Suppr超能文献

气肿性胆囊炎:病例报告及手术治疗方法的文献综述

Pneumobilia: a case report and literature review on its surgical approaches.

作者信息

Wong Chee Siong, Crotty James Maurice, Naqvi Syed Altaf

机构信息

Royal College of Surgeons in Ireland, Dublin, Ireland.

Department of Radiology, Limerick University Hospital, Limerick, Co. Limerick, Ireland.

出版信息

J Surg Tech Case Rep. 2013 Jan;5(1):27-31. doi: 10.4103/2006-8808.118616.

Abstract

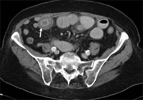
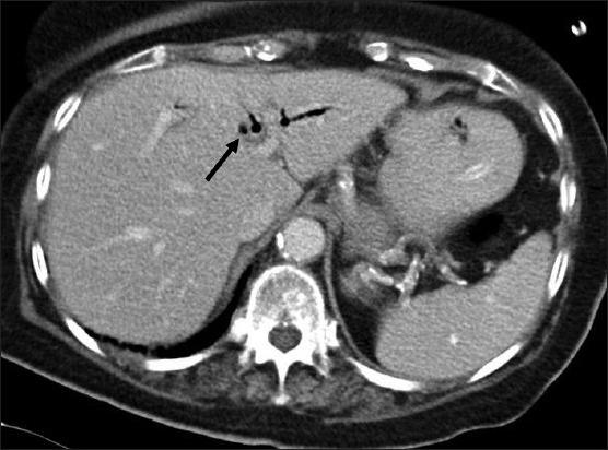
Gallstones ileus is an uncommon cause but important cause of small bowel obstruction. The gallstone enters the intestinal lumen via a fistula located in the duodenum (cholecystoduodenal), or rarely, in the colon (cholecystocolonic) or stomach (cholecystogastric). This may result in large bowel or gastric outlet obstruction (Bouveret's Syndrome). Gallstone ileus affects the elderly females pre-dominantly and is associated with a high morbidity and mortality rate if diagnosis and urgent surgical intervention are delayed. In this paper, we report on the case of an elderly lady who presented with classical symptoms and signs of small bowel obstruction. She was subsequently diagnosed with gallstone ileus due to a large gallstones lodged in the intestinal lumen. We perform a literature review on this rare disease and discuss the two main surgical approaches in managing this condition. Gallstone ileus should be considered in the differential diagnosis of small bowel obstruction especially in elderly women who have no history of abdominal surgery or abdominal hernia. Early intervention is important because of the high mortality rate due to the poor general condition that often exists in this subgroup of patients. There is no general consensus on gold standard surgical approach in these cases but a two-stage procedure (either enterotomy alone or enterotomy and subsequent cholecystectomy) has been shown to be associated with lower mortality rates.

摘要

胆石性肠梗阻是小肠梗阻的一种罕见但重要的病因。胆结石通过位于十二指肠的瘘管(胆囊十二指肠瘘)进入肠腔,或极少情况下通过位于结肠的瘘管(胆囊结肠瘘)或胃的瘘管(胆囊胃瘘)进入。这可能导致大肠或胃出口梗阻(布维耶综合征)。胆石性肠梗阻主要影响老年女性,如果诊断和紧急手术干预延迟,其发病率和死亡率较高。在本文中,我们报告了一例出现小肠梗阻典型症状和体征的老年女性病例。她随后被诊断为胆石性肠梗阻,原因是一枚大的胆结石嵌顿在肠腔内。我们对这种罕见疾病进行了文献综述,并讨论了治疗这种疾病的两种主要手术方法。在小肠梗阻的鉴别诊断中应考虑胆石性肠梗阻,尤其是在没有腹部手术或腹外疝病史的老年女性中。由于这类患者通常身体状况较差,死亡率较高,因此早期干预很重要。对于这些病例的金标准手术方法尚无普遍共识,但两阶段手术(单独肠切开术或肠切开术及随后的胆囊切除术)已被证明与较低的死亡率相关。

https://cdn.ncbi.nlm.nih.gov/pmc/blobs/296a/3889000/200d8481fac5/JSTCR-5-27-g001.jpg

文献AI研究员

20分钟写一篇综述,助力文献阅读效率提升50倍。

立即体验

用中文搜PubMed

大模型驱动的PubMed中文搜索引擎

马上搜索

文档翻译

学术文献翻译模型,支持多种主流文档格式。

立即体验