Suppr超能文献

能高灵敏度检测多种传染性海绵状脑病病原体的朊病毒蛋白特异性抗体。

Prion protein-specific antibodies that detect multiple TSE agents with high sensitivity.

作者信息

McCutcheon Sandra, Langeveld Jan P M, Tan Boon Chin, Gill Andrew C, de Wolf Christopher, Martin Stuart, Gonzalez Lorenzo, Alibhai James, Blanco A Richard Alejo, Campbell Lauren, Hunter Nora, Houston E Fiona

机构信息

Neurobiology Division, The Roslin Institute and Royal (Dick) School of Veterinary Sciences, Easter Bush, Edinburgh, Scotland, United Kingdom.

Central Veterinary Institute of Wageningen UR, Lelystad, The Netherlands.

出版信息

PLoS One. 2014 Mar 7;9(3):e91143. doi: 10.1371/journal.pone.0091143. eCollection 2014.

Abstract

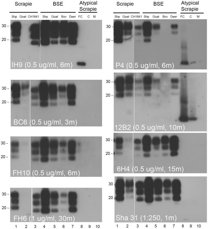
This paper describes the generation, characterisation and potential applications of a panel of novel anti-prion protein monoclonal antibodies (mAbs). The mAbs were generated by immunising PRNP null mice, using a variety of regimes, with a truncated form of recombinant ovine prion protein spanning residues 94-233. Epitopes of specific antibodies were mapped using solid-phase Pepscan analysis and clustered to four distinct regions within the PrP molecule. We have demonstrated the utility of these antibodies by use of Western blotting and immunohistochemistry in tissues from a range of different species affected by transmissible spongiform encephalopathy (TSE). In comparative tests against extensively-used and widely-published, commercially available antibodies, similar or improved results can be obtained using these new mAbs, specifically in terms of sensitivity of detection. Since many of these antibodies recognise native PrPC, they could also be applied to a broad range of immunoassays such as flow cytometry, DELFIA analysis or immunoprecipitation. We are using these reagents to increase our understanding of TSE pathogenesis and for use in potential diagnostic screening assays.

摘要

本文描述了一组新型抗朊病毒蛋白单克隆抗体(mAb)的产生、表征及潜在应用。这些单克隆抗体是通过多种方案,用截短形式的重组羊朊病毒蛋白(跨越94 - 233位氨基酸残基)免疫PRNP基因敲除小鼠而产生的。使用固相Pepscan分析对特异性抗体的表位进行定位,并将其聚集到PrP分子内的四个不同区域。我们通过蛋白质印迹法和免疫组织化学方法,在一系列受传染性海绵状脑病(TSE)影响的不同物种的组织中证明了这些抗体的实用性。在与广泛使用和大量发表的市售抗体的对比试验中,使用这些新的单克隆抗体可获得相似或更好的结果,特别是在检测灵敏度方面。由于这些抗体中的许多都能识别天然PrPC,它们还可应用于广泛的免疫分析,如流式细胞术、时间分辨荧光免疫分析(DELFIA)或免疫沉淀。我们正在使用这些试剂来加深对TSE发病机制的理解,并用于潜在的诊断筛查试验。

https://cdn.ncbi.nlm.nih.gov/pmc/blobs/b6ad/3946747/6799f3f018ef/pone.0091143.g001.jpg

文献AI研究员

20分钟写一篇综述,助力文献阅读效率提升50倍。

立即体验

用中文搜PubMed

大模型驱动的PubMed中文搜索引擎

马上搜索

文档翻译

学术文献翻译模型,支持多种主流文档格式。

立即体验