Suppr超能文献

研究成年蛋白尿状态下足细胞-足细胞和基底膜基质连接,检测 podocin 和β-肌营养不良蛋白的表达。

Podocin and beta dystroglycan expression to study podocyte-podocyte and basement membrane matrix connections in adult protienuric states.

机构信息

Department of Histopathology, Post Graduate Institute of Medical Education and Research, Chandigarh 160012, India.

出版信息

Diagn Pathol. 2014 Feb 21;9:40. doi: 10.1186/1746-1596-9-40.

Abstract

BACKGROUND

Podocytes can be the primary site of injury or secondarily involved in various protienuric states. Cross talk between adjacent foot processes and with basement membrane is important for slit diaphragm function. Does expression of podocyte associated proteins in kidney biopsies alter with site/type of primary injury? Genetic mutations of podocin result in steroid resistant FSGS. Can protein expression of podocin predict resistant cases to initiate further genetic evaluation?

METHODS

Adult patients (n-88) with protienuria- minimal change disease(MCD)-22, focal segmental glomerulosclerosis(FSGS)-21,membranous glomerulonephritis(MGN)-25 and IgA nephropathy(IgAN)-20 were selected for immunohistochemistry with podocin and beta dystroglycan . Results were graded (0 - 3+scale )and compared with control biopsies and internal control. Treatment and follow up (6 months -2 ½ years) of FSGS and MCD cases were collected.

RESULTS

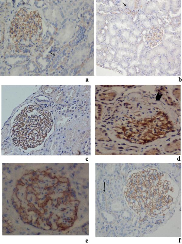
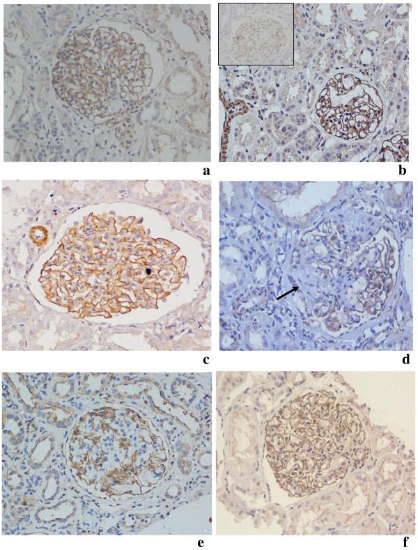
There was intense to moderate staining of the podocytes with podocin and β dystroglycan in the glomeruli in all cases (MCD, FSGS, IgAN and MGN) except for weak staining with β dystroglycan in 3 cases of MCD. There was loss of immunostains in areas of segmental/global sclerosis. There was no significant difference in the staining pattern between the groups. In primary podocytopathies, staining pattern did not differ between steroid resistant, sensitive or dependent cases.

CONCLUSIONS

Immunohistochemical expression of podocin and β dystroglycan does not differ in nephropathies which have different site of injury depending on absence (MCD and FSGS) or presence of immune deposits and their localization (MGN and IgAN). Podocin and β dystroglycan staining did not differentiate steroid sensitive and resistant cases, hence, does not give clue to initiate genetic studies. However, analysis of bigger cohort may be required.

SUMMARY

Podocin and β dystroglycan immunohistochemistry was done to analyze podocyte - podocyte and podocyte -basement membrane matrix connections in adult protienuric states. Primary podocytopathies i.e. MCD and FSGS and secondary podocytopathy due to immune complex deposition, i.e., MGN (subepithelial) and IgAN (mesangial) were analyzed. There was no difference in staining patterns between primary and secondary podocytopathies or between steroid sensitive, resistant and dependent cases of FSGS and MCD.

VIRTUAL SLIDES

The virtual slide(s) for this article can be found here: http://www.diagnosticpathology.diagnomx.eu/vs/2258608781052786.

摘要

背景

足细胞可成为损伤的主要部位,也可继发于各种蛋白尿状态。相邻足突之间以及与基膜的相互作用对于裂孔隔膜功能非常重要。肾活检中足细胞相关蛋白的表达是否会因原发损伤部位/类型而改变?足细胞足突蛋白的基因突变导致激素抵抗型 FSGS。足突蛋白的表达能否预测对激素抵抗的病例进行进一步的基因评估?

方法

选择蛋白尿患者进行免疫组化,包括微小病变病(MCD)22 例、局灶节段性肾小球硬化症(FSGS)21 例、膜性肾小球肾炎(MGN)25 例和 IgA 肾病(IgAN)20 例,用足细胞和β-肌联蛋白进行免疫组化染色。结果(0-3+ 评分)与对照组活检和内对照进行比较。收集 FSGS 和 MCD 病例的治疗和随访(6 个月至 2 年半)。

结果

除 3 例 MCD 患者β-肌联蛋白染色弱阳性外,所有病例(MCD、FSGS、IgAN 和 MGN)肾小球内足细胞均有强烈至中度的 podocin 和β-肌联蛋白染色,节段性/全球性硬化区免疫染色缺失。各组间染色模式无明显差异。在原发性足细胞病中,激素抵抗、敏感或依赖病例的染色模式无差异。

结论

根据免疫复合物沉积的有无及其定位(MGN 为上皮下,IgAN 为系膜区),不同部位损伤的肾病(MCD 和 FSGS 无免疫复合物沉积,而 MGN 和 IgAN 有免疫复合物沉积)之间,足细胞和β-肌联蛋白的免疫组化表达无差异。足突蛋白和β-肌联蛋白染色不能区分激素敏感和耐药病例,因此不能提示启动基因研究。然而,可能需要分析更大的队列。

总结

进行足突蛋白和β-肌联蛋白免疫组化分析,以分析成人蛋白尿状态下足细胞-足突和足细胞-基膜基质的连接。分析原发性足细胞病(MCD 和 FSGS)和继发性足细胞病(免疫复合物沉积所致,MGN(上皮下)和 IgAN(系膜区))。原发性和继发性足细胞病或 FSGS 和 MCD 激素敏感、耐药和依赖病例之间的染色模式无差异。

幻灯片

本文的虚拟幻灯片可在此处找到:http://www.diagnosticpathology.diagnomx.eu/vs/2258608781052786。

https://cdn.ncbi.nlm.nih.gov/pmc/blobs/71a5/3996081/a4677c979160/1746-1596-9-40-1.jpg

文献AI研究员

20分钟写一篇综述,助力文献阅读效率提升50倍。

立即体验

用中文搜PubMed

大模型驱动的PubMed中文搜索引擎

马上搜索

文档翻译

学术文献翻译模型,支持多种主流文档格式。

立即体验