Suppr超能文献

安卡菲德止血剂预防术后心包粘连的疗效评估。

Assessment of the efficacy of Ankaferd blood stopper on the prevention of postoperative pericardial adhesions.

作者信息

Nazli Yunus, Colak Necmettin, Alpay Mehmet Fatih, Haltas Hacer, Aksoy Omer Nuri, Akkaya Ismail Olgun, Cakir Omer

机构信息

Department of Cardiovascular Surgery, University of Turgut Ozal, Ankara, Turkey.

Department of Pathology, University of Turgut Ozal, Ankara, Turkey.

出版信息

Cardiovasc J Afr. 2014 May-Jun;25(3):100-5. doi: 10.5830/CVJA-2014-011. Epub 2014 Mar 14.

Abstract

OBJECTIVES

Ankaferd has been used as a blood-stopping agent and it may also have an anti-inflammatory effect. We investigated the efficacy of Ankaferd in preventing postoperative pericardial adhesions in an experimental rabbit model.

METHODS

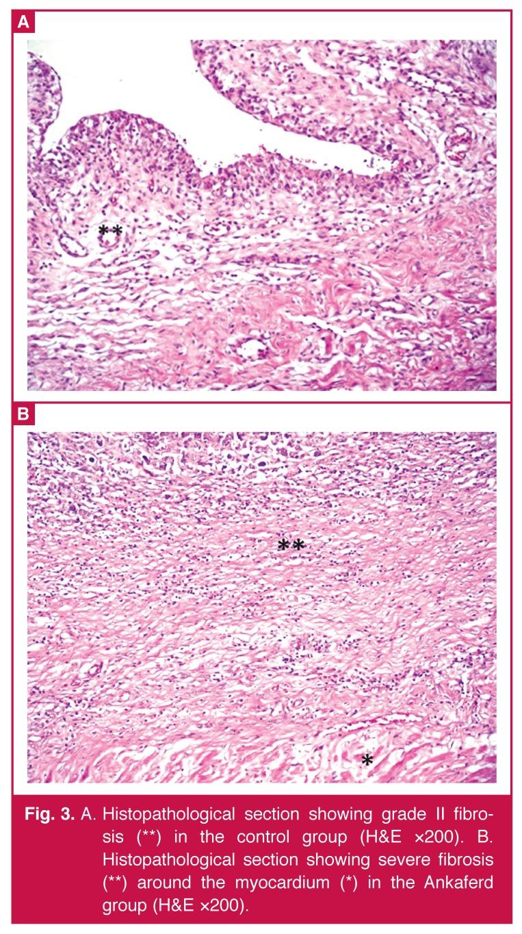
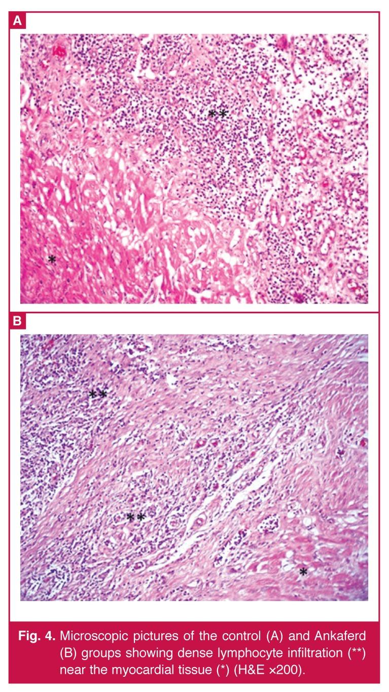
Sixteen New Zealand white rabbits were used and categorised into two groups: an Ankaferd and a control group. The Ankaferd group of rabbits was treated with a sponge impregnated with Ankaferd solution, which was applied over the abraded epicardium. A sponge impregnated with 0.9% isotonic NaCl solution was applied to the control group using the same protocol. Scores for adhesion and visibility of coronary vessels were graded by macroscopic examination, and pericardial tissues were analysed microscopically in terms of inflammation and fibrosis.

RESULTS

In the Ankaferd group, the adhesion scores were significantly higher than in the control group (p = 0.007). When the groups were compared according to the prevalence of fibrosis and degree of inflammation, the Ankaferd group was found to be statistically significantly different from the control group in terms of prevalence of fibrosis (p = 0.028).

CONCLUSIONS

Topical application of Ankaferd to prevent postoperative pericardial adhesions increased adhesion and fibrosis scores.

摘要

目的

安卡非德一直被用作止血剂,它可能还具有抗炎作用。我们在实验性兔模型中研究了安卡非德预防术后心包粘连的疗效。

方法

使用16只新西兰白兔,分为两组:安卡非德组和对照组。给安卡非德组的兔子使用浸有安卡非德溶液的海绵,将其敷于磨损的心外膜上。按照相同方案给对照组使用浸有0.9%等渗氯化钠溶液的海绵。通过宏观检查对粘连和冠状动脉血管可见度进行评分,并对心包组织进行炎症和纤维化方面的显微镜分析。

结果

在安卡非德组,粘连评分显著高于对照组(p = 0.007)。当根据纤维化发生率和炎症程度对两组进行比较时,发现安卡非德组在纤维化发生率方面与对照组有统计学显著差异(p = 0.028)。

结论

局部应用安卡非德预防术后心包粘连会增加粘连和纤维化评分。

https://cdn.ncbi.nlm.nih.gov/pmc/blobs/5b82/4120133/df21d20f5a8d/cvja-25-102-g001.jpg

文献检索

告别复杂PubMed语法,用中文像聊天一样搜索,搜遍4000万医学文献。AI智能推荐,让科研检索更轻松。

立即免费搜索

文件翻译

保留排版,准确专业,支持PDF/Word/PPT等文件格式,支持 12+语言互译。

免费翻译文档

深度研究

AI帮你快速写综述,25分钟生成高质量综述,智能提取关键信息,辅助科研写作。

立即免费体验