Suppr超能文献

SHP-1 的表达增加与鼻咽癌患者放疗后局部复发有关。

Increased expression of SHP-1 is associated with local recurrence after radiotherapy in patients with nasopharyngeal carcinoma.

机构信息

Cancer Center of Union Hospital, Tongji Medical College, Huazhong University of Science and Technology, Wuhan, Hubei, People's Republic of China.

出版信息

Radiol Oncol. 2014 Jan 22;48(1):40-9. doi: 10.2478/raon-2014-0001. eCollection 2014 Mar.

Abstract

BACKGROUND

Nasopharyngeal carcinoma (NPC) is a major cancer in southern China. Src homology phosphatase-1 (SHP-1) is a tyrosine phosphatase that regulates growth, differentiation, cell cycle progression, and oncogenesis. We determined the clinical significance of SHP-1 expression in the tumours of NPC patients from southern China who were treated with radiotherapy.

PATIENTS AND METHODS

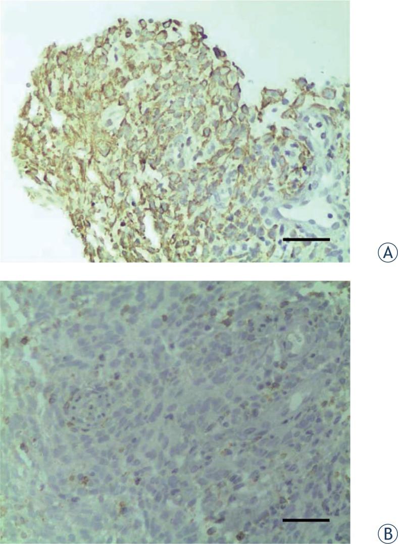
SHP-1 expression was determined by real-time polymerase chain reaction (PCR) and western blotting of NPC tissue samples of 50 patients and nasopharyngeal tissues of 50 non-NPC patients who had chronic nasopharyngeal inflammation. SHP-1 expression was measured in NPC tissue samples of 206 patients by immunohistochemistry and survival analysis was performed.

RESULTS

The tumours of NPC patients had significantly increased expression of SHP-1 at mRNA and protein levels relative to patients with chronic nasopharyngeal inflammation. Survival analysis of NPC patients indicated that SHP-1 expression was significantly associated with poor local recurrence-free survival (p = 0.008), but not with nodal recurrence-free survival, distant metastasis-free survival, or overall survival.

CONCLUSIONS

SHP-1 appears to be associated with radiation resistance of NPC cells and can be considered as a candidate marker for prognosis and/or therapeutic target in patients with this type of cancer.

摘要

背景

鼻咽癌(NPC)是中国南方地区的一种主要癌症。Src 同源磷酸酶-1(SHP-1)是一种酪氨酸磷酸酶,可调节生长、分化、细胞周期进程和致癌作用。我们测定了经放疗治疗的中国南方 NPC 患者肿瘤中 SHP-1 表达的临床意义。

患者与方法

采用实时聚合酶链反应(PCR)和 Western blot 法检测 50 例 NPC 患者和 50 例患有慢性鼻咽部炎症的非 NPC 患者的 NPC 组织样本中的 SHP-1 表达,采用免疫组化法检测 206 例 NPC 患者的 NPC 组织样本中的 SHP-1 表达,并进行生存分析。

结果

与慢性鼻咽部炎症患者相比,NPC 患者的肿瘤在 mRNA 和蛋白水平上均显著增加 SHP-1 的表达。NPC 患者的生存分析表明,SHP-1 表达与局部无复发生存不良显著相关(p=0.008),但与无淋巴结复发生存、无远处转移生存或总生存无关。

结论

SHP-1 似乎与 NPC 细胞的放射抵抗有关,可作为该类型癌症患者预后和/或治疗靶点的候选标志物。

https://cdn.ncbi.nlm.nih.gov/pmc/blobs/902b/3908846/a8dda80f7fca/rado-48-01-40f1.jpg

文献检索

告别复杂PubMed语法,用中文像聊天一样搜索,搜遍4000万医学文献。AI智能推荐,让科研检索更轻松。

立即免费搜索

文件翻译

保留排版,准确专业,支持PDF/Word/PPT等文件格式,支持 12+语言互译。

免费翻译文档

深度研究

AI帮你快速写综述,25分钟生成高质量综述,智能提取关键信息,辅助科研写作。

立即免费体验