Suppr超能文献

免疫功能正常患者发生的致命性播散性毛霉病:一例报告及文献复习

Fatal disseminated mucormycosis in an immunocompotent patient: a case report and literature review.

作者信息

Sarrami Amir Hossein, Setareh Mehrdad, Izadinejad Masoud, Afshar-Moghaddam Noushin, Baradaran-Mahdavi Mohammad Mehdi, Meidani Mohsen

机构信息

Isfahan Neurosciences Research Center, Isfahan University of Medical Sciences, Isfahan, Iran.

Legal Medicine Center of Isfahan, Isfahan, Iran.

出版信息

Int J Prev Med. 2013 Dec;4(12):1468-71.

Abstract

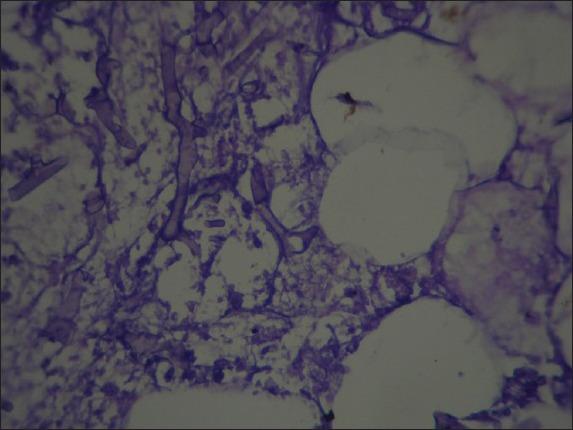
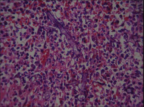
Disseminated mucormycosis is a rare entity most frequently seen in neutropenic patients with hematologic malignancies, post transplants or in patients on deferoxamine therapy. We report a 64-year-old immunocompetent male with an acute pneumonia and a generalized jaundice who died within 24 h. In the autopsy, extensive perforations of spleen and multiple hemorrhage foci on the pancreas were two significant findings. Histopathological study of tissue sections revealed typical zygomycetes hyphae in the left lung, pancreas, spleen and brain. Involvement of pancreas in this patient was one of the rare features of mucormycosis reported occasionally in the literature. Our case implies an unusual clinical presentation of disseminated mucormycosis and highlights that disseminated mucormycosis should be regarded even in the immunocompetent patients.

摘要

播散性毛霉菌病是一种罕见疾病,多见于患有血液系统恶性肿瘤的中性粒细胞减少患者、移植后患者或接受去铁胺治疗的患者。我们报告一例64岁免疫功能正常的男性,患有急性肺炎和全身黄疸,在24小时内死亡。尸检时,脾脏广泛穿孔和胰腺多处出血灶是两个重要发现。组织切片的组织病理学研究显示,左肺、胰腺、脾脏和大脑中有典型的接合菌菌丝。该患者胰腺受累是文献中偶尔报道的毛霉菌病罕见特征之一。我们的病例提示播散性毛霉菌病有不寻常的临床表现,并强调即使在免疫功能正常的患者中也应考虑播散性毛霉菌病。

https://cdn.ncbi.nlm.nih.gov/pmc/blobs/3c93/3898454/5a6e90fda294/IJPVM-4-1468-g001.jpg

文献AI研究员

20分钟写一篇综述,助力文献阅读效率提升50倍。

立即体验

用中文搜PubMed

大模型驱动的PubMed中文搜索引擎

马上搜索

文档翻译

学术文献翻译模型,支持多种主流文档格式。

立即体验