Suppr超能文献

牛晶状体多催化蛋白酶复合体亚基的共同表位

Common epitopes of bovine lens multicatalytic-proteinase-complex subunits.

作者信息

Wagner B J, Margolis J W

机构信息

Department of Biochemistry, University of Medicine and Dentistry of New Jersey-New Jersey Medical School, Newark 07103.

出版信息

Biochem J. 1989 Jan 1;257(1):265-9. doi: 10.1042/bj2570265.

Abstract

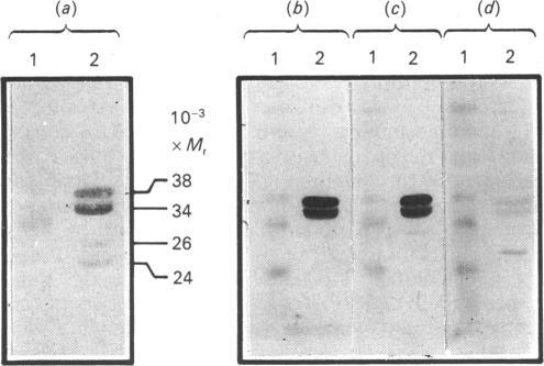
Component polypeptides of both the bovine lens and pituitary multicatalytic proteinase complexes demonstrate different immunoreactivities with a polyclonal antiserum raised against the purified pituitary enzyme. Four (Mr 24000, 26000, 34000 and 38000) of eight bands that have been resolved by SDS/polyacrylamide-gel electrophoresis are stained in immunoblot experiments. Monospecific antibodies obtained from this antiserum by affinity purification from the 38000- and 34000-Mr bands of the lens enzyme bound equally well to either band, but showed little or no binding to the 26000- and 24000-Mr bands upon immunoblotting. Antibody affinity-purified from the 24000-Mr band showed comparable binding to the 24000-, 34000- or 38000-Mr band. One explanation of these results is that the 24000-Mr polypeptide is derived from the higher-Mr polypeptide(s) and has lost some of the common immunodeterminants.

摘要

牛晶状体和垂体多催化蛋白酶复合物的组成多肽,与针对纯化的垂体酶产生的多克隆抗血清表现出不同的免疫反应性。通过SDS/聚丙烯酰胺凝胶电泳分离出的八条带中的四条(分子量分别为24000、26000、34000和38000),在免疫印迹实验中被染色。通过从晶状体酶的38000和34000分子量条带进行亲和纯化,从该抗血清中获得的单特异性抗体与这两条带的结合效果相同,但在免疫印迹时与26000和24000分子量条带几乎没有或没有结合。从24000分子量条带亲和纯化的抗体与24000、34000或38000分子量条带表现出相当的结合。这些结果的一种解释是,24000分子量的多肽源自较高分子量的多肽,并且已经失去了一些共同的免疫决定簇。

https://cdn.ncbi.nlm.nih.gov/pmc/blobs/cc19/1135565/7c7ae0baa7df/biochemj00216-0261-a.jpg

文献检索

告别复杂PubMed语法,用中文像聊天一样搜索,搜遍4000万医学文献。AI智能推荐,让科研检索更轻松。

立即免费搜索

文件翻译

保留排版,准确专业,支持PDF/Word/PPT等文件格式,支持 12+语言互译。

免费翻译文档

深度研究

AI帮你快速写综述,25分钟生成高质量综述,智能提取关键信息,辅助科研写作。

立即免费体验