Suppr超能文献

Localized Pemphigus Vegetans without Mucosal Involvement.

作者信息

Jain Vk, Jindal N, Imchen S

机构信息

Department of Skin and VD, PGIMS, Rohtak, India.

出版信息

Indian J Dermatol. 2014 Mar;59(2):210. doi: 10.4103/0019-5154.127712.

Abstract

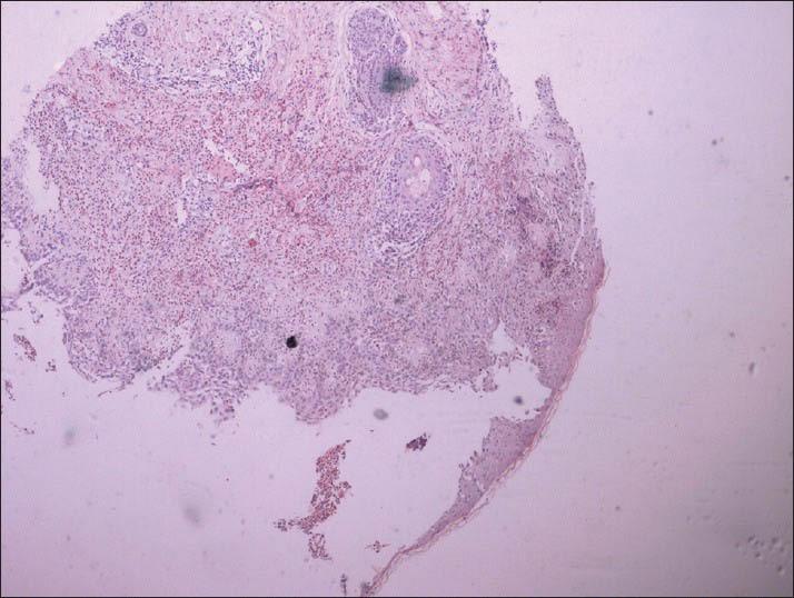
Pemphigus vegetans is a rare variant of pemphigus vulgaris. A 62-year-old woman presented with erythematous moist vegetative plaque on the left breast and left groin. There was no mucosal involvement. Histopathological and direct immunofluorescence findings were suggestive of pemphigus vegetans. She showed excellent response to oral steroids. Literature is scarcely available on the limited involvement with pemphigus vegetans without mucosal involvement.

摘要
https://cdn.ncbi.nlm.nih.gov/pmc/blobs/4f7d/3969700/b12f9e57385b/IJD-59-210a-g001.jpg

文献AI研究员

20分钟写一篇综述,助力文献阅读效率提升50倍。

立即体验

用中文搜PubMed

大模型驱动的PubMed中文搜索引擎

马上搜索

文档翻译

学术文献翻译模型,支持多种主流文档格式。

立即体验