Suppr超能文献

应用 T1 和 T2 映射磁共振成像对二尖瓣钙化心内假性囊肿进行特征描述。

Characterization of a calcified intra-cardiac pseudocyst of the mitral valve by magnetic resonance imaging including T1 and T2 mapping.

机构信息

Division of General Radiology, Department of Radiology, Medical University of Graz, Auenbruggerplatz 9/P, Graz A-8036, Austria.

出版信息

BMC Cardiovasc Disord. 2014 Jan 28;14:11. doi: 10.1186/1471-2261-14-11.

Abstract

BACKGROUND

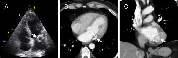
Even though intra-cardiac cystic lesions are extremely unusual in adults, they should be considered in the differential diagnosis of patients presenting with valvular masses. Cardiac magnetic resonance imaging has emerged as modality of choice for non-invasive characterization of cardiac masses.

CASE PRESENTATION

We report a case of an intra-cardiac mass of the mitral valve in a 51-year old male, detected by echocardiography after transient ischemic attack and retinal artery occlusion. Cardiac magnetic resonance (CMR) imaging was performed at 3 T to evaluate and characterize the lesion prior to surgery. Diagnosis of a calcified left-ventricular pseudocyst of the mitral valve was confirmed by histological evaluation.

CONCLUSIONS

This case presents the unusual finding of contrast uptake in an intra-cardiac cystic lesion and points to the potential of T1 and T2 mapping for assisting in the characterization and diagnosis of intra-cardiac masses by CMR.

摘要

背景

尽管心脏囊性病变在成年人中极为罕见,但在诊断出现瓣膜肿块的患者时应将其纳入鉴别诊断。心脏磁共振成像已成为心脏肿块无创特征描述的首选方法。

病例介绍

我们报告了一例 51 岁男性患者的心脏内二尖瓣肿块病例,该患者在短暂性脑缺血发作和视网膜动脉阻塞后经超声心动图检测到。进行了 3T 心脏磁共振成像(CMR)以在手术前评估和描述病变。通过组织学评估,诊断为左心室二尖瓣假性囊肿的钙化病变。

结论

该病例呈现出心脏囊性病变中对比摄取的罕见发现,并指出 T1 和 T2 映射在 CMR 辅助心脏肿块的特征描述和诊断中的潜在作用。

https://cdn.ncbi.nlm.nih.gov/pmc/blobs/2a14/3906877/9b876dd1903d/1471-2261-14-11-1.jpg

文献AI研究员

20分钟写一篇综述,助力文献阅读效率提升50倍。

立即体验

用中文搜PubMed

大模型驱动的PubMed中文搜索引擎

马上搜索

文档翻译

学术文献翻译模型,支持多种主流文档格式。

立即体验