Suppr超能文献

多西他赛化疗对转移性去势抵抗性前列腺癌产生晚期、完全且持久反应:一例病例报告

Metastatic castrate-resistant prostate cancer with a late, complete and durable response to docetaxel chemotherapy: a case report.

作者信息

Daverede Luis, Ralph Christy, Jagdev Satinder P, Trigonis Ioannis, Trainor Sebastian, Harnden Patricia, Weston Michael, Paul Alan, Vasudev Naveen S

机构信息

Department of Medical Oncology, St James's Institute of Oncology, Leeds LS9 7TF, UK.

出版信息

J Med Case Rep. 2014 Apr 9;8:122. doi: 10.1186/1752-1947-8-122.

Abstract

INTRODUCTION

Although treatment options for men with metastatic castrate-resistant prostate cancer have improved in recent years, the outlook for patients remains poor, with overall survival in the region of 2 years. Response rates with chemotherapy are modest and disease progression is usually observed within months of stopping treatment.

CASE PRESENTATION

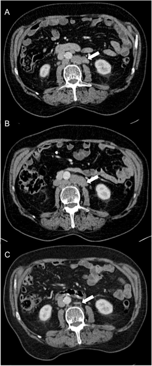
We present a case of a 72-year-old White man of British origin with metastatic castrate-resistant prostate cancer with bulky lymphadenopathy and a serum prostate-specific antigen of 295 μg/L. He received treatment with docetaxel chemotherapy plus prednisolone, but received just 3 cycles before treatment was stopped due to toxicity and lack of response (prostate-specific antigen was 276 μg/L 4 weeks after the last dose and there was a confirmed stable appearance on computed tomography scan). Unexpectedly, at follow-up 4 months later, the patient was clinically better; his prostate-specific antigen had dramatically improved to 4.1 μg/L and a re-staging computed tomography scan revealed complete resolution of his bulky lymphadenopathy. At the time, he was receiving a luteinising hormone-releasing hormone analogue but no other disease-modulating treatment. He remains well and asymptomatic, with his most recent serum prostate-specific antigen measuring 0.14 μg/L, 18 months after last receiving chemotherapy.

CONCLUSION

We report a case of complete and durable regression of metastatic castrate-resistant prostate cancer following palliative chemotherapy which, to the best of our knowledge, has not previously been reported in the literature.

摘要

引言

尽管近年来转移性去势抵抗性前列腺癌男性患者的治疗选择有所改善,但患者的预后仍然很差,总生存期约为2年。化疗的缓解率一般,且通常在停止治疗后的数月内出现疾病进展。

病例报告

我们报告一例72岁、祖籍英国的白人男性,患有转移性去势抵抗性前列腺癌,伴有巨大淋巴结病,血清前列腺特异性抗原为295μg/L。他接受了多西他赛化疗加泼尼松龙治疗,但由于毒性反应和缺乏疗效(最后一剂后4周前列腺特异性抗原为276μg/L,计算机断层扫描显示外观稳定),仅接受了3个周期的治疗就停止了。出乎意料的是,4个月后的随访中,患者临床症状改善;他的前列腺特异性抗原显著改善至4.1μg/L,重新分期的计算机断层扫描显示其巨大淋巴结病完全消退。当时,他正在接受促黄体生成素释放激素类似物治疗,但未接受其他疾病调节治疗。在最后一次接受化疗18个月后,他仍然状况良好且无症状,其最近的血清前列腺特异性抗原测量值为0.14μg/L。

结论

我们报告了一例姑息化疗后转移性去势抵抗性前列腺癌完全且持久缓解的病例,据我们所知,此前文献中尚未有过报道。

https://cdn.ncbi.nlm.nih.gov/pmc/blobs/bc53/4000147/b3362d12a8ab/1752-1947-8-122-1.jpg

文献AI研究员

20分钟写一篇综述,助力文献阅读效率提升50倍。

立即体验

用中文搜PubMed

大模型驱动的PubMed中文搜索引擎

马上搜索

文档翻译

学术文献翻译模型,支持多种主流文档格式。

立即体验