Suppr超能文献

新生儿科氏柠檬酸杆菌脑膜炎:4例报告

Neonatal Citrobacter koseri Meningitis: Report of Four Cases.

作者信息

Rodrigues Joana, Rocha Dalila, Santos Fátima, João Anabela

机构信息

Pediatrics Department, Centro Hospitalar de Vila Nova de Gaia/Espinho, 4400-129 Vila Nova de Gaia, Portugal.

Infancy and Adolescence Neurosciences Unit-Pediatrics Department, Centro Hospitalar de Vila Nova de Gaia/Espinho, 4400-129 Vila Nova de Gaia, Portugal.

出版信息

Case Rep Pediatr. 2014;2014:195204. doi: 10.1155/2014/195204. Epub 2014 Feb 19.

Abstract

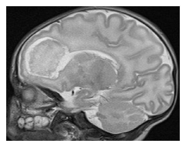
Citrobacter koseri is a rare cause of neonatal meningitis with predisposal for brain abscesses, and therefore responsible for high mortality and serious neurologic sequelae in this age group. We present the evolution and outcome of four cases of C. koseri meningitis. One of them developed brain abscesses and another one died. The cases show the bacteria's propensity for serious brain damage, despite early and adequate treatment, and the high risk of long-term neurologic complications in survivors, which imposes a close follow-up.

摘要

科氏柠檬酸杆菌是新生儿脑膜炎的罕见病因,易引发脑脓肿,因此导致该年龄组的高死亡率和严重神经后遗症。我们报告了4例科氏柠檬酸杆菌脑膜炎的病情发展及转归。其中1例发生了脑脓肿,另1例死亡。这些病例显示,尽管进行了早期且充分的治疗,该细菌仍有导致严重脑损伤的倾向,且幸存者有长期神经并发症的高风险,这就需要密切随访。

https://cdn.ncbi.nlm.nih.gov/pmc/blobs/ae60/3971854/a144ef2cd143/CRIPE2014-195204.001.jpg

文献AI研究员

20分钟写一篇综述,助力文献阅读效率提升50倍。

立即体验

用中文搜PubMed

大模型驱动的PubMed中文搜索引擎

马上搜索

文档翻译

学术文献翻译模型,支持多种主流文档格式。

立即体验