Suppr超能文献

Drug delivery by tattooing to treat cutaneous leishmaniasis.

作者信息

Shio Marina Temi, Paquet Marilene, Martel Caroline, Bosschaerts Tom, Stienstra Stef, Olivier Martin, Fortin Anny

机构信息

1] Departments of Medicine and of Microbiology and Immunology, The Research Institute of the McGill University Health Centre, Faculty of Medicine, McGill University, 3775 University Street, Montreal, Canada [2] Department of Microbiology, Immunology and Parasitology, Universidade Federal de São Paulo, R. Botucatu 862, São Paulo, Brasil.

Département de pathologie et de microbiologie, Faculté de Médecine Vétérinaire, Université de Montréal, Sicotte 3200, St-Hyacinthe, Canada.

出版信息

Sci Rep. 2014 Feb 24;4:4156. doi: 10.1038/srep04156.

Abstract

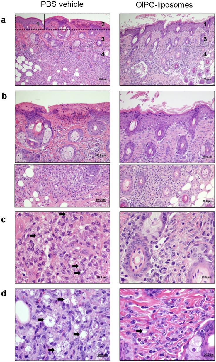
This study establishes a proof-of-concept that a tattoo device can target intra-dermal drug delivery against cutaneous leishmaniasis (CL). The selected drug is oleylphosphocholine (OlPC) formulated as liposomes, particles known to be prone to macrophage ingestion. We first show that treatment of cultured Leishmania-infected macrophages with OlPC-liposomes results in a direct dose-dependent killing of intracellular parasites. Based on this, in vivo efficacy is demonstrated using a 10 day tattooing-mediated treatment in mice infected with L. major and L. mexicana. In both models this regimen results in rapid clinical recovery with complete regression of skin lesions by Day 28. Parasite counts and histopathology examination confirm high treatment efficacy at the parasitic level. Low amount of drug required for tattooing combined with fast clinical recovery may have a positive impact on CL patient management. This first example of tattoo-mediated drug delivery could open to new therapeutic interventions in the treatment of skin diseases.

摘要
https://cdn.ncbi.nlm.nih.gov/pmc/blobs/8e6a/3932479/8c474921ef37/srep04156-f1.jpg

文献AI研究员

20分钟写一篇综述,助力文献阅读效率提升50倍。

立即体验

用中文搜PubMed

大模型驱动的PubMed中文搜索引擎

马上搜索

文档翻译

学术文献翻译模型,支持多种主流文档格式。

立即体验