Suppr超能文献

采用经验模态分解方法测量衰老对颈动脉壁振动的影响。

Measuring the effect of aging on vibrations of the carotid artery wall using empirical mode decomposition method.

作者信息

Rizi Fereshteh Yousefi, Setarehdan Seyed Kamaledin, Behnam Hamid

机构信息

School of Electrical and Computer Engineering, Control and Intelligent Processing Center of Excellence, College of Engineering, University of Tehran, Tehran, Iran.

School of Electrical Engineering, Iran University of Science and Technology, Tehran, Iran.

出版信息

J Med Signals Sens. 2014 Jan;4(1):27-34.

Abstract

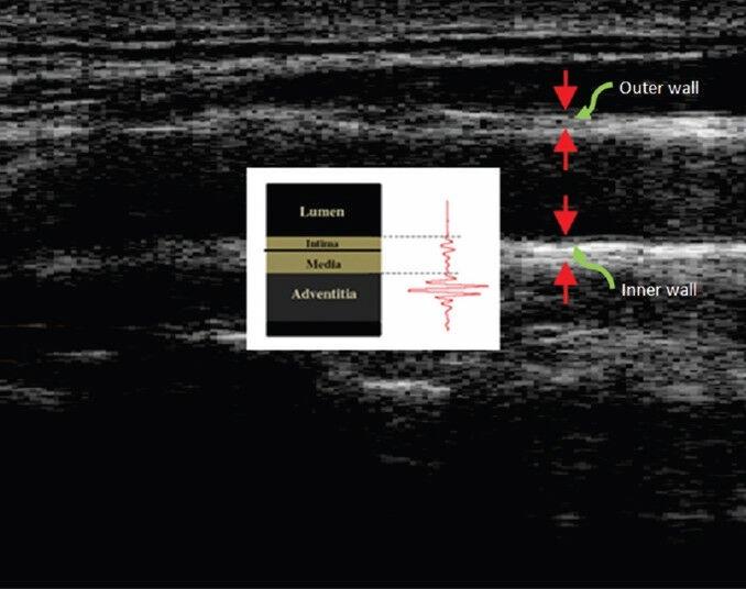
Quantification of arterial elasticity and its dependency to age is considered in this paper. We use radiofrequency (RF) signals from carotid artery ultasonography to evaluate this dependency. Blood pressure, blood flow, and tethering to surrounding tissue are the main causes of the motion of the carotid wall. Tracking carotid artery wall motion from a series of ultrasound B-mode images is challenging due to the presence of noise and variable contrast. Moreover, the process of converting RF signals into the B-mode images causes some information to be lost. Hence, our goal is to extract the carotid wall motions and vibrations from RF signals. After extraction and removing the wall motion by using the phased tracking method combined with continuous wavelet transform, the vibrations of carotid inner wall in different subjects in different ages are compared with each other. Empirical mode decomposition method is used for extracting the first intrinsic mode function for different subjects' vibration and then their zero-crossing rates are compared. The results show the vibrations of the carotid inner wall are clearly decreased by age.

摘要

本文探讨了动脉弹性的量化及其与年龄的关系。我们利用颈动脉超声检查的射频(RF)信号来评估这种关系。血压、血流以及与周围组织的附着是颈动脉壁运动的主要原因。由于存在噪声和对比度变化,从一系列超声B模式图像中跟踪颈动脉壁运动具有挑战性。此外,将RF信号转换为B模式图像的过程会导致一些信息丢失。因此,我们的目标是从RF信号中提取颈动脉壁的运动和振动。在使用相位跟踪方法结合连续小波变换提取并去除壁运动后,比较不同年龄组不同受试者颈动脉内壁的振动。采用经验模态分解方法提取不同受试者振动的第一个固有模态函数,然后比较它们的过零率。结果表明,随着年龄的增长,颈动脉内壁的振动明显减弱。

https://cdn.ncbi.nlm.nih.gov/pmc/blobs/98ce/3967453/28e6729dca88/JMSS-4-27-g001.jpg

文献AI研究员

20分钟写一篇综述,助力文献阅读效率提升50倍。

立即体验

用中文搜PubMed

大模型驱动的PubMed中文搜索引擎

马上搜索

文档翻译

学术文献翻译模型,支持多种主流文档格式。

立即体验