Laboratory of Molecular Oncology, Clinical Research Institute of Montréal, Montréal, Québec H2W 1R7, Canada.
J Exp Med. 2014 Apr 7;211(4):727-42. doi: 10.1084/jem.20132038. Epub 2014 Mar 31.
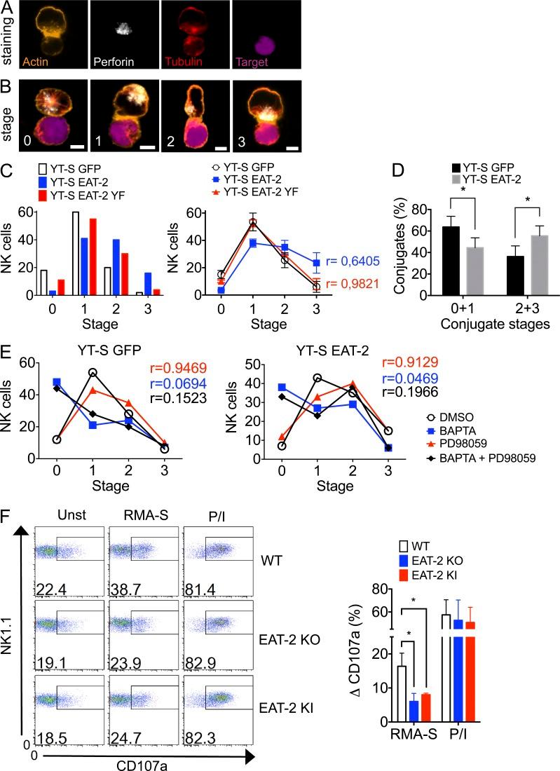
Ewing's sarcoma-associated transcript 2 (EAT-2) is an Src homology 2 domain-containing intracellular adaptor related to signaling lymphocytic activation molecule (SLAM)-associated protein (SAP), the X-linked lymphoproliferative gene product. Both EAT-2 and SAP are expressed in natural killer (NK) cells, and their combined expression is essential for NK cells to kill abnormal hematopoietic cells. SAP mediates this function by coupling SLAM family receptors to the protein tyrosine kinase Fyn and the exchange factor Vav, thereby promoting conjugate formation between NK cells and target cells. We used a variety of genetic, biochemical, and imaging approaches to define the molecular and cellular mechanisms by which EAT-2 controls NK cell activation. We found that EAT-2 mediates its effects in NK cells by linking SLAM family receptors to phospholipase Cγ, calcium fluxes, and Erk kinase. These signals are triggered by one or two tyrosines located in the carboxyl-terminal tail of EAT-2 but not found in SAP. Unlike SAP, EAT-2 does not enhance conjugate formation. Rather, it accelerates polarization and exocytosis of cytotoxic granules toward hematopoietic target cells. Hence, EAT-2 promotes NK cell activation by molecular and cellular mechanisms distinct from those of SAP. These findings explain the cooperative and essential function of these two adaptors in NK cell activation.
Ewing 肉瘤相关转录物 2(EAT-2)是一种含有Src 同源 2 结构域的细胞内衔接蛋白,与信号淋巴细胞激活分子(SLAM)相关蛋白(SAP)有关,SAP 是 X 连锁淋巴组织增生性基因产物。EAT-2 和 SAP 均在自然杀伤(NK)细胞中表达,它们的共同表达对于 NK 细胞杀死异常造血细胞至关重要。SAP 通过将 SLAM 家族受体与蛋白酪氨酸激酶 Fyn 和交换因子 Vav 偶联,从而促进 NK 细胞与靶细胞之间的共轭形成,从而介导这种功能。我们使用多种遗传、生化和成像方法来定义 EAT-2 控制 NK 细胞激活的分子和细胞机制。我们发现,EAT-2 通过将 SLAM 家族受体与 PLCγ、钙通量和 Erk 激酶偶联,在 NK 细胞中发挥其作用。这些信号由位于 EAT-2 羧基末端尾部的一个或两个酪氨酸触发,但在 SAP 中不存在。与 SAP 不同,EAT-2 不会增强共轭形成。相反,它加速了细胞毒性颗粒向造血靶细胞的极化和胞吐作用。因此,EAT-2 通过不同于 SAP 的分子和细胞机制促进 NK 细胞激活。这些发现解释了这两种衔接蛋白在 NK 细胞激活中的协同和必需功能。