Suppr超能文献

一种使用静息态功能磁共振成像识别脑干多巴胺能通路的方法。

An approach for identifying brainstem dopaminergic pathways using resting state functional MRI.

作者信息

Vytlacil Jason, Kayser Andrew, Miyakawa Asako, D'Esposito Mark

机构信息

Helen Wills Neuroscience Institute, University of California at Berkeley, Berkeley, California, United States of America ; Department of Psychology, University of California at Berkeley, Berkeley, California, United States of America.

Ernest Gallo Clinic & Research Center, University of California at San Francisco, San Francisco, California, United States of America.

出版信息

PLoS One. 2014 Jan 31;9(1):e87109. doi: 10.1371/journal.pone.0087109. eCollection 2014.

Abstract

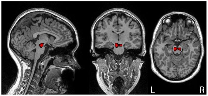
Here, we present an approach for identifying brainstem dopaminergic pathways using resting state functional MRI. In a group of healthy individuals, we searched for significant functional connectivity between dopamine-rich midbrain areas (substantia nigra; ventral tegmental area) and a striatal region (caudate) that was modulated by both a pharmacological challenge (the administration of the dopaminergic agonist bromocriptine) and a dopamine-sensitive cognitive trait (an individual's working memory capacity). A significant inverted-U shaped connectivity pattern was found in a subset of midbrain-striatal connections, demonstrating that resting state fMRI data is sufficiently powerful to identify brainstem neuromodulatory brain networks.

摘要

在此,我们提出一种利用静息态功能磁共振成像来识别脑干多巴胺能通路的方法。在一组健康个体中,我们探寻富含多巴胺的中脑区域(黑质;腹侧被盖区)与一个纹状体区域(尾状核)之间显著的功能连接,这种连接受到药理学激发(给予多巴胺能激动剂溴隐亭)和一种对多巴胺敏感的认知特质(个体的工作记忆能力)的调节。在中脑 - 纹状体连接的一个子集中发现了一种显著的倒U形连接模式,这表明静息态功能磁共振成像数据足以强大到能够识别脑干神经调节性脑网络。

https://cdn.ncbi.nlm.nih.gov/pmc/blobs/3a15/3909040/64457bd3e444/pone.0087109.g001.jpg

相似文献

1
An approach for identifying brainstem dopaminergic pathways using resting state functional MRI.
PLoS One. 2014 Jan 31;9(1):e87109. doi: 10.1371/journal.pone.0087109. eCollection 2014.
2
Loss of dopaminergic nigrostriatal neurons accounts for the motivational and affective deficits in Parkinson's disease.
Mol Psychiatry. 2014 Mar;19(3):358-67. doi: 10.1038/mp.2013.3. Epub 2013 Feb 12.
4
Mesencephalic dopamine neurons interfacing the shell of nucleus accumbens and the dorsolateral striatum in the rat.
J Neurosci Res. 2018 Sep;96(9):1518-1542. doi: 10.1002/jnr.24242. Epub 2018 Apr 25.
5
Fast transmission from the dopaminergic ventral midbrain to the sensory cortex of awake primates.
Brain Struct Funct. 2015 Nov;220(6):3273-94. doi: 10.1007/s00429-014-0855-0. Epub 2014 Aug 2.
6
Multiple value signals in dopaminergic midbrain and their role in avoidance contexts.
Neuroimage. 2016 Jul 15;135:197-203. doi: 10.1016/j.neuroimage.2016.04.062. Epub 2016 Apr 27.
7
Dopamine Modulates Adaptive Prediction Error Coding in the Human Midbrain and Striatum.
J Neurosci. 2017 Feb 15;37(7):1708-1720. doi: 10.1523/JNEUROSCI.1979-16.2016.
9
Control of the nigrostriatal dopamine neuron activity and motor function by the tail of the ventral tegmental area.
Neuropsychopharmacology. 2014 Nov;39(12):2788-98. doi: 10.1038/npp.2014.129. Epub 2014 Jun 4.
10
Dissecting the diversity of midbrain dopamine neurons.
Trends Neurosci. 2013 Jun;36(6):336-42. doi: 10.1016/j.tins.2013.03.003. Epub 2013 Apr 12.

引用本文的文献

1
Temporal fMRI Dynamics Map Dopamine Physiology.
bioRxiv. 2025 Mar 26:2025.03.24.645022. doi: 10.1101/2025.03.24.645022.
2
Impaired connectivity within neuromodulatory networks in multiple sclerosis and clinical implications.
J Neurol. 2020 Jul;267(7):2042-2053. doi: 10.1007/s00415-020-09806-3. Epub 2020 Mar 26.
4
Improving sensitivity, specificity, and reproducibility of individual brainstem activation.
Brain Struct Funct. 2019 Nov;224(8):2823-2838. doi: 10.1007/s00429-019-01936-3. Epub 2019 Aug 21.
7
The dopamine imbalance hypothesis of fatigue in multiple sclerosis and other neurological disorders.
Front Neurol. 2015 Mar 12;6:52. doi: 10.3389/fneur.2015.00052. eCollection 2015.
8
Dopamine, locus of control, and the exploration-exploitation tradeoff.
Neuropsychopharmacology. 2015 Jan;40(2):454-62. doi: 10.1038/npp.2014.193. Epub 2014 Jul 30.

本文引用的文献

1
The functional connectivity of the human caudate: an application of meta-analytic connectivity modeling with behavioral filtering.
Neuroimage. 2012 Mar;60(1):117-29. doi: 10.1016/j.neuroimage.2011.12.010. Epub 2011 Dec 14.
2
Inverted-U-shaped dopamine actions on human working memory and cognitive control.
Biol Psychiatry. 2011 Jun 15;69(12):e113-25. doi: 10.1016/j.biopsych.2011.03.028. Epub 2011 May 4.
3
The dopamine agonist bromocriptine differentially affects fronto-striatal functional connectivity during working memory.
Front Hum Neurosci. 2011 Mar 31;5:32. doi: 10.3389/fnhum.2011.00032. eCollection 2011.
4
A Bayesian model of shape and appearance for subcortical brain segmentation.
Neuroimage. 2011 Jun 1;56(3):907-22. doi: 10.1016/j.neuroimage.2011.02.046. Epub 2011 Feb 23.
5
The dopamine D2 receptor antagonist sulpiride modulates striatal BOLD signal during the manipulation of information in working memory.
Psychopharmacology (Berl). 2009 Nov;207(1):35-45. doi: 10.1007/s00213-009-1634-0. Epub 2009 Aug 12.
7
Effects of model-based physiological noise correction on default mode network anti-correlations and correlations.
Neuroimage. 2009 Oct 1;47(4):1448-59. doi: 10.1016/j.neuroimage.2009.05.012. Epub 2009 May 14.
8
The resting brain: unconstrained yet reliable.
Cereb Cortex. 2009 Oct;19(10):2209-29. doi: 10.1093/cercor/bhn256. Epub 2009 Feb 16.
9
Getting specialized: presynaptic and postsynaptic dopamine D2 receptors.
Curr Opin Pharmacol. 2009 Feb;9(1):53-8. doi: 10.1016/j.coph.2008.12.002. Epub 2009 Jan 8.
10
Resting-state functional connectivity reflects structural connectivity in the default mode network.
Cereb Cortex. 2009 Jan;19(1):72-8. doi: 10.1093/cercor/bhn059. Epub 2008 Apr 9.

文献AI研究员

20分钟写一篇综述,助力文献阅读效率提升50倍。

立即体验

用中文搜PubMed

大模型驱动的PubMed中文搜索引擎

马上搜索

文档翻译

学术文献翻译模型,支持多种主流文档格式。

立即体验