Institute of Biomedical Technology, School of Medical Instruments and Food Engineering, University of Shanghai for Science and Technology, Shanghai, China ; LifeCell Corporation, Bridgewater, NJ, USA.
LifeCell Corporation, Bridgewater, NJ, USA.
J Tissue Eng. 2013 Sep 10;4:2041731413505305. doi: 10.1177/2041731413505305. eCollection 2013.
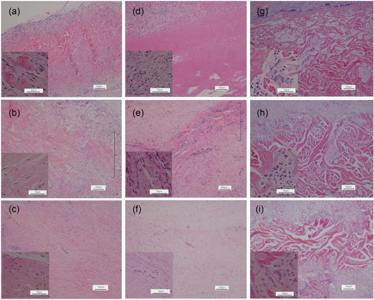
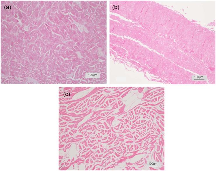
Extracellular matrices derived from animal tissues for human tissue repairs are processed by various methods of physical, chemical, or enzymatic decellularization, viral inactivation, and terminal sterilization. The mechanisms of action in tissue repair vary among bioscaffolds and are suggested to be associated with process-induced extracellular matrix modifications. We compared three non-cross-linked, commercially available extracellular matrix scaffolds (Strattice, Veritas, and XenMatrix), and correlated extracellular matrix alterations to in vivo biological responses upon implantation in non-human primates. Structural evaluation showed significant differences in retaining native tissue extracellular matrix histology and ultrastructural features among bioscaffolds. Tissue processing may cause both the condensation of collagen fibers and fragmentation or separation of collagen bundles. Calorimetric analysis showed significant differences in the stability of bioscaffolds. The intrinsic denaturation temperature was measured to be 51°C, 38°C, and 44°C for Strattice, Veritas, and XenMatrix, respectively, demonstrating more extracellular matrix modifications in the Veritas and XenMatrix scaffolds. Consequently, the susceptibility to collagenase degradation was increased in Veritas and XenMatrix when compared to their respective source tissues. Using a non-human primate model, three bioscaffolds were found to elicit different biological responses, have distinct mechanisms of action, and yield various outcomes of tissue repair. Strattice permitted cell repopulation and was remodeled over 6 months. Veritas was unstable at body temperature, resulting in rapid absorption with moderate inflammation. XenMatrix caused severe inflammation and sustained immune reactions. This study demonstrates that extracellular matrix alterations significantly affect biological responses in soft tissue repair and regeneration. The data offer useful insights into the rational design of extracellular matrix products and bioscaffolds of tissue engineering.
用于人类组织修复的动物组织来源的细胞外基质通过各种物理、化学或酶去细胞化、病毒灭活和终端灭菌方法进行处理。组织修复中的作用机制在生物支架之间有所不同,据推测与过程诱导的细胞外基质修饰有关。我们比较了三种非交联的、市售的细胞外基质支架(Strattice、Veritas 和 XenMatrix),并将细胞外基质的改变与在非人类灵长类动物体内植入时的体内生物学反应相关联。结构评估显示,生物支架在保留天然组织细胞外基质组织学和超微结构特征方面存在显著差异。组织处理可能导致胶原纤维的凝聚以及胶原束的碎片化或分离。量热分析显示生物支架的稳定性存在显著差异。固有变性温度分别为 Strattice、Veritas 和 XenMatrix 的 51°C、38°C 和 44°C,表明 Veritas 和 XenMatrix 支架中的细胞外基质修饰更多。因此,与各自的来源组织相比,Veritas 和 XenMatrix 中的胶原酶降解的易感性增加。在非人类灵长类动物模型中,发现三种生物支架引起不同的生物学反应,具有不同的作用机制,并产生不同的组织修复结果。Strattice 允许细胞再增殖并在 6 个月内进行重塑。Veritas 在体温下不稳定,导致快速吸收和中度炎症。XenMatrix 引起严重炎症和持续的免疫反应。本研究表明,细胞外基质的改变显著影响软组织修复和再生中的生物学反应。这些数据为细胞外基质产品和组织工程生物支架的合理设计提供了有用的见解。