• 文献检索
  • 文档翻译
  • 深度研究
  • 学术资讯
  • Suppr Zotero 插件Zotero 插件
  • 邀请有礼
  • 套餐&价格
  • 历史记录
应用&插件
Suppr Zotero 插件Zotero 插件浏览器插件Mac 客户端Windows 客户端微信小程序
定价
高级版会员购买积分包购买API积分包
服务
文献检索文档翻译深度研究API 文档MCP 服务
关于我们
关于 Suppr公司介绍联系我们用户协议隐私条款
关注我们

Suppr 超能文献

核心技术专利:CN118964589B侵权必究
粤ICP备2023148730 号-1Suppr @ 2026

文献检索

告别复杂PubMed语法,用中文像聊天一样搜索,搜遍4000万医学文献。AI智能推荐,让科研检索更轻松。

立即免费搜索

文件翻译

保留排版,准确专业,支持PDF/Word/PPT等文件格式,支持 12+语言互译。

免费翻译文档

深度研究

AI帮你快速写综述,25分钟生成高质量综述,智能提取关键信息,辅助科研写作。

立即免费体验

耻骨上前列腺切除术中发现的前列腺假肉瘤样纤维黏液样肿瘤。

Pseudosarcomatous fibromyxoid tumor of the prostate revealed on suprapubic prostatectomy.

作者信息

Toksoz Serdar, Kervancioglu Enis, Atılgan Alev Ok, Güvel Sezgin

机构信息

Department of Urology, Baskent University School of Medicine, Ankara, Turkey.

Department of Pathology, Baskent University School of Medicine, Ankara, Turkey.

出版信息

Cent European J Urol. 2012;65(2):98-9. doi: 10.5173/ceju.2012.02.art12. Epub 2012 Jun 12.

DOI:10.5173/ceju.2012.02.art12
PMID:24578941
原文链接:https://pmc.ncbi.nlm.nih.gov/articles/PMC3921774/
Abstract

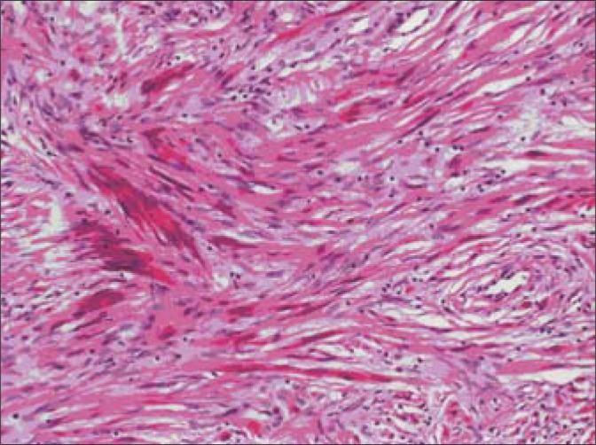
We report a rare case of inflammatory pseudotumor of the prostate revealed on suprapubic prostatectomy. A 70-year-old man presented with nocturia, urgency and difficulty in voiding. The histopathological examination of the suprapubic adenomectomy specimen reported fibromyxoid pseudosarcomatous tumor (inflammatory prostatic pseudotumor). It is important to take this benign lesion under consideration to avoid unnecessary aggressive radical complementary treatments.

摘要

我们报告了一例经耻骨上前列腺切除术发现的罕见前列腺炎性假瘤病例。一名70岁男性出现夜尿、尿急和排尿困难。耻骨上腺瘤切除标本的组织病理学检查报告为纤维黏液样假肉瘤性肿瘤(炎性前列腺假瘤)。考虑到这种良性病变很重要,以避免不必要的积极根治性辅助治疗。

https://cdn.ncbi.nlm.nih.gov/pmc/blobs/6719/3921774/8d16637d15a4/CEJU-65-00187-g004.jpg
https://cdn.ncbi.nlm.nih.gov/pmc/blobs/6719/3921774/555637e17da2/CEJU-65-00187-g001.jpg
https://cdn.ncbi.nlm.nih.gov/pmc/blobs/6719/3921774/f46962a06899/CEJU-65-00187-g002.jpg
https://cdn.ncbi.nlm.nih.gov/pmc/blobs/6719/3921774/925e8670e04a/CEJU-65-00187-g003.jpg
https://cdn.ncbi.nlm.nih.gov/pmc/blobs/6719/3921774/8d16637d15a4/CEJU-65-00187-g004.jpg
https://cdn.ncbi.nlm.nih.gov/pmc/blobs/6719/3921774/555637e17da2/CEJU-65-00187-g001.jpg
https://cdn.ncbi.nlm.nih.gov/pmc/blobs/6719/3921774/f46962a06899/CEJU-65-00187-g002.jpg
https://cdn.ncbi.nlm.nih.gov/pmc/blobs/6719/3921774/925e8670e04a/CEJU-65-00187-g003.jpg
https://cdn.ncbi.nlm.nih.gov/pmc/blobs/6719/3921774/8d16637d15a4/CEJU-65-00187-g004.jpg

相似文献

1
Pseudosarcomatous fibromyxoid tumor of the prostate revealed on suprapubic prostatectomy.耻骨上前列腺切除术中发现的前列腺假肉瘤样纤维黏液样肿瘤。
Cent European J Urol. 2012;65(2):98-9. doi: 10.5173/ceju.2012.02.art12. Epub 2012 Jun 12.
2
[Inflammatory prostatic pseudotumor (fibromyxoid pseudosarcomatous tumor)].
Arch Esp Urol. 2004 Jul-Aug;57(6):657-60.
3
Pseudosarcomatous Fibromyxoid Tumor of the Prostate: A Rare Benign Lesion Mimicking Malignancy.前列腺假肉瘤样纤维黏液样肿瘤:一种罕见的酷似恶性肿瘤的良性病变。
Cureus. 2024 Mar 20;16(3):e56594. doi: 10.7759/cureus.56594. eCollection 2024 Mar.
4
[Inflammatory pseudotumor of the prostate: a case report].
Hinyokika Kiyo. 2005 Nov;51(11):767-70.
5
Pseudosarcomatous fibromyxoid tumor of the prostate. A case report with review of the literature.
Urol Int. 1996;57(4):249-51. doi: 10.1159/000282926.
6
Robotic Assisted Laparoscopic Partial Cystectomy as Treatment for Pseudosarcomatous Fibromyxoid Tumor of the Bladder.机器人辅助腹腔镜膀胱部分切除术治疗膀胱假肉瘤性纤维黏液样肿瘤
Urol Case Rep. 2017 Mar 25;12:56-58. doi: 10.1016/j.eucr.2017.02.009. eCollection 2017 May.
7
Pseudosarcomatous fibromyxoid tumor of the prostate.前列腺假肉瘤样纤维黏液样肿瘤
Scand J Urol Nephrol. 2003;37(1):85-7. doi: 10.1080/00365590310008776.
8
[Pseudosarcomatous fibromyxoid tumor of the prostate: report of a case].[前列腺假肉瘤样纤维黏液样肿瘤:1例报告]
Ann Urol (Paris). 2003 Feb;37(1):40-2. doi: 10.1016/s0003-4401(02)00003-7.
9
Pseudosarcomatous fibromyxoid tumor of the prostate.前列腺假肉瘤样纤维黏液样肿瘤
ScientificWorldJournal. 2011 May 5;11:1027-30. doi: 10.1100/tsw.2011.87.
10
Cardiac pseudosarcomatous fibromyxoid tumor: a review of the literature.心脏假肉瘤样纤维黏液样肿瘤:文献综述
J Comput Assist Tomogr. 2005 Nov-Dec;29(6):749-51. doi: 10.1097/01.rct.0000182855.98144.15.

本文引用的文献

1
Pseudosarcomatous fibromyxoid tumor of the prostate.前列腺假肉瘤样纤维黏液样肿瘤
Scand J Urol Nephrol. 2003;37(1):85-7. doi: 10.1080/00365590310008776.
2
Pseudosarcomatous fibromyxoid tumor of the prostate. A case report with review of the literature.
Urol Int. 1996;57(4):249-51. doi: 10.1159/000282926.
3
An atypical fibromyxoid tumor of the prostate.前列腺非典型纤维黏液样肿瘤。
Cancer. 1984 Dec 1;54(11):2500-4. doi: 10.1002/1097-0142(19841201)54:11<2500::aid-cncr2820541131>3.0.co;2-y.
4
Postoperative spindle cell nodules of genitourinary tract resembling sarcomas. A report of eight cases.术后泌尿生殖道梭形细胞结节,类似肉瘤。八例报告。
Am J Surg Pathol. 1984 Feb;8(2):101-8. doi: 10.1097/00000478-198402000-00003.