Suppr超能文献

与HIV感染和肝移植相关的接合菌病

Zygomycosis Associated with HIV Infection and Liver Transplantation.

作者信息

Nichols Larry, Ocque Rebecca Z, Daly Ivonne

机构信息

Department of Pathology, University of Pittsburgh Medical Center, A610 Scaife Hall, 200 Lothrop Street, Pittsburgh, PA 15213-2582, USA.

出版信息

Patholog Res Int. 2011 Jan 23;2011:545981. doi: 10.4061/2011/545981.

Abstract

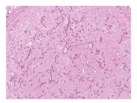
Zygomycosis is an increasing threat to patients with human immunodeficiency virus (HIV) infection. Zygomycosis (formerly called mucormycosis) is the fungal infection with Mucor, Rhizopus, or other species that share a common morphology of large empty pauciseptate hyphae with rare random-angle branching and a collapsed "twisted ribbon" appearance. Morphology allows a specific diagnosis on frozen section or smear prior to growth and identification of the fungi in culture which makes it improtant because treatment is different than that for more common mycoses such as candidiasis and aspergillosis. We present an informative and illustrative case of zygomycosis in a patient with HIV infection and liver transplantation.

摘要

接合菌病对人类免疫缺陷病毒(HIV)感染患者构成的威胁日益增加。接合菌病(以前称为毛霉病)是由毛霉、根霉或其他具有共同形态特征的菌种引起的真菌感染,这些菌种具有大的、空的、少隔的菌丝,罕见的随机角度分支以及塌陷的“扭曲带状”外观。这种形态学特征使得在真菌培养生长和鉴定之前,通过冷冻切片或涂片就能做出明确诊断,这一点很重要,因为其治疗方法与念珠菌病和曲霉病等更常见的霉菌感染不同。我们报告了一例HIV感染合并肝移植患者发生接合菌病的病例,该病例具有一定的参考价值且具有代表性。

https://cdn.ncbi.nlm.nih.gov/pmc/blobs/d67b/3034994/7dcdd7c036c1/PRI2011-545981.001.jpg

文献检索

告别复杂PubMed语法,用中文像聊天一样搜索,搜遍4000万医学文献。AI智能推荐,让科研检索更轻松。

立即免费搜索

文件翻译

保留排版,准确专业,支持PDF/Word/PPT等文件格式,支持 12+语言互译。

免费翻译文档

深度研究

AI帮你快速写综述,25分钟生成高质量综述,智能提取关键信息,辅助科研写作。

立即免费体验