Suppr超能文献

冯·希佩尔-林道病中小脑转移性肾癌与小脑成血管细胞瘤的组织学鉴别。

Histological differentiation of metastatic renal carcinoma in the cerebellum from cerebellar haemangioblastoma in von Hippel-Lindau's disease.

作者信息

Clelland C A, Treip C S

机构信息

Department of Histopathology, John Bonnet Laboratories, Addenbrookes Hospital, Cambridge, UK.

出版信息

J Neurol Neurosurg Psychiatry. 1989 Feb;52(2):162-6. doi: 10.1136/jnnp.52.2.162.

Abstract

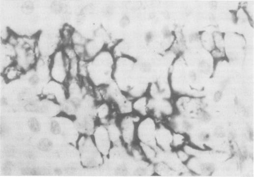
Two cases of von Hippel-Lindau's disease with special reference to the occurrence of renal carcinoma are presented. The first case demonstrates the difficulty of differentiating cerebellar haemangioblastoma from metastatic renal carcinoma affecting the cerebellum. The valuable differentiating histological features were positive staining of metastatic renal carcinoma by antiepithelial membrane antigen (anti-EMA) and the demonstration of a distinct pattern of packeting of cells by staining reticulin fibres. Staining with periodic acid Schiff and cytokeratin antibody (anti-CK) were not found to be useful. The second case exhibits the wide variety of neoplasms which may be present in von Hippel-Lindau's disease. Special stains support the findings of the first case.

摘要

本文报告两例von Hippel-Lindau病,并特别提及肾癌的发生情况。第一例显示了区分小脑血管母细胞瘤与影响小脑的转移性肾癌的困难。有价值的鉴别组织学特征是转移性肾癌对抗上皮膜抗原(抗EMA)呈阳性染色,以及通过网状纤维染色显示出明显的细胞包裹模式。未发现过碘酸希夫染色和细胞角蛋白抗体(抗CK)染色有用。第二例展示了von Hippel-Lindau病中可能出现的多种肿瘤。特殊染色支持第一例的结果。

https://cdn.ncbi.nlm.nih.gov/pmc/blobs/2693/1032500/f60dbe8815bb/jnnpsyc00524-0012-a.jpg

文献检索

告别复杂PubMed语法,用中文像聊天一样搜索,搜遍4000万医学文献。AI智能推荐,让科研检索更轻松。

立即免费搜索

文件翻译

保留排版,准确专业,支持PDF/Word/PPT等文件格式,支持 12+语言互译。

免费翻译文档

深度研究

AI帮你快速写综述,25分钟生成高质量综述,智能提取关键信息,辅助科研写作。

立即免费体验