过下调基质金属蛋白酶-7的表达来抑制肝癌细胞的迁移和侵袭。
BMC Cancer. 2014 Dec 12;14:938. doi: 10.1186/1471-2407-14-938.
6
Overexpression of chaperonin containing TCP1, subunit 3 predicts poor prognosis in hepatocellular carcinoma.含TCP1的伴侣蛋白亚基3的过表达预示着肝细胞癌的预后不良。
World J Gastroenterol. 2015 Jul 28;21(28):8588-604. doi: 10.3748/wjg.v21.i28.8588.
7
The expression of chitinase 3-like 1: a novel prognostic predictor for hepatocellular carcinoma.几丁质酶 3 样蛋白 1 的表达:一种用于预测肝细胞癌的新型预后标志物。
J Cancer Res Clin Oncol. 2013 Jun;139(6):1043-54. doi: 10.1007/s00432-013-1415-3. Epub 2013 Mar 23.
8
HCRP1 downregulation promotes hepatocellular carcinoma cell migration and invasion through the induction of EGFR activation and epithelial-mesenchymal transition.HCRP1 下调通过诱导 EGFR 激活和上皮-间充质转化促进肝癌细胞迁移和侵袭。
Biomed Pharmacother. 2017 Apr;88:421-429. doi: 10.1016/j.biopha.2017.01.013. Epub 2017 Jan 22.
9
The beta2-adrenergic receptor is a potential prognostic biomarker for human hepatocellular carcinoma after curative resection.β2-肾上腺素能受体是人肝癌根治性切除术后的一个潜在预后生物标志物。
Ann Surg Oncol. 2012 Oct;19(11):3556-65. doi: 10.1245/s10434-012-2396-1. Epub 2012 May 17.
10
High-level expression of HOXB13 is closely associated with tumor angiogenesis and poor prognosis of hepatocellular carcinoma.HOXB13的高表达与肿瘤血管生成及肝细胞癌的不良预后密切相关。
Int J Clin Exp Pathol. 2014 May 15;7(6):2925-33. eCollection 2014.

引用本文的文献

1
Genetically-encoded discovery of proteolytically stable bicyclic inhibitors for morphogen NODAL.用于形态发生素NODAL的蛋白水解稳定双环抑制剂的基因编码发现
Chem Sci. 2021 Jun 17;12(28):9694-9703. doi: 10.1039/d1sc01916c. eCollection 2021 Jul 21.
2
Embryonic protein NODAL regulates the breast tumor microenvironment by reprogramming cancer-derived secretomes.胚胎蛋白 NODAL 通过重编程癌症来源的分泌组来调节乳腺肿瘤微环境。
Neoplasia. 2021 Apr;23(4):375-390. doi: 10.1016/j.neo.2021.02.004. Epub 2021 Mar 27.
3
Biological effects of NODAL on endometrial cancer cells and its underlying mechanisms.

本文引用的文献

1
NANOG promotes liver cancer cell invasion by inducing epithelial-mesenchymal transition through NODAL/SMAD3 signaling pathway.NANOG 通过诱导上皮-间充质转化促进肝癌细胞侵袭通过 NODAL/SMAD3 信号通路。
Int J Biochem Cell Biol. 2013 Jun;45(6):1099-108. doi: 10.1016/j.biocel.2013.02.017. Epub 2013 Mar 7.
2
Nodal promotes invasive phenotypes via a mitogen-activated protein kinase-dependent pathway.Nodal 通过丝裂原活化蛋白激酶依赖性途径促进侵袭表型。
Oncogene. 2014 Jan 23;33(4):461-73. doi: 10.1038/onc.2012.608. Epub 2013 Jan 21.
3
Nodal signalling in embryogenesis and tumourigenesis.
NODAL对子宫内膜癌细胞的生物学效应及其潜在机制。
Exp Ther Med. 2021 Apr;21(4):402. doi: 10.3892/etm.2021.9833. Epub 2021 Feb 25.
4
TGFB1/INHBA Homodimer/Nodal-SMAD2/3 Signaling Network: A Pivotal Molecular Target in PDAC Treatment.TGFB1/INHBA 同源二聚体/Nodal-SMAD2/3 信号通路:PDAC 治疗的关键分子靶点。
Mol Ther. 2021 Mar 3;29(3):920-936. doi: 10.1016/j.ymthe.2021.01.002. Epub 2021 Jan 9.
5
Hydrocortisone Suppresses Early Paraneoplastic Inflammation And Angiogenesis To Attenuate Early Hepatocellular Carcinoma Progression In Rats.氢化可的松抑制大鼠早期副肿瘤炎症和血管生成,以减轻早期肝细胞癌进展。
Onco Targets Ther. 2019 Nov 8;12:9481-9493. doi: 10.2147/OTT.S224618. eCollection 2019.
6
MicroRNA-9 exerts antitumor effects on hepatocellular carcinoma progression by targeting HMGA2.微小RNA-9通过靶向HMGA2对肝细胞癌进展发挥抗肿瘤作用。
FEBS Open Bio. 2019 Oct;9(10):1784-1797. doi: 10.1002/2211-5463.12716. Epub 2019 Sep 20.
7
CHAF1A, the largest subunit of the chromatin assembly factor 1 complex, regulates the growth of H1299 human non-small cell lung cancer cells by inducing G0/G1 cell cycle arrest.CHAF1A是染色质组装因子1复合体的最大亚基,通过诱导G0/G1期细胞周期停滞来调节H1299人非小细胞肺癌细胞的生长。
Exp Ther Med. 2017 Nov;14(5):4681-4686. doi: 10.3892/etm.2017.5201. Epub 2017 Sep 25.
8
Nodal signaling promotes vasculogenic mimicry formation in breast cancer via the Smad2/3 pathway.Notch信号通过Smad2/3途径促进乳腺癌中血管生成拟态的形成。
Oncotarget. 2016 Oct 25;7(43):70152-70167. doi: 10.18632/oncotarget.12161.
9
Plasticity underlies tumor progression: role of Nodal signaling.可塑性是肿瘤进展的基础:Nodal信号通路的作用。
Cancer Metastasis Rev. 2016 Mar;35(1):21-39. doi: 10.1007/s10555-016-9605-5.
10
Expression and significance of Nodal in human cancers: a meta-analysis.Nodal在人类癌症中的表达及意义:一项荟萃分析
Int J Clin Exp Med. 2015 Nov 15;8(11):20227-35. eCollection 2015.
胚胎发生和肿瘤发生中的节点信号传导。
Int J Biochem Cell Biol. 2013 Apr;45(4):885-98. doi: 10.1016/j.biocel.2012.12.021. Epub 2013 Jan 3.
4
Embryonic morphogen nodal promotes breast cancer growth and progression.胚胎形态发生素 nodal 促进乳腺癌的生长和进展。
PLoS One. 2012;7(11):e48237. doi: 10.1371/journal.pone.0048237. Epub 2012 Nov 7.
5
Embryonic protein nodal promotes breast cancer vascularization.胚胎蛋白 nodal 促进乳腺癌血管生成。
Cancer Res. 2012 Aug 1;72(15):3851-63. doi: 10.1158/0008-5472.CAN-11-3951.
6
Nodal expression and detection in cancer: experience and challenges.淋巴结表达和检测在癌症中的应用:经验与挑战。
Cancer Res. 2012 Apr 15;72(8):1915-20. doi: 10.1158/0008-5472.CAN-11-3419.
7
Hepatocellular carcinoma.肝细胞癌。
Lancet. 2012 Mar 31;379(9822):1245-55. doi: 10.1016/S0140-6736(11)61347-0. Epub 2012 Feb 20.
8
Nodal/Activin signaling drives self-renewal and tumorigenicity of pancreatic cancer stem cells and provides a target for combined drug therapy.Nodal/Activin 信号通路驱动胰腺癌干细胞的自我更新和致瘤性,并为联合药物治疗提供了一个靶点。
Cell Stem Cell. 2011 Nov 4;9(5):433-46. doi: 10.1016/j.stem.2011.10.001.
9
Reactivation of embryonic nodal signaling is associated with tumor progression and promotes the growth of prostate cancer cells.胚胎节点信号的再激活与肿瘤进展相关,并促进前列腺癌细胞的生长。
Prostate. 2011 Aug 1;71(11):1198-209. doi: 10.1002/pros.21335. Epub 2011 Jan 12.
10
Nodal and activin receptor-like kinase 7 induce apoptosis in human breast cancer cell lines: Role of caspase 3.节点蛋白和激活素受体样激酶7诱导人乳腺癌细胞系凋亡:半胱天冬酶3的作用
Int J Physiol Pathophysiol Pharmacol. 2009 Feb 27;1(1):83-96.